ISO 9001:2015 Certified
Live Customer Support
4.5/5 on Trustpilot
100% Quality Guarantee

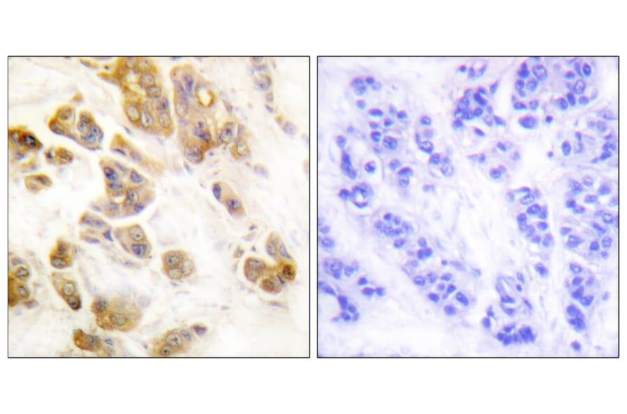
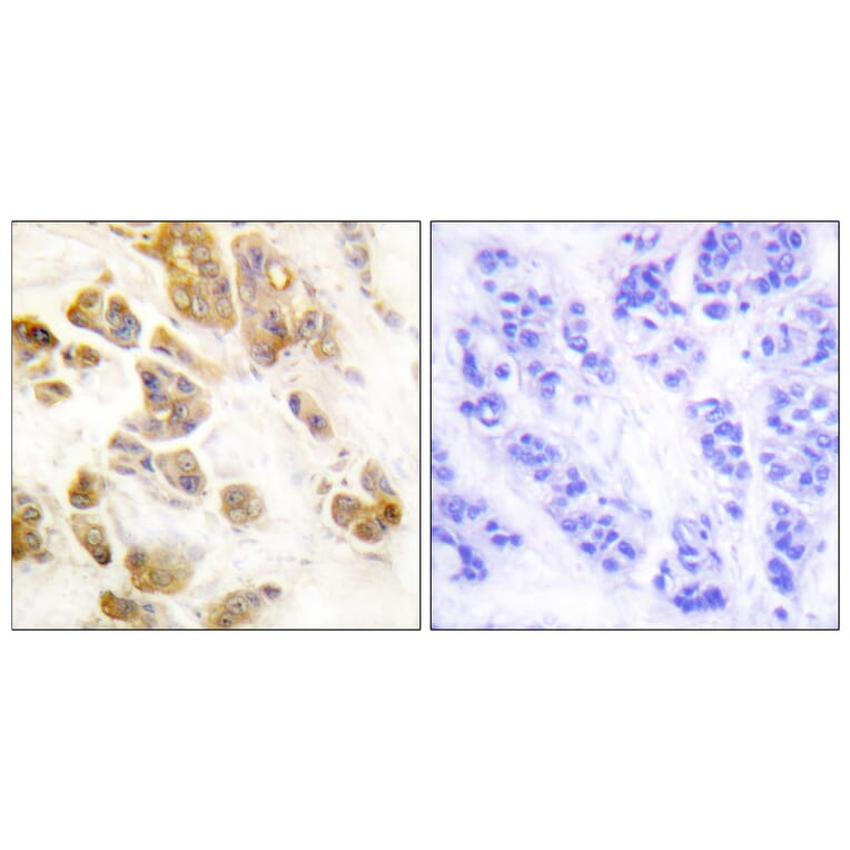
Anti-CaMK1-alpha (phospho Thr177) Antibody (A94128)

Rabbit polyclonal antibody to CaMK1-alpha (phospho Thr177) for WB, IHC, IF and ELISA.

Shipping Information

$40
Dispatched from St. Louis, MO.
Lead Time: 6-8 business days.
Name
Anti-CaMK1-alpha (phospho Thr177) Antibody
Description
Rabbit polyclonal antibody to CaMK1-alpha (phospho Thr177).
Specificity
This antibody detects endogenous levels of CaMK1-alpha only when phosphorylated at Thr177.
Applications
WB, IHC, IF, ELISA
Dilutions
WB: 1:500-1:1000, IHC: 1:50-1:100, ELISA: 1:20000
Reactivity
Human, Mouse, Rat
Immunogen
Synthetic peptide derived from human CaMK1-alpha around the phosphorylation site of Thr177 (amino acids 143-192).
Host
Rabbit
Clonality
Polyclonal
Isotype
IgG
Conjugate

Unconjugated

Purification
Purified from rabbit serum by antigen affinity chromatography using the immunizing phospho peptide.
Molecular Weight
41kDa
Product Form
Liquid
Formulation
Supplied in Phosphate Buffered Saline (without Mg2+ and Ca2+), pH 7.4, with 150mM NaCl, 0.02% Sodium Azide, and 50% Glycerol.
Storage
Shipped at 4°C. Upon delivery aliquot and store at -20°C. Avoid freeze / thaw cycles.
Synonyms
Calcium / calmodulin dependent protein kinase 1, Calcium / calmodulin dependent protein kinase I, Calcium / calmodulin dependent protein kinase type 1, Calcium/calmodulin dependent protein kinase 1, Calcium/calmodulin dependent protein kinase I, Calcium/calmodulin dependent protein kinase type 1, Calcium/calmodulin-dependent protein kinase type 1, CaM K1, CaM KI, CAM kinase 1, CaM kinase 1 alpha, CaM kinase I, CaM kinase I alpha, CaM-KI, CaMK 1, CAMK I, CAMK1, CaMK1 alpha, CAMK1 PEN, CaMKI alpha, CaMKI-alpha, KCC1A_HUMAN, MGC120317, MGC120318
Disclaimer
This product is for research use only. It is not intended for diagnostic or therapeutic use.
Publishing research using Anti-CaMK1-alpha (phospho Thr177) Antibody (A94128)? Please let us know so that we can list the citation on this page.

Alternative products to Anti-CaMK1-alpha (phospho Thr177) Antibody (A94128)