Primary Antibodies
Secondary Antibodies
Proteins & Peptides
ELISA Kits
About Us
Contact Us
Sign In/Register
0
ISO 9001:2015 Certified
Live Customer Support
4.5/5 on Trustpilot
100% Quality Guarantee
Home
Primary Antibodies
Calpain 6 Antibodies
Anti-CAPN6 Antibody (A45879)
Anti-CAPN6 Antibody (A45879)
Overview
Specifications
Images
Enlarge Image
$430
Product Datasheet
Rabbit polyclonal antibody to CAPN6 for IHC.
100% Guarantee
Price Match Guarantee
Product Size:
100µl
Quantity:
1
2
3
4
5
6
7
8
9
10
Add To Cart
Request a Quotation
Custom or Bulk Request
Shipping Information
Freight/Packing Charges:
$40
Dispatched from St. Louis, MO.
Lead Time: 6-9 business days.
Specifications
Name
Anti-CAPN6 Antibody
Description
Rabbit polyclonal antibody to CAPN6
Specificity
The antibody detects endogenous levels of total CAPN6 protein.
Applications
IHC
Reactivity
Human
Immunogen
Fusion protein corresponding to a region derived from internal residues of human calpain 6
Host
Rabbit
Clonality
Polyclonal
Conjugate
Unconjugated
Purification
Antigen affinity purification.
Concentration
0.5 mg/mL
Formulation
Supplied in PBS, pH 7.3, containing 0.05% sodium azide and 50% glycerol.
Storage
Shipped at 4°C. Upon delivery aliquot and store at -20°C. Avoid freeze/thaw cycles.
Synonyms
Calpain-6, Calpain-like protease X-linked, Calpamodulin, CalpM, CANPX
Suitable Secondaries
Goat Anti-Rabbit IgG H&L Antibody (AP) (A294874)
Goat Anti-Rabbit IgG H&L Antibody (Biotin) (A294795)
Goat Anti-Rabbit IgG H&L Antibody (FITC) (A294887)
Goat Anti-Rabbit IgG H&L Antibody (HRP) (A294888)
See all Anti-Rabbit IgG Secondaries →
Disclaimer
This product is for research use only. It is not intended for diagnostic or therapeutic use.
Scientific Validation Data
Validation Data
(1)
Enlarge Image
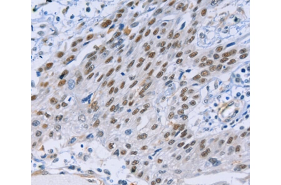
Immunohistochemistry - Anti-CAPN6 Antibody (A45879)
Immunohistochemical analysis of paraffin-embedded Human oesophagus cancer tissue using #35657 at dilution 1/15.
Publishing research using Anti-CAPN6 Antibody (A45879)? Please
let us know
so that we can list the citation on this page.
Alternative products to Anti-CAPN6 Antibody (A45879)
(2)
A47955
Anti-CAPN6 Antibody
Rabbit polyclonal antibody to CAPN6 for ELISA, WB and IHC.
A49041
Anti-Calpain 6 Antibody
Rabbit polyclonal antibody to Calpain 6 for ELISA and WB.
(2)
A47955
Anti-CAPN6 Antibody
Rabbit polyclonal antibody to CAPN6 for ELISA, WB and IHC.
A49041
Anti-Calpain 6 Antibody
Rabbit polyclonal antibody to Calpain 6 for ELISA and WB.
Proteins predicted to interact with Calpain 6
Predicted protein interactions based upon String database. Revelancy score correlates with probability of interaction.
CAPNS1 Antibodies
96.6% Relevancy Score
Calpain S2 Antibodies
83.6% Relevancy Score
GEF-H1 Antibodies
80.5% Relevancy Score
Calpastatin Antibodies
70.9% Relevancy Score
CALML5 Antibodies
60.1% Relevancy Score
CALML6 Antibodies
60% Relevancy Score
Doublecortin Antibodies
56% Relevancy Score
NAV2 Antibodies
53.5% Relevancy Score
XKR4 Antibodies
44.5% Relevancy Score
Top