Western Blot - Anti-Carbonic anhydrase 2/CA2 Antibody [ARC1451] (A305662)
Western blot analysis of extracts of various cell lines, using Anti-Carbonic anhydrase 2/CA2 Antibody [ARC1451] (A305662) at 1:1,000 dilution. The secondary antibody was Goat Anti-Rabbit IgG H&L Antibody (HRP) at 1:10,000 dilution. Lysates/proteins were present at 25µg per lane. The blocking buffer used was 3% non-fat dry milk in TBST. Detection was with a ECL Basic Kit. Exposure time: 3s.
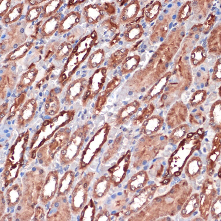
Immunohistochemistry analysis of paraffin-embedded rat kidney using Anti-Carbonic anhydrase 2/CA2 Antibody [ARC1451] (A305662) at a dilution of 1:100 (40x lens). Perform microwave antigen retrieval with 10 mM Tris/EDTA buffer pH 9.0 before commencing with IHC staining protocol.
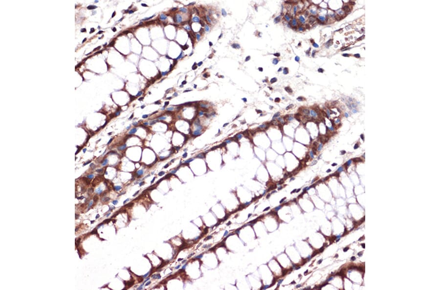
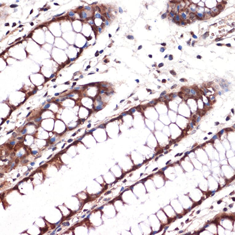
Immunohistochemistry analysis of paraffin-embedded human colon tissue using Anti-Carbonic anhydrase 2/CA2 Antibody [ARC1451] (A305662) at a dilution of 1:100 (40x lens). Perform microwave antigen retrieval with 10 mM Tris/EDTA buffer pH 9.0 before commencing with IHC staining protocol.
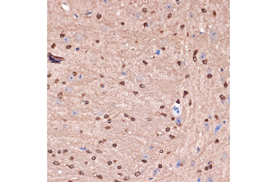
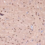
Immunohistochemistry analysis of paraffin-embedded mouse brain using Anti-Carbonic anhydrase 2/CA2 Antibody [ARC1451] (A305662) at a dilution of 1:100 (40x lens). Perform microwave antigen retrieval with 10 mM Tris/EDTA buffer pH 9.0 before commencing with IHC staining protocol.
Publishing research using Anti-Carbonic anhydrase 2/CA2 Antibody [ARC1451] (A305662)? Please let us know so that we can list the citation on this page.