Primary Antibodies
Secondary Antibodies
Proteins & Peptides
ELISA Kits
About Us
Contact Us
Sign In/Register
0
ISO 9001:2015 Certified
Live Customer Support
4.5/5 on Trustpilot
100% Quality Guarantee
Home
Primary Antibodies
Calmodulin Antibodies
Anti-Calmodulin Antibody (A32350)
Anti-Calmodulin Antibody (A32350)
Overview
Specifications
Images
Enlarge Image
Enlarge Image
Enlarge Image
Enlarge Image
Enlarge Image
Enlarge Image
$455
Rabbit monoclonal antibody to Calmodulin for WB, ICC/IF and IHC.
100% Guarantee
Price Match Guarantee
Product Size:
50µl
100µl
Quantity:
1
2
3
4
5
6
7
8
9
10
Add To Cart
Request a Quotation
Custom or Bulk Request
Shipping Information
Freight/Packing Charges:
$40
Dispatched from St. Louis, MO.
Lead Time: 7-10 business days.
Specifications
Name
Anti-Calmodulin Antibody
Description
Rabbit monoclonal antibody to Calmodulin
Specificity
This antibody detects endogenous levels of Calmodulin and does not cross-react with related proteins.
Applications
WB
,
ICC/IF
,
IHC
Reactivity
Human, Mouse, Rat
Immunogen
Recombinant antibody.
Host
Rabbit
Clonality
Monoclonal
Conjugate
Unconjugated
Molecular Weight
~ 17 kDa
Purity
Protein A affinity purified
Product Form
Recombinant Rabbit Monoclonal Antibody. 1*TBS (pH7.4), 1%BSA, 40%Glycerol. Preservative: 0.05% Sodium Azide.
Synonyms
CALM, CALM1, Calmodulin-1, CAM, CAM1
Suitable Secondaries
Goat Anti-Rabbit IgG H&L Antibody (AP) (A294874)
Goat Anti-Rabbit IgG H&L Antibody (Biotin) (A294795)
Goat Anti-Rabbit IgG H&L Antibody (FITC) (A294887)
Goat Anti-Rabbit IgG H&L Antibody (HRP) (A294888)
See all Anti-Rabbit IgG Secondaries →
Disclaimer
This product is for research use only. It is not intended for diagnostic or therapeutic use.
Scientific Validation Data
Validation Data
(6)
Enlarge Image
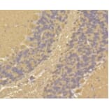
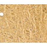
Anti-Calmodulin Antibody (A32350)
For details please refer to datasheet.
Enlarge Image
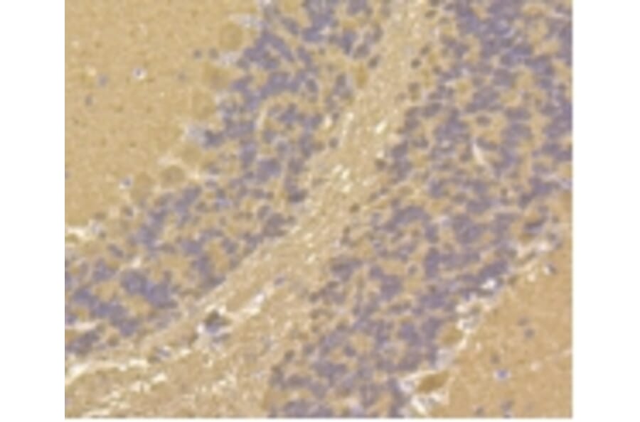
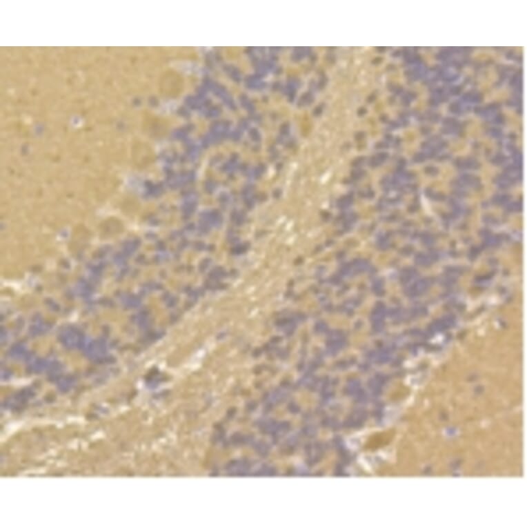
Anti-Calmodulin Antibody (A32350)
For details please refer to datasheet.
