ISO 9001:2015 Certified
Live Customer Support
4.5/5 on Trustpilot
100% Quality Guarantee

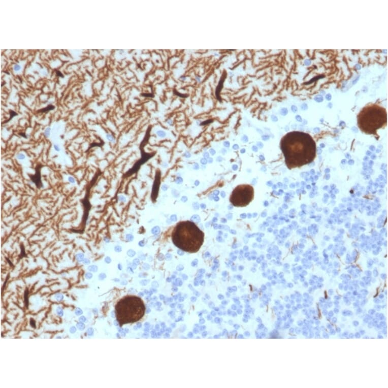
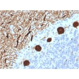
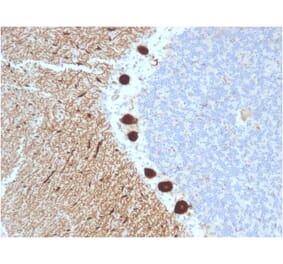
Anti-Carbonic Anhydrase VIII Antibody [CPTC-CA8-2] - BSA and Azide free (A253530)

Mouse monoclonal [CPTC-CA8-2] antibody to Carbonic Anhydrase VIII for WB and IHC-P.

Alternative Formats and ConjugatesAlternative Formats

Shipping Information

$40
Dispatched from St. Louis, MO.
Lead Time: 5-8 business days.
Name
Anti-Carbonic Anhydrase VIII Antibody [CPTC-CA8-2] - BSA and Azide free
Description
Mouse monoclonal [CPTC-CA8-2] antibody to Carbonic Anhydrase VIII.
Specificity
The protein encoded by this gene was initially named CA-related protein because of sequence similarity to other known carbonic anhydrase genes. However, the gene product lacks carbonic anhydrase activity (i.e., the reversible hydration of carbon dioxide). The gene product continues to carry a carbonic anhydrase designation based on clear sequence identity to other members of the carbonic anhydrase gene family. The absence of CA8 gene transcription in the cerebellum of the lurcher mutant in mice with a neurologic defect suggests an important role for this acatalytic form. Mutations in CA8 gene causes neuropathology, such as ataxia, mild mental retardation and the predisposition to quadrupedal gait. It is also associated with the development of colorectal and lung cancers. Additionally, it is upregulated in various cancers.
Applications
WB, IHC-P
Dilutions
WB: 1-2 µg/ml, IHC-P: 1-2 µg/ml
Reactivity
Human
Immunogen
Recombinant full-length human CA8 protein.
Host
Mouse
Clonality
Monoclonal
Clone ID
CPTC-CA8-2
Isotype
IgG2a
Light Chains
kappa
Conjugate

Unconjugated

Purification
Protein A/G chromatography.
Concentration
1 mg/ml
Molecular Weight
32.97 kDa
Product Form
Liquid
Formulation
Supplied in 10mM Phosphate Buffered Saline; without Sodium Azide and carrier free.
Storage
Shipped at 4°C. Upon delivery aliquot and store at -20°C. Avoid freeze / thaw cycles.
General Notes
This monoclonal antibody is also available in a different formulation with BSA and Sodium Azide - Anti-Carbonic Anhydrase VIII Antibody [CPTC-CA8-2] (A250350).
Synonyms
CA-VIII, CALS, Carbonic anhydrase-related protein, CARP
Disclaimer
This product is for research use only. It is not intended for diagnostic or therapeutic use.
Publishing research using Anti-Carbonic Anhydrase VIII Antibody [CPTC-CA8-2] - BSA and Azide free (A253530)? Please let us know so that we can list the citation on this page.

Alternative products to Anti-Carbonic Anhydrase VIII Antibody [CPTC-CA8-2] - BSA and Azide free (A253530)

Proteins predicted to interact with CA8

Predicted protein interactions based upon String database. Revelancy score correlates with probability of interaction.
94.6% Relevancy Score
87.6% Relevancy Score
86.5% Relevancy Score
73.2% Relevancy Score
63.4% Relevancy Score
59.3% Relevancy Score
56.1% Relevancy Score
54.5% Relevancy Score
54.3% Relevancy Score