Primary Antibodies
Secondary Antibodies
Proteins & Peptides
ELISA Kits
About Us
Contact Us
Sign In/Register
0
ISO 9001:2015 Certified
Live Customer Support
4.5/5 on Trustpilot
100% Quality Guarantee
Home
Primary Antibodies
CARD11 Antibodies
Anti-CARD11 Antibody (A45444)
Anti-CARD11 Antibody (A45444)
Overview
Specifications
Images
Enlarge Image
Enlarge Image
$430
Product Datasheet
Rabbit polyclonal antibody to CARD11 for IHC.
100% Guarantee
Price Match Guarantee
Product Size:
100µl
Quantity:
1
2
3
4
5
6
7
8
9
10
Add To Cart
Request a Quotation
Custom or Bulk Request
Shipping Information
Freight/Packing Charges:
$40
Dispatched from St. Louis, MO.
Lead Time: 6-9 business days.
Specifications
Name
Anti-CARD11 Antibody
Description
Rabbit polyclonal antibody to CARD11
Specificity
The antibody detects endogenous levels of total CARD11 protein.
Applications
IHC
Reactivity
Human
Immunogen
Fusion protein corresponding to a region derived from internal residues of human caspase recruitment domain family, member 11
Host
Rabbit
Clonality
Polyclonal
Conjugate
Unconjugated
Purification
Antigen affinity purification.
Concentration
1.7 mg/mL
Formulation
Supplied in PBS, pH 7.3, containing 0.05% sodium azide and 50% glycerol.
Storage
Shipped at 4°C. Upon delivery aliquot and store at -20°C. Avoid freeze/thaw cycles.
