ISO 9001:2015 Certified
Live Customer Support
4.5/5 on Trustpilot
100% Quality Guarantee

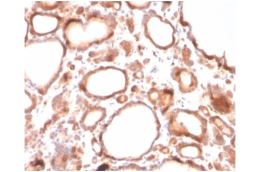
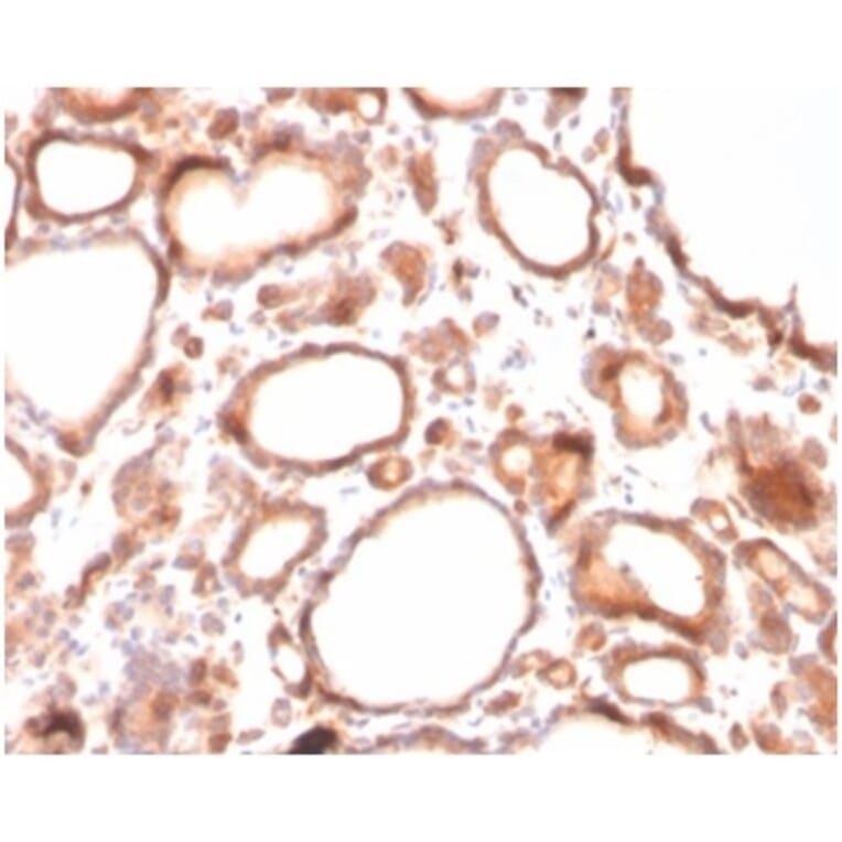
Anti-Calcitonin Antibody [CALCA/3310] - BSA and Azide free (A278417)

Mouse monoclonal [CALCA/3310] antibody to Calcitonin for IHC-P.

Alternative Formats and ConjugatesAlternative Formats

Shipping Information

$40
Dispatched from St. Louis, MO.
Lead Time: 5-8 business days.
Name
Anti-Calcitonin Antibody [CALCA/3310] - BSA and Azide free
Description
Mouse monoclonal [CALCA/3310] antibody to Calcitonin.
Specificity
Calcitonin is a 32 amino acid polypeptide hormone that preserves skeletal integrity and reduces blood calcium levels by decreasing osteoclast activity in bones, calcium and phosphate reabsorption by kidney tubules and calcium absorption by the intestines. The secretion of Calcitonin from the thyroid is regulated in part by estrogen, which increases Calcitonin mRNA levels. The Calcitonin gene, CALCA, undergoes tissue-specific RNA alternative splicing, resulting in the production of different mRNA transcripts. One transcript encodes procalcitonin as well as both calcium-lowering processed active polypeptides, Calcitonin and katacalcin. An alternative transcript of CALCA encodes the precursor for the neuropeptide referred to as Calcitonin generelated peptide 1, also designated CGRP1 or α-CGRP. CGRP is a widely distributed vasodilatory peptide. Calcitonin and katacalcin are produced primarily in the thyroid, while CGRP is produced in neuronal cells. A second CGRP related gene, CALCB, thought to be derived from an gene duplication event, has been identified in mouse, rat and human. Unlike CALCA, CALCB is not subject to alternative splicing and encodes a single transcript designated CGRP2 or β-CGRP. Mature CGRP1 and CGRP2 share significant sequence identity at the protein level differing by only 1-3 amino acid residues, depending on the species.
Applications
IHC-P
Dilutions
IHC-P: 1:10-1:20
Reactivity
Human
Immunogen
Recombinant fragment, around amino acids 3-116, of human Calcitonin protein. The exact sequence is proprietary.
Host
Mouse
Clonality
Monoclonal
Clone ID
CALCA/3310
Isotype
IgG2b
Light Chains
kappa
Conjugate

Unconjugated

Purification
Protein A/G chromatography.
Concentration
1 mg/ml
Molecular Weight
14.5 kDa
Product Form
Liquid
Formulation
Supplied in 10mM Phosphate Buffered Saline; without Sodium Azide and carrier free.
Storage
Shipped at 4°C. Upon delivery aliquot and store at -20°C. Avoid freeze / thaw cycles.
General Notes
This monoclonal antibody is also available in a different formulation with BSA and Sodium Azide - Anti-Calcitonin Antibody [CALCA/3310] (A277829).
Synonyms
CALC1, CALCA
Disclaimer
This product is for research use only. It is not intended for diagnostic or therapeutic use.
Publishing research using Anti-Calcitonin Antibody [CALCA/3310] - BSA and Azide free (A278417)? Please let us know so that we can list the citation on this page.

Most popular Anti-Calcitonin Antibodies

Alternative products to Anti-Calcitonin Antibody [CALCA/3310] - BSA and Azide free (A278417)

Proteins predicted to interact with Calcitonin

Predicted protein interactions based upon String database. Revelancy score correlates with probability of interaction.
99.9% Relevancy Score
99.9% Relevancy Score
99.8% Relevancy Score
99.8% Relevancy Score
98.6% Relevancy Score
98.6% Relevancy Score
98.2% Relevancy Score
96.4% Relevancy Score
96.4% Relevancy Score