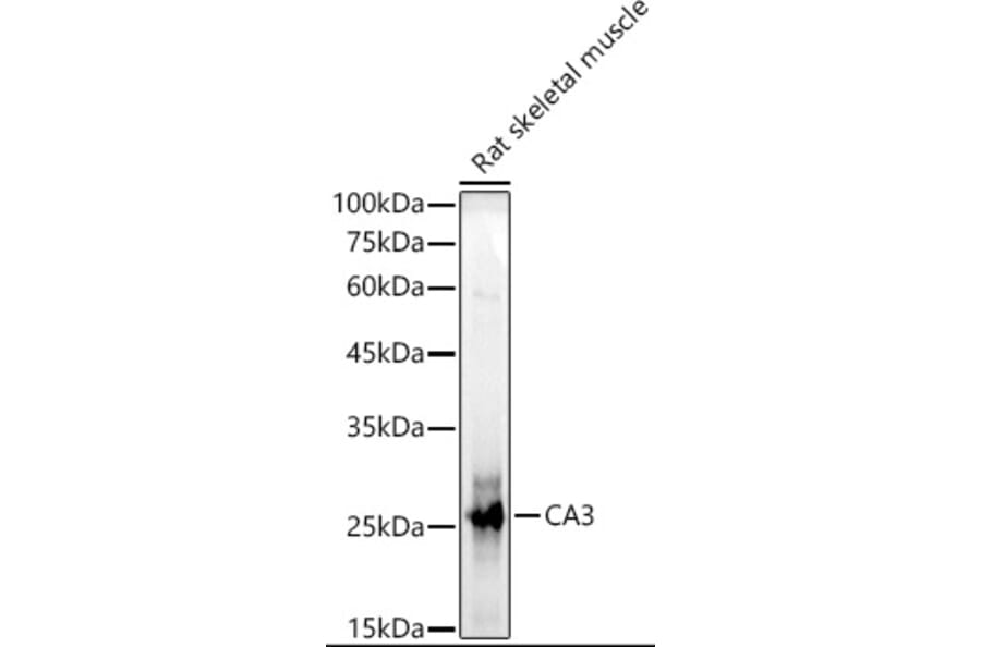
Western Blot - Anti-Carbonic Anhydrase 3/CA3 Antibody (A13380)
Western blot analysis of extracts of Rat skeletal muscle, using Anti-Carbonic Anhydrase 3/CA3 Antibody (A13380) at 1:1,000 dilution. The secondary antibody was Goat Anti-Rabbit IgG H&L Antibody (HRP) at 1:10,000 dilution. Lysates/proteins were present at 25µg per lane. The blocking buffer used was 3% non-fat dry milk in TBST. Detection was with a ECL Basic Kit. Exposure time: 1s.
Western Blot - Anti-Carbonic Anhydrase 3/CA3 Antibody (A13380)
Western blot analysis of extracts of various cell lines, using Anti-Carbonic Anhydrase 3/CA3 Antibody (A13380) at 1:1,000 dilution. The secondary antibody was Goat Anti-Rabbit IgG H&L Antibody (HRP) at 1:10,000 dilution. Lysates/proteins were present at 25µg per lane. The blocking buffer used was 3% non-fat dry milk in TBST. Detection was with a ECL Basic Kit. Exposure time: 10s.
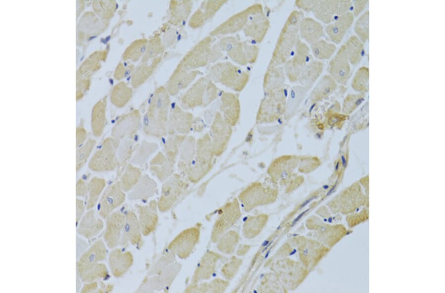
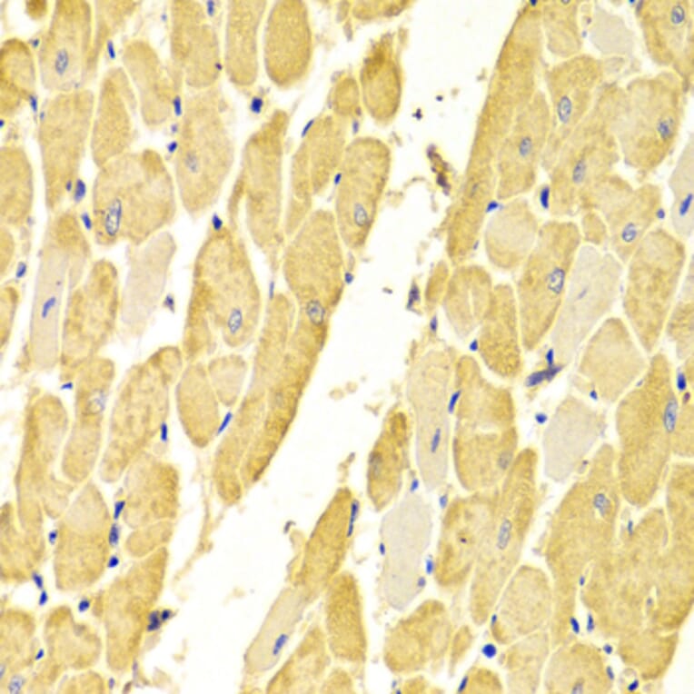
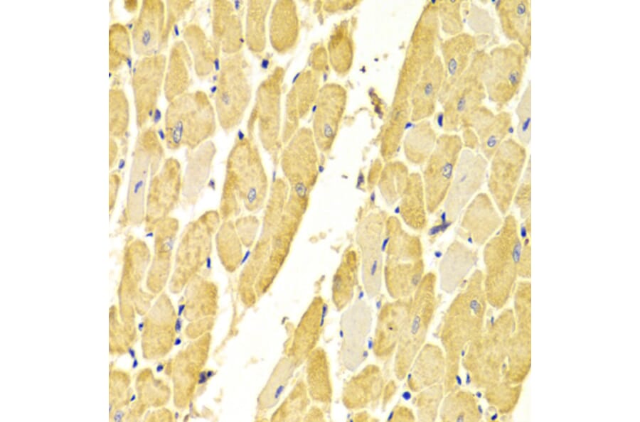
Immunohistochemistry analysis of paraffin-embedded rat heart using Anti-Carbonic Anhydrase 3/CA3 Antibody (A13380) at a dilution of 1:100 (40x lens). Perform microwave antigen retrieval with 10 mM PBS buffer pH 7.2 before commencing with IHC staining protocol.
Immunohistochemistry analysis of paraffin-embedded rat heart using Anti-Carbonic Anhydrase 3/CA3 Antibody (A13380) at a dilution of 1:200 (40x lens). Perform microwave antigen retrieval with 10 mM PBS buffer pH 7.2 before commencing with IHC staining protocol.
Publishing research using Anti-Carbonic Anhydrase 3/CA3 Antibody (A13380)? Please let us know so that we can list the citation on this page.