Primary Antibodies
Secondary Antibodies
Proteins & Peptides
ELISA Kits
About Us
Contact Us
Sign In/Register
0
ISO 9001:2015 Certified
Live Customer Support
4.5/5 on Trustpilot
100% Quality Guarantee
Home
Primary Antibodies
Calpain 7 Antibodies
Anti-CAPN7 Antibody (A45880)
Anti-CAPN7 Antibody (A45880)
Overview
Specifications
Images
Enlarge Image
Enlarge Image
$430
Product Datasheet
Rabbit polyclonal antibody to CAPN7 for IHC.
100% Guarantee
Price Match Guarantee
Product Size:
100µl
Quantity:
1
2
3
4
5
6
7
8
9
10
Add To Cart
Request a Quotation
Custom or Bulk Request
Shipping Information
Freight/Packing Charges:
$40
Dispatched from St. Louis, MO.
Lead Time: 6-9 business days.
Specifications
Name
Anti-CAPN7 Antibody
Description
Rabbit polyclonal antibody to CAPN7
Specificity
The antibody detects endogenous levels of total CAPN7 protein.
Applications
IHC
Reactivity
Human, Mouse
Immunogen
Fusion protein corresponding to residues near the C terminal of human calpain 7
Host
Rabbit
Clonality
Polyclonal
Conjugate
Unconjugated
Purification
Antigen affinity purification.
Concentration
1.7 mg/mL
Formulation
Supplied in PBS, pH 7.3, containing 0.05% sodium azide and 50% glycerol.
Storage
Shipped at 4°C. Upon delivery aliquot and store at -20°C. Avoid freeze/thaw cycles.
Synonyms
Calpain-7, PalB homolog, PalBH
Suitable Secondaries
Goat Anti-Rabbit IgG H&L Antibody (AP) (A294874)
Goat Anti-Rabbit IgG H&L Antibody (Biotin) (A294795)
Goat Anti-Rabbit IgG H&L Antibody (FITC) (A294887)
Goat Anti-Rabbit IgG H&L Antibody (HRP) (A294888)
See all Anti-Rabbit IgG Secondaries →
Disclaimer
This product is for research use only. It is not intended for diagnostic or therapeutic use.
Scientific Validation Data
Validation Data
(2)
Enlarge Image
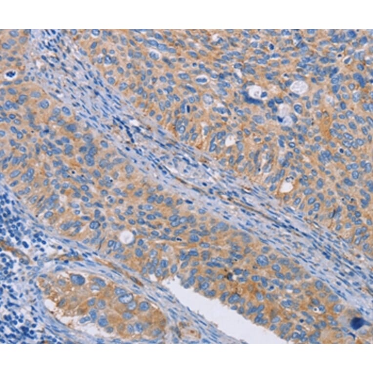
Immunohistochemistry - Anti-CAPN7 Antibody (A45880)
Immunohistochemical analysis of paraffin-embedded Human cervical cancer tissue using #35658 at dilution 1/40.
Enlarge Image
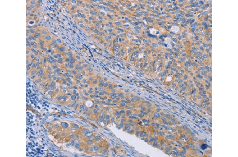
Immunohistochemistry - Anti-CAPN7 Antibody (A45880)
Immunohistochemical analysis of paraffin-embedded Human brain tissue using #35658 at dilution 1/40.
Publishing research using Anti-CAPN7 Antibody (A45880)? Please
let us know
so that we can list the citation on this page.
Alternative products to Anti-CAPN7 Antibody (A45880)
(3)
A308419
Anti-CAPN7 Antibody
Rabbit polyclonal antibody to CAPN7 for WB and ICC/IF.
(3)
A308419
Anti-CAPN7 Antibody
Rabbit polyclonal antibody to CAPN7 for WB and ICC/IF.
Proteins predicted to interact with Calpain 7
Predicted protein interactions based upon String database. Revelancy score correlates with probability of interaction.
OXNAD1 Antibodies
89.6% Relevancy Score
XIRP1 Antibodies
84.1% Relevancy Score
CAPNS1 Antibodies
83% Relevancy Score
Calpain S2 Antibodies
82% Relevancy Score
IST1 Antibodies
76.2% Relevancy Score
Calpastatin Antibodies
75.6% Relevancy Score
Prealbumin Antibodies
63.7% Relevancy Score
Caveolin-3 Antibodies
56.2% Relevancy Score
TFAP2A Antibodies
51.3% Relevancy Score
Top