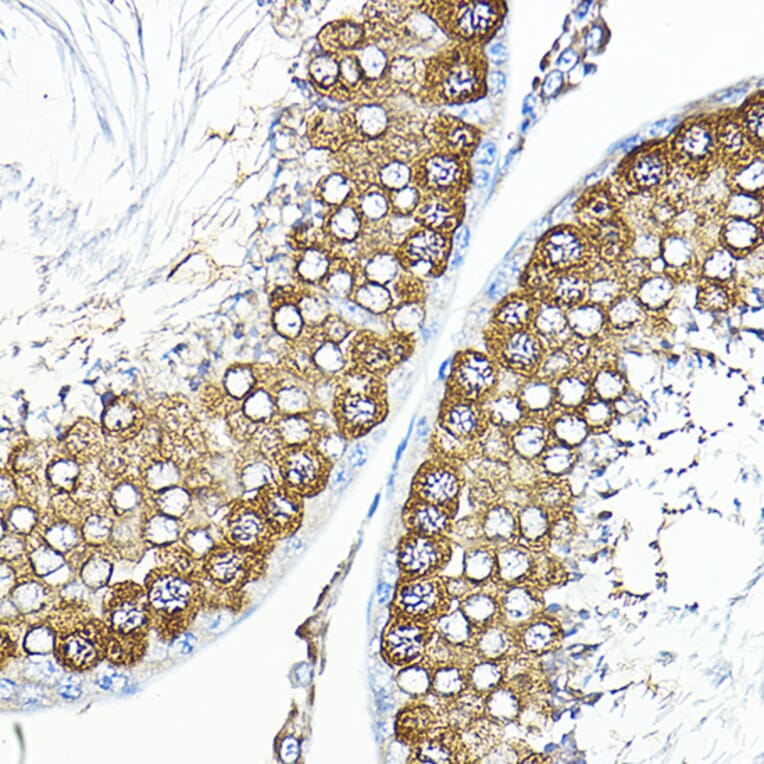
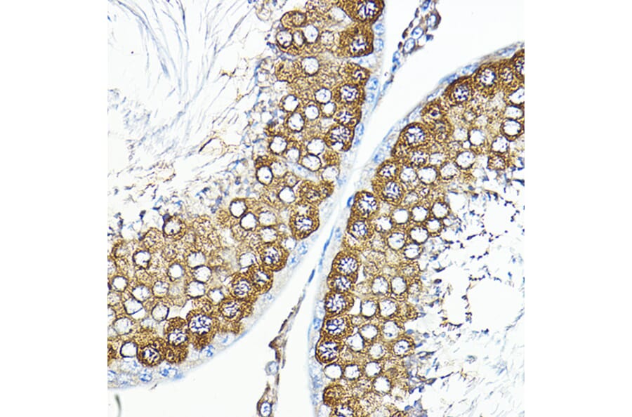
Immunohistochemistry analysis of paraffin-embedded rat testis using Anti-Calmodulin 1 + Calmodulin 2 + Calmodulin 3 Antibody (A91947) at a dilution of 1:100 (40x lens). Perform high pressure antigen retrieval with 10 mM citrate buffer pH 6.0 before commencing with IHC staining protocol.
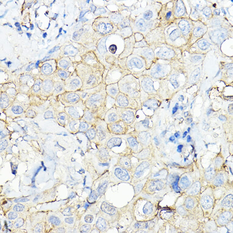
Immunohistochemistry analysis of paraffin-embedded human breast cancer tissue using Anti-Calmodulin 1 + Calmodulin 2 + Calmodulin 3 Antibody (A91947) at a dilution of 1:100 (40x lens). Perform high pressure antigen retrieval with 10 mM citrate buffer pH 6.0 before commencing with IHC staining protocol.
Immunohistochemistry analysis of paraffin-embedded mouse testis using Anti-Calmodulin 1 + Calmodulin 2 + Calmodulin 3 Antibody (A91947) at a dilution of 1:100 (40x lens). Perform high pressure antigen retrieval with 10 mM citrate buffer pH 6.0 before commencing with IHC staining protocol.
Immunofluorescence analysis of C6 cells using Anti-Calmodulin 1 + Calmodulin 2 + Calmodulin 3 Antibody (A91947) at a dilution of 1:100 (40x lens). DAPI was used to stain the cell nuclei (blue).
Immunofluorescence analysis of NIH/3T3 cells using Anti-Calmodulin 1 + Calmodulin 2 + Calmodulin 3 Antibody (A91947) at a dilution of 1:100 (40x lens). DAPI was used to stain the cell nuclei (blue).
Immunofluorescence analysis of U2OS cells using Anti-Calmodulin 1 + Calmodulin 2 + Calmodulin 3 Antibody (A91947) at a dilution of 1:100 (40x lens). DAPI was used to stain the cell nuclei (blue).
Publishing research using Anti-Calmodulin 1 + Calmodulin 2 + Calmodulin 3 Antibody (A91947)? Please let us know so that we can list the citation on this page.