Primary Antibodies
Secondary Antibodies
Proteins & Peptides
ELISA Kits
About Us
Contact Us
Sign In/Register
0
ISO 9001:2015 Certified
Live Customer Support
4.5/5 on Trustpilot
100% Quality Guarantee
Home
Primary Antibodies
Anti-CapZ-beta Antibody (A36605)
Anti-CapZ-beta Antibody (A36605)
Overview
Specifications
Images
Enlarge Image
Enlarge Image
$645
Product Datasheet
Rabbit polyclonal antibody to CapZ-beta for WB and IHC.
100% Guarantee
Price Match Guarantee
Product Size:
100µl
Quantity:
1
2
3
4
5
6
7
8
9
10
Add To Cart
Request a Quotation
Custom or Bulk Request
Shipping Information
Freight/Packing Charges:
$40
Dispatched from St. Louis, MO.
Lead Time: 6-9 business days.
Specifications
Name
Anti-CapZ-beta Antibody
Description
Rabbit polyclonal antibody to CapZ-beta
Applications
WB
,
IHC
Reactivity
Human
Immunogen
Recombinant protein fragment contain a sequence corresponding to a region within amino acids 1 and 266 of CapZ-beta
Host
Rabbit
Clonality
Polyclonal
Conjugate
Unconjugated
Purification
Affinity purified by Protein A.
Formulation
Supplied in 1XPBS, 40% Glycerol (pH7.0). 0.01% Thimerosal was added as a preservative.
Storage
Shipped at 4°C. Upon delivery aliquot and store at -20°C. Avoid freeze/thaw cycles.
Suitable Secondaries
Goat Anti-Rabbit IgG H&L Antibody (AP) (A294874)
Goat Anti-Rabbit IgG H&L Antibody (Biotin) (A294795)
Goat Anti-Rabbit IgG H&L Antibody (FITC) (A294887)
Goat Anti-Rabbit IgG H&L Antibody (HRP) (A294888)
See all Anti-Rabbit IgG Secondaries →
Disclaimer
This product is for research use only. It is not intended for diagnostic or therapeutic use.
Scientific Validation Data
Validation Data
(2)
Enlarge Image
Anti-CapZ-beta Antibody (A36605)
Sample (30 µg of whole cell lysate) H1299 12% SDS PAGE Primary antibody diluted at 1: 1000
Enlarge Image
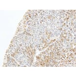
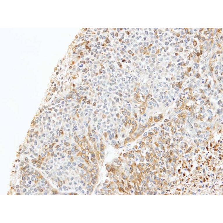
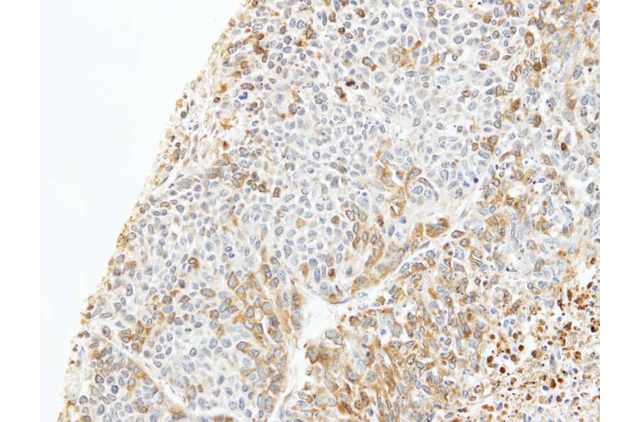
Immunohistochemistry - Anti-CapZ-beta Antibody (A36605)
Immunohistochemical analysis of paraffin-embedded 59T xenograft, using CapZ beta antibody at 1: 100 dilution.
Publishing research using Anti-CapZ-beta Antibody (A36605)? Please
let us know
so that we can list the citation on this page.
Top