ISO 9001:2015 Certified
Live Customer Support
4.5/5 on Trustpilot
100% Quality Guarantee

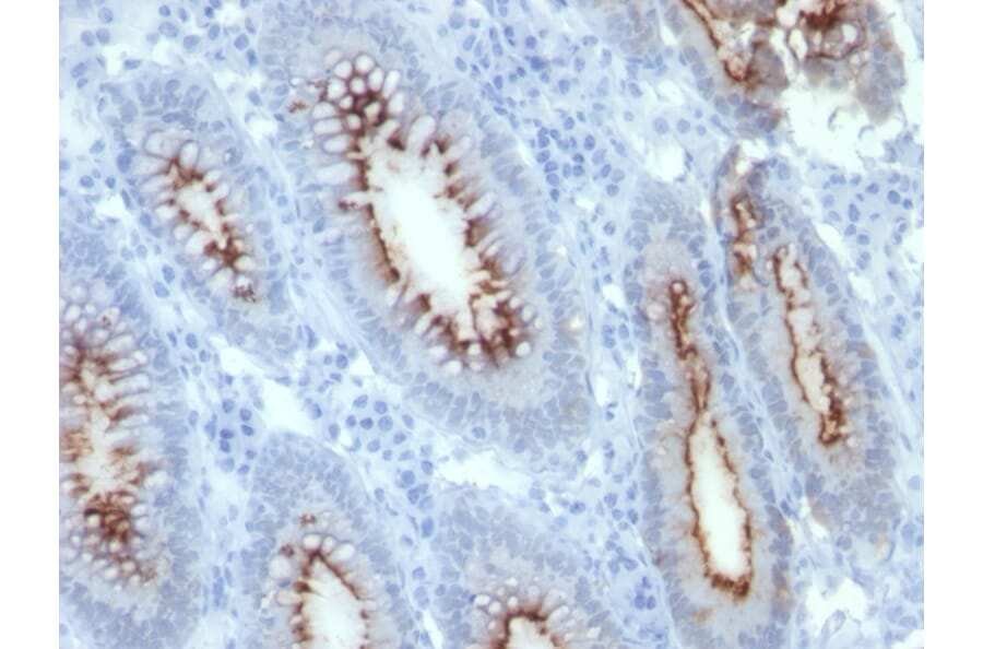
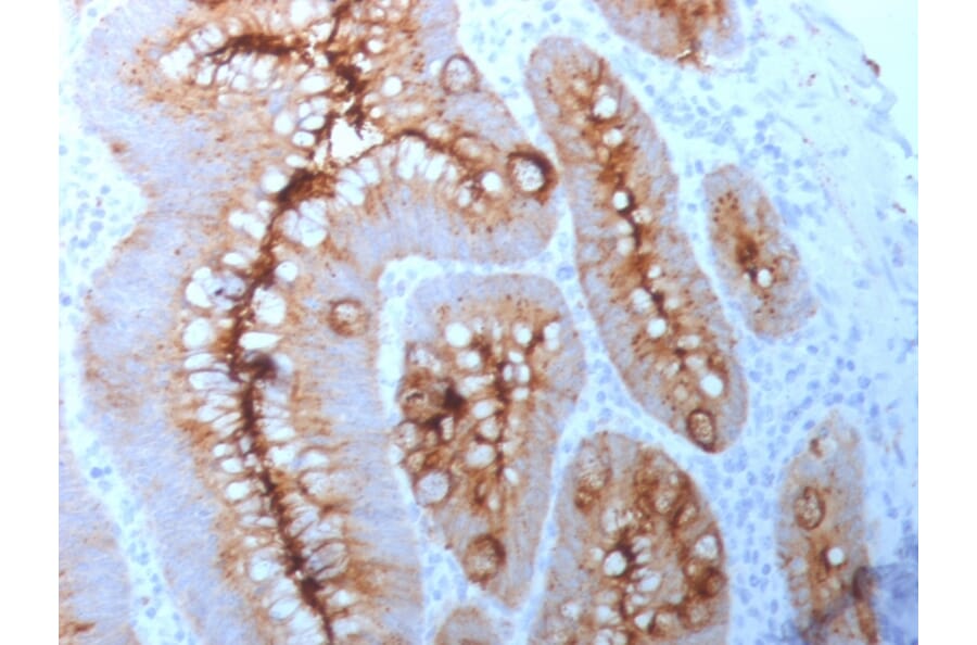
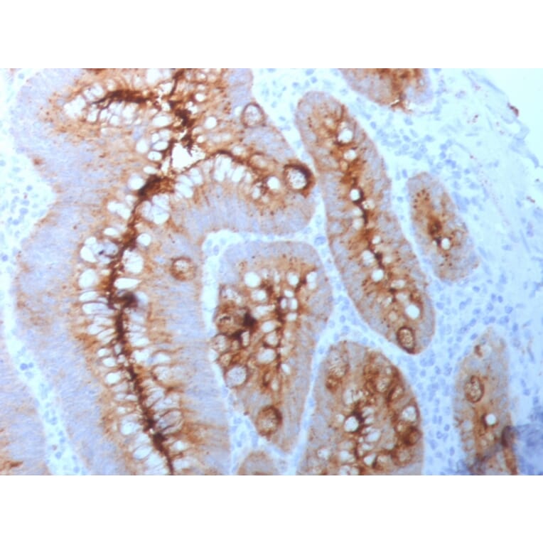
Anti-Carcinoembryonic Antigen Antibody [C66/261] - BSA and Azide free (A251313)