Synonyms
CARD-containing MAGUK protein 1, Carma 1, CARMA1, Caspase recruitment domain-containing protein 11
Suitable Secondaries
Goat Anti-Rabbit IgG H&L Antibody (AP) (A294874)
Goat Anti-Rabbit IgG H&L Antibody (Biotin) (A294795)
Goat Anti-Rabbit IgG H&L Antibody (FITC) (A294887)
Goat Anti-Rabbit IgG H&L Antibody (HRP) (A294888)
See all Anti-Rabbit IgG Secondaries →
Disclaimer
This product is for research use only. It is not intended for diagnostic or therapeutic use.
Scientific Validation Data
Validation Data
(2)
Enlarge Image
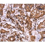
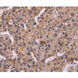
Immunohistochemistry - Anti-CARD11 Antibody (A45444)
Immunohistochemical analysis of paraffin-embedded Human breast cancer tissue using #36308 at dilution 1/40.
Enlarge Image
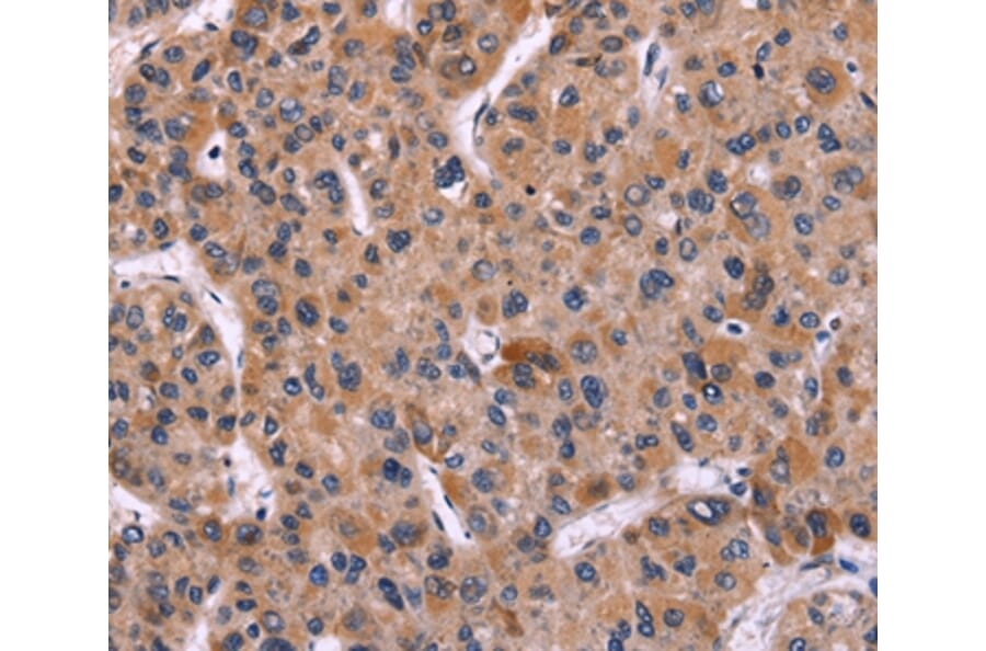
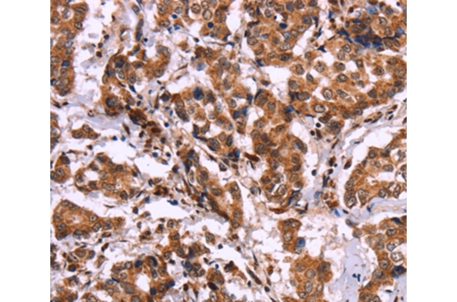
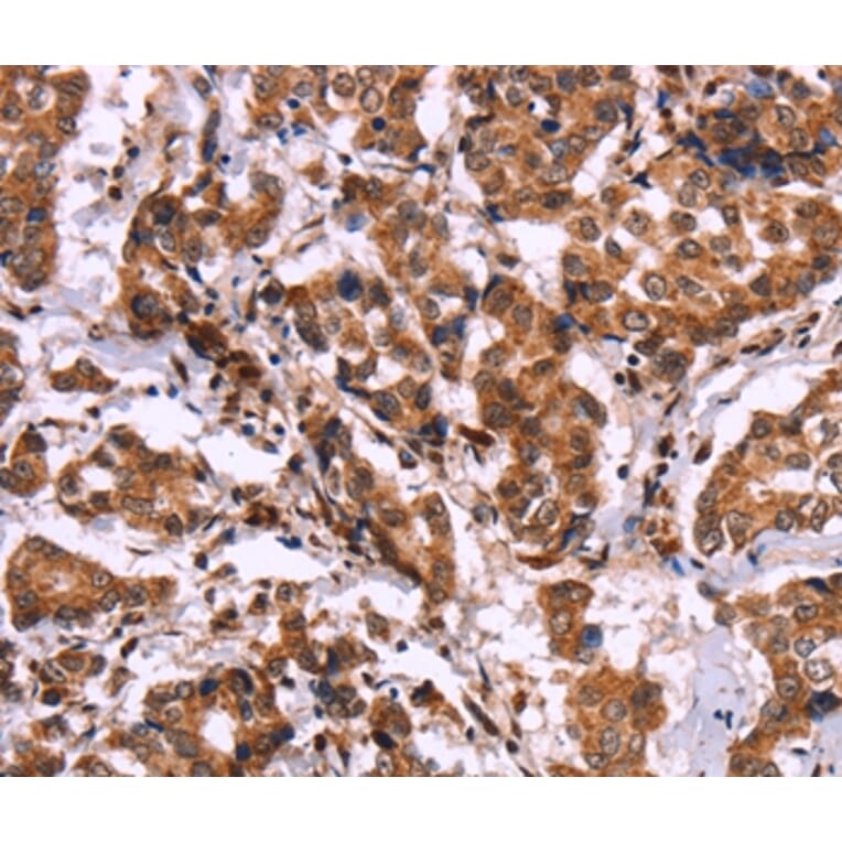
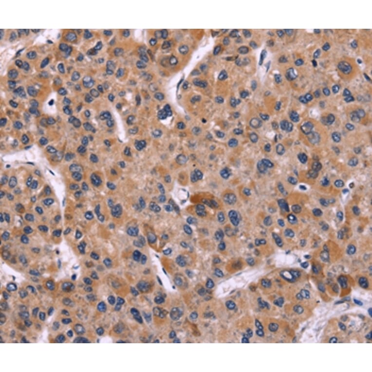
Immunohistochemistry - Anti-CARD11 Antibody (A45444)
Immunohistochemical analysis of paraffin-embedded Human liver cancer tissue using #36308 at dilution 1/40.
Publishing research using Anti-CARD11 Antibody (A45444)? Please
let us know
so that we can list the citation on this page.
Alternative products to Anti-CARD11 Antibody