Mouse monoclonal [CA9/3407] antibody to Carbonic Anhydrase IX.
Specificity
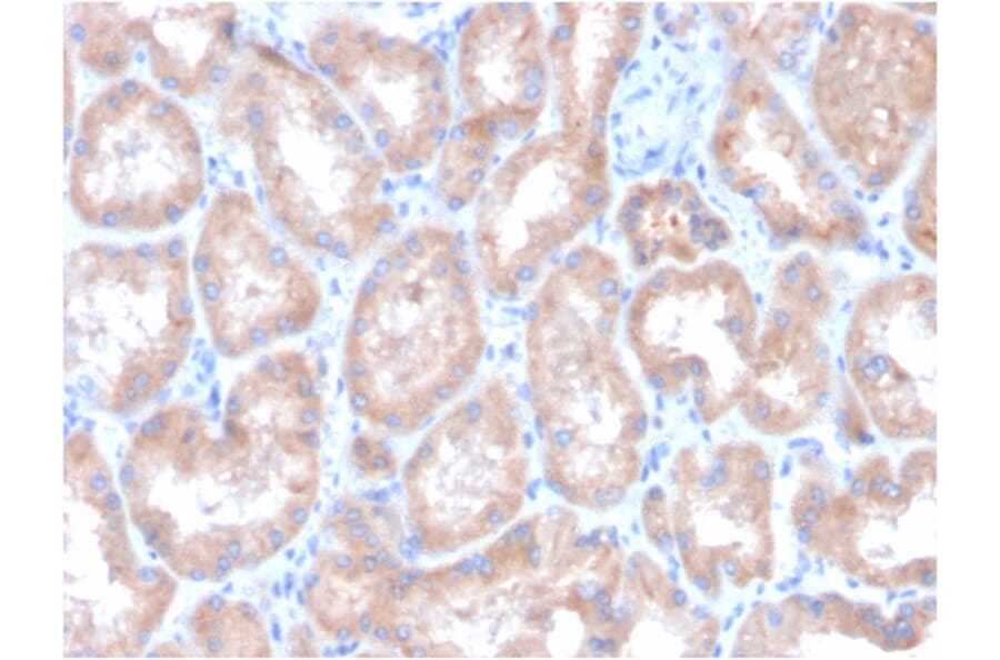
This antibody recognizes a glycoprotein of ~200kDa, identified as carbonic anhydrase IX (CAIX/gp200). In normal kidney, gp200 is localized along the brush border of the pars convoluta and pars recta segments of the proximal tubule, as well as focally along the luminal surface of Bowmans capsule adjoining the outgoing proximal tubule. Reportedly, gp200 is expressed by 93% of primary and 84% of metastatic renal cell carcinomas. This MAb may be useful in the investigations of carcinomas of proximal nephrogenic differentiation especially those showing tubular differentiation.
Applications
IHC-P
Dilutions
IHC-P: 1-2 µg/ml
Reactivity
Human
Immunogen
Recombinant fragment, around amino acids 314-410, of human CA9 protein. The exact sequence is proprietary.
Host
Mouse
Clonality
Monoclonal
Clone ID
CA9/3407
Isotype
IgG2b
Light Chains
kappa
Conjugate
Unconjugated
Purification
Protein A/G chromatography.
Concentration
200 µg/ml
Molecular Weight
55 kDa
Product Form
Liquid
Formulation
Supplied in 10mM Phosphate Buffered Saline with 0.05% BSA and 0.05% Sodium Azide.
Storage
Shipped at 4°C. Upon delivery aliquot and store at -20°C. Avoid freeze / thaw cycles.
Anti-Carbonic Anhydrase IX Antibody [CA9/3407] (A250358)
Analysis of protein array containing more than 19,000 full-length human proteins using Anti-Carbonic Anhydrase IX Antibody [CA9/3407]. Z-Score and S- Score: The Z-score represents the strength of a signal that a monoclonal antibody (MAb) (in combination with a fluorescently-tagged anti-IgG secondary antibody) produces when binding to a particular protein on the HuProtTM array. Z-scores are described in units of standard deviations (SD's) above the mean value of all signals generated on that array. If targets on HuProtTM are arranged in descending order of the Z-score, the S-score is the difference (also in units of SD's) between the Z-score. S-score therefore represents the relative target specificity of a MAb to its intended target; a MAb is considered to be specific to its intended target, if the MAb has an S-score of at least 2.5. For example, if a MAb binds to protein X with a Z-score of 43 and to protein Y with a Z-score of 14, then the S-score for the binding of that MAb to protein X is equal to 29.
SDS-PAGE - Anti-Carbonic Anhydrase IX Antibody [CA9/3407] (A250358)
SDS-PAGE analysis of Anti-Carbonic Anhydrase IX Antibody [CA9/3407] under non-reduced and reduced conditions; showing intact IgG and intact heavy and light chains, respectively. SDS-PAGE analysis confirms the integrity and purity of the antibody.
Publishing research using Anti-Carbonic Anhydrase IX Antibody [CA9/3407] (A250358)? Please let us know so that we can list the citation on this page.
Alternative products to Anti-Carbonic Anhydrase IX Antibody [CA9/3407] (A250358)
Recombinant chimeric monoclonal antibody to CA9 for use as a research grade Girentuximab biosimilar for ELISA, Flow Cytometry, Functional Studies and in vivo Research.
Recombinant chimeric monoclonal antibody to CA9 for use as a research grade Girentuximab biosimilar for ELISA, Flow Cytometry, Functional Studies and in vivo Research.