Western Blot - Anti-Cadherin-pan Antibody (A94869)
Western blot analysis of lysates from NIH/3T3 cells using Anti-Cadherin-pan Antibody. The right hand lane represents a negative control, where the antibody is blocked by the immunising peptide.
Immunohistochemical analysis of paraffin-embedded human breast carcinoma tissue using Anti-Cadherin-pan Antibody. The right hand panel represents a negative control, where the antibody was pre-incubated with the immunising peptide.
Immunohistochemical analysis of paraffin-embedded human liver tissue using Anti-Cadherin-pan Antibody at 1:200 (4°C overnight). Negative control was secondary antibody only.
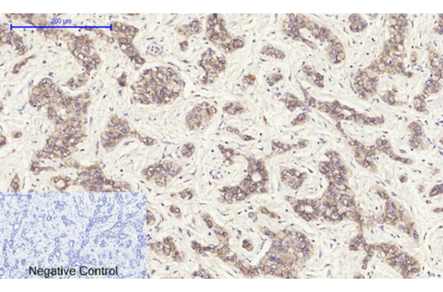
Immunohistochemical analysis of paraffin-embedded human liver cancer tissue using Anti-Cadherin-pan Antibody at 1:200 (4°C overnight). Negative control was secondary antibody only.
Immunofluorescence analysis of mouse kidney tissue using Anti-Cadherin-pan Antibody (red) at 1:200 (4°C overnight). Cy3 labelled secondary antibody was used at 1:300 (RT 50min). Panel A: Target. Panel B: DAPI. Panel C: Merge.
Immunofluorescence analysis of rat lung tissue using Anti-Cadherin-pan Antibody (red) at 1:200 (4°C overnight). Cy3 labelled secondary antibody was used at 1:300 (RT 50min). Panel A: Target. Panel B: DAPI. Panel C: Merge.