Mouse monoclonal [C66/261] antibody to Carcinoembryonic Antigen for Flow Cytometry, IF and IHC-P.

Alternative Formats and ConjugatesAlternative Formats

Shipping Information

$40
Dispatched from St. Louis, MO.
Lead Time: 5-8 business days.
Name
Anti-Carcinoembryonic Antigen Antibody [C66/261] - BSA and Azide free
Description
Mouse monoclonal [C66/261] antibody to Carcinoembryonic Antigen.
Specificity
This antibody recognizes proteins of 80-200kDa, identified as different members of CEA family. CEA is synthesized during development in the fetal gut and is re-expressed in increased amounts in intestinal carcinomas and several other tumors. This MAb does not react with nonspecific cross-reacting antigen (NCA) and with human polymorphonuclear leucocytes. It shows no reaction with a variety of normal tissues and is suitable for staining of formalin/paraffin tissues. CEA is not found in benign glands, stroma, or malignant prostatic cells. Antibody to CEA is useful in detecting early foci of gastric carcinoma and in distinguishing pulmonary adenocarcinomas (60-70% are CEA+) from pleural mesotheliomas (rarely or weakly CEA+). Anti-CEA positivity is seen in adenocarcinomas from the lung, colon, stomach, esophagus, pancreas, gallbadder, urachus, salivary gland, ovary, and endocervix.
Applications
Flow Cytometry, IF, IHC-P
Dilutions
Flow Cytometry: 0.5-1 µg/million cells, IF: 0.5-1 µg/ml, IHC-P: 1-2 µg/ml
Reactivity
Human
Immunogen
Recombinant full-length human CEA protein.
Host
Mouse
Clonality
Monoclonal
Clone ID
C66/261
Isotype
IgG1
Light Chains
kappa
Conjugate

Unconjugated

Purification
Protein A/G chromatography.
Concentration
1 mg/ml
Molecular Weight
80-200 kDa
Product Form
Liquid
Formulation
Supplied in 10mM Phosphate Buffered Saline; without Sodium Azide and carrier free.
Storage
Shipped at 4°C. Upon delivery aliquot and store at -20°C. Avoid freeze / thaw cycles.
General Notes
This monoclonal antibody is also available in a different formulation with BSA and Sodium Azide - Anti-Carcinoembryonic Antigen Antibody [C66/261] (A248130).
Synonyms
Carcinoembryonic antigen-related cell adhesion molecule 5, CD66e, CEACAM5, Meconium antigen 100
Disclaimer
This product is for research use only. It is not intended for diagnostic or therapeutic use.
Publishing research using Anti-Carcinoembryonic Antigen Antibody [C66/261] - BSA and Azide free (A251313)? Please let us know so that we can list the citation on this page.

Alternative products to Anti-Carcinoembryonic Antigen Antibody [C66/261] - BSA and Azide free (A251313)

Proteins predicted to interact with CEA

Predicted protein interactions based upon String database. Revelancy score correlates with probability of interaction.
94.1% Relevancy Score
92.5% Relevancy Score
91.9% Relevancy Score
91.6% Relevancy Score
90.9% Relevancy Score
88.3% Relevancy Score
87.7% Relevancy Score
86.9% Relevancy Score
83.7% Relevancy Score