ISO 9001:2015 Certified
Live Customer Support
4.5/5 on Trustpilot
100% Quality Guarantee

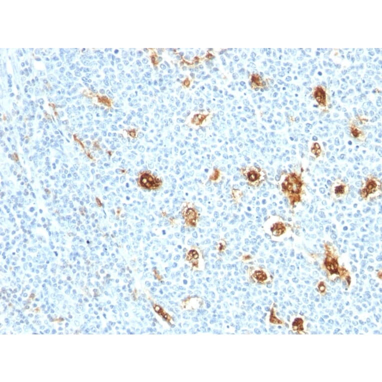
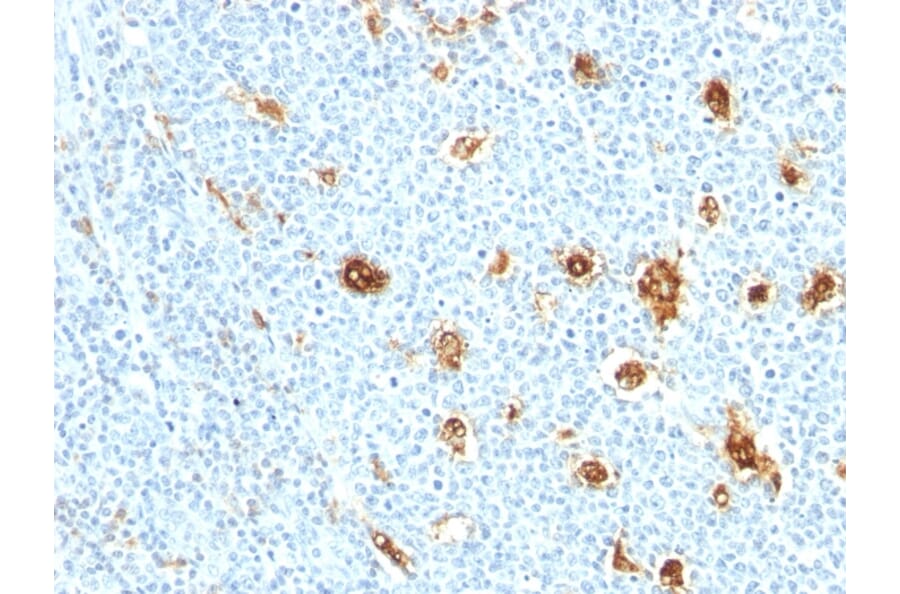
Anti-Calprotectin Antibody [MRP14/840] - BSA and Azide free (A253109)

Mouse monoclonal [MRP14/840] antibody to Calprotectin for Flow Cytometry, IF and IHC.

Alternative Formats and ConjugatesAlternative Formats

Shipping Information

$40
Dispatched from St. Louis, MO.
Lead Time: 5-8 business days.
Name
Anti-Calprotectin Antibody [MRP14/840] - BSA and Azide free
Description
Mouse monoclonal [MRP14/840] antibody to Calprotectin.
Specificity
This antibody recognizes a protein of14kDa, identified as MRP-14 (also known as Calgranulin B or S100AA9). It comprises 60% of the cytoplasmic protein fraction of circulating polymorphonuclear granulocytes and is also found in monocytes, macrophages and ileal tissue eosinophils. Peripheral blood monocytes carry the antigen extra- and intracellularly, neutrophils only intracellularly. It is a potent chemotactic factor for neutrophils. Plasma concentrations are elevated in diseases associated with increased neutrophil activity, like inflammatory bowel disease. Granulocytes terminate their existence after transmigration through the intestinal wall. Therefore, it is also detectable in feces. Elevated levels have been observed in body fluids such as plasma, saliva, gingival crevicular fluid, stools, and synovial fluid during infection and inflammatory conditions. This MAb reacts with neutrophils, monocytes, and macrophages, and has been shown as an important marker for identifying macrophages in tissue sections.
Applications
Flow Cytometry, IF, IHC
Dilutions
Flow Cytometry: 1-2 µg/million cells, IF: 1-2 µg/ml, IHC: 1-2 µg/ml
Reactivity
Human
Immunogen
Recombinant human MRP14 protein.
Host
Mouse
Clonality
Monoclonal
Clone ID
MRP14/840
Isotype
IgM
Light Chains
kappa
Conjugate

Unconjugated

Concentration
1 mg/ml
Molecular Weight
14 kDa
Product Form
Liquid
Formulation
Supplied in 10mM Phosphate Buffered Saline; without Sodium Azide and carrier free.
Storage
Shipped at 4°C. Upon delivery aliquot and store at -20°C. Avoid freeze / thaw cycles.
General Notes
This monoclonal antibody is also available in a different formulation with BSA and Sodium Azide - Anti-Calprotectin Antibody [MRP14/840] (A249929).
Isotype Controls
Disclaimer
This product is for research use only. It is not intended for diagnostic or therapeutic use.
Publishing research using Anti-Calprotectin Antibody [MRP14/840] - BSA and Azide free (A253109)? Please let us know so that we can list the citation on this page.