Enlarge Image
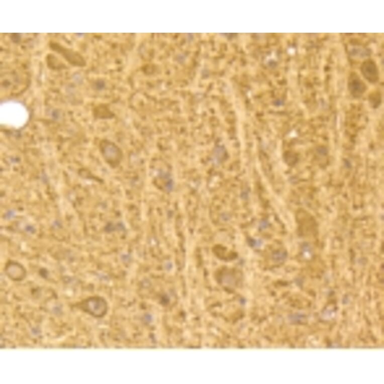
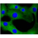
Anti-Calmodulin Antibody (A32350)
For details please refer to datasheet.
Enlarge Image
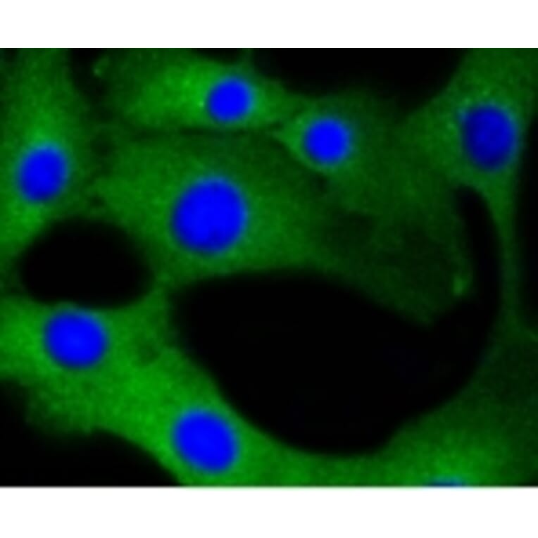
Anti-Calmodulin Antibody (A32350)
For details please refer to datasheet.
Enlarge Image
Anti-Calmodulin Antibody (A32350)
For details please refer to datasheet.
Enlarge Image
Anti-Calmodulin Antibody (A32350)
For details please refer to datasheet.
Show more images
Publishing research using Anti-Calmodulin Antibody (A32350)? Please
let us know
so that we can list the citation on this page.
Alternative products to Anti-Calmodulin Antibody (A32350)
(2)
A34282
Anti-Calmodulin Antibody
Rabbit polyclonal antibody to Calmodulin for WB, IHC, IF and ELISA.
A50079
Anti-Calmodulin (Phospho-Thr80 / Ser82) Antibody
Rabbit polyclonal antibody to Calmodulin (Phospho-Thr80 / Ser82) for WB, IHC, IF and ELISA.
(2)
A26628
Anti-Calmodulin (K75) Antibody
Rabbit polyclonal antibody to Calmodulin (K75) for WB, IHC and IF.
A43287
Anti-CALM1 Antibody
Rabbit polyclonal antibody to CALM1 for WB.
A50665
Anti-Calmodulin (Phospho-Thr79 / Ser81) Antibody
Rabbit polyclonal antibody to Calmodulin (Phospho-Thr79 / Ser81) for WB.
A41009
Anti-Calmodulin Antibody
Rabbit polyclonal antibody to Calmodulin for WB.
A58521
Anti-CALM1 Antibody [PJ4D8AT]
Mouse monoclonal [PJ4D8AT] antibody to CALM1 for ELISA and WB.
(2)
A34282
Anti-Calmodulin Antibody
Rabbit polyclonal antibody to Calmodulin for WB, IHC, IF and ELISA.
A50079
Anti-Calmodulin (Phospho-Thr80 / Ser82) Antibody
Rabbit polyclonal antibody to Calmodulin (Phospho-Thr80 / Ser82) for WB, IHC, IF and ELISA.
(2)
A26628
Anti-Calmodulin (K75) Antibody
Rabbit polyclonal antibody to Calmodulin (K75) for WB, IHC and IF.
A43287
Anti-CALM1 Antibody
Rabbit polyclonal antibody to CALM1 for WB.
A50665
Anti-Calmodulin (Phospho-Thr79 / Ser81) Antibody
Rabbit polyclonal antibody to Calmodulin (Phospho-Thr79 / Ser81) for WB.
A41009
Anti-Calmodulin Antibody
Rabbit polyclonal antibody to Calmodulin for WB.
A58521
Anti-CALM1 Antibody [PJ4D8AT]
Mouse monoclonal [PJ4D8AT] antibody to CALM1 for ELISA and WB.
See all Calmodulin Antibodies
Proteins predicted to interact with Calmodulin
Predicted protein interactions based upon String database. Revelancy score correlates with probability of interaction.
CaMKII beta Antibodies
99.3% Relevancy Score
MYLK Antibodies
99.2% Relevancy Score
ITPKA Antibodies
99.1% Relevancy Score
eNOS Antibodies
99.1% Relevancy Score
CaMKII alpha Antibodies
99.1% Relevancy Score
Calcineurin A Antibodies
98.6% Relevancy Score
Nav1.5 Antibodies
98.6% Relevancy Score
CAMK1 Antibodies
98.2% Relevancy Score
PSD95 Antibodies
98.1% Relevancy Score
Top