Anti-Carcino Embryonic Antigen CEA Antibody [CB30]
Description
Mouse monoclonal [CB30] antibody to Carcino Embryonic Antigen CEA.
Specificity
This antibody recognizes CD66e (CEA; 180-200 kDa), a cell surface bound carcinoembryonic antigen mainly expressed on epithelial cells.
Applications
Flow Cytometry, IP, IHC-P, IHC-Fr
Dilutions
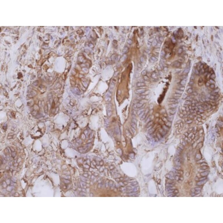
IHC-P: Staining technique: standard ABC technique (DAB+), recommended dilution: 10 µg/ml (1:100), Positive Control: adenocarcinoma of colon, pretreatment: 0, 1% pepsin in 0, 1 M HCl for 30 min at room temperature.
Reactivity
Human
Immunogen
Human carcinoembryonic antigen.
Host
Mouse
Clonality
Monoclonal
Clone ID
CB30
Isotype
IgG1
Conjugate
Unconjugated
Purification
Protein A chromatography.
Concentration
1 mg/ml
Predicted MW
180-200 kDa
Product Form
Liquid
Formulation
Supplied in Phosphate Buffered Saline, pH 7.4, with 15 mM Sodium Azide.
Storage
Shipped at 4°C. Upon delivery aliquot and store at -20°C. Avoid freeze/thaw cycles.
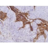
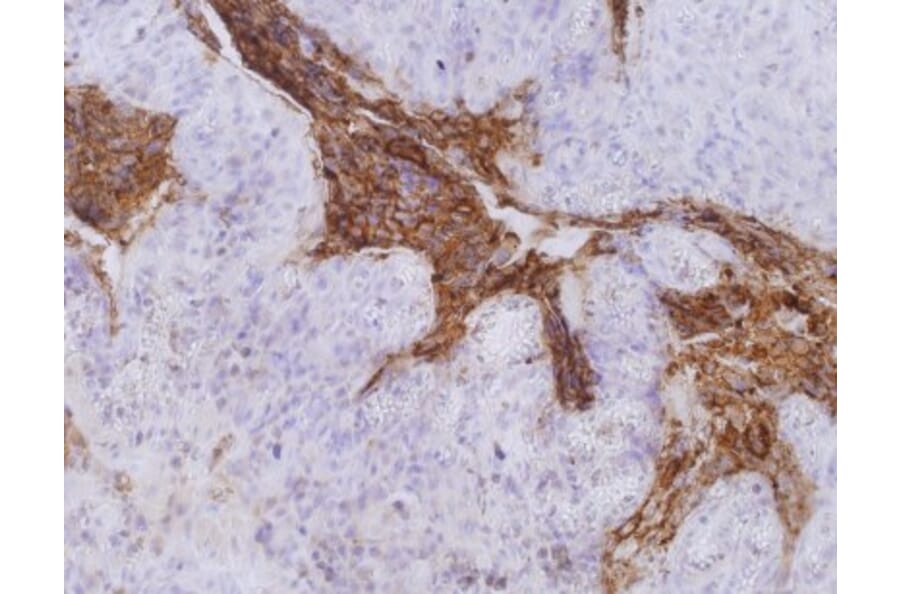
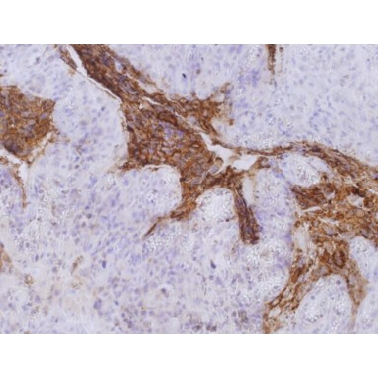
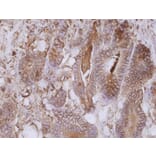
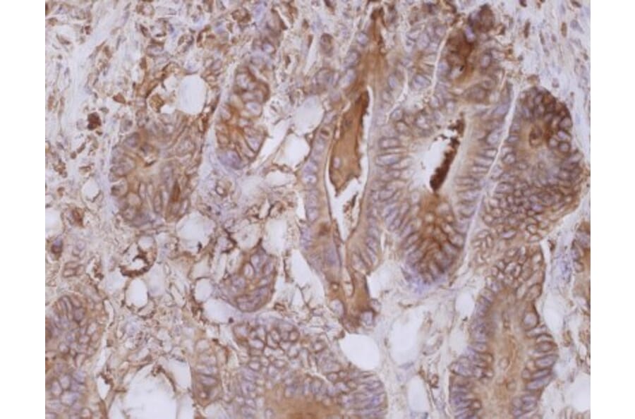
Immunohistochemistry - Anti-Carcino Embryonic Antigen CEA Antibody [CB30] (A86638)
Immunohistochemistry staining of colorectal carcinoma (paraffin-embedded sections) with Anti-CD66e Antibody (A86638). Primary antibody dilution: 10 µg/ml.
Publishing research using Anti-Carcino Embryonic Antigen CEA Antibody [CB30] (A86638)? Please let us know so that we can list the citation on this page.
Alternative products to Anti-Carcino Embryonic Antigen CEA Antibody [CB30] (A86638)
Human monoclonal antibody to CEA Research grade Anti-Human CEA [SGM 101] biosimilar for ELISA, Flow Cytometry, Functional Studies and in vivo Research.
Human monoclonal antibody to CEA Research grade Anti-Human CEA [SGM 101] biosimilar for ELISA, Flow Cytometry, Functional Studies and in vivo Research.