ISO 9001:2015 Certified
Live Customer Support
4.5/5 on Trustpilot
100% Quality Guarantee

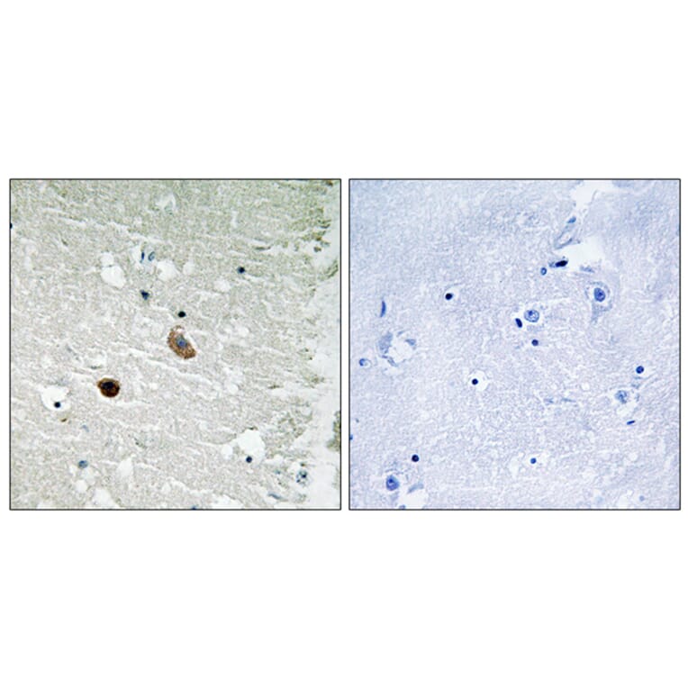
Anti-CaMK2 beta + gamma + delta Antibody (A93453)

Rabbit polyclonal antibody to CaMK2 beta + gamma + delta for WB, IHC and ELISA.

Shipping Information

$40
Dispatched from St. Louis, MO.
Lead Time: 6-8 business days.
Name
Anti-CaMK2 beta + gamma + delta Antibody
Description
Rabbit polyclonal antibody to CaMK2 beta + gamma + delta.
Applications
WB, IHC, ELISA
Reactivity
Human, Mouse, Rat
Immunogen
Synthetic peptide derived from human CaMK2-beta/gamma/delta (amino acids 253-302).
Host
Rabbit
Clonality
Polyclonal
Isotype
IgG
Conjugate

Unconjugated

Purification
Immunogen affinity purified.
Molecular Weight
72kDa
Product Form
Liquid
Formulation
Supplied in Phosphate Buffered Saline (without Mg2+ and Ca2+), pH 7.4, with 150mM NaCl, 0.02% Sodium Azide, and 50% Glycerol.
Disclaimer
This product is for research use only. It is not intended for diagnostic or therapeutic use.
Publishing research using Anti-CaMK2 beta + gamma + delta Antibody (A93453)? Please let us know so that we can list the citation on this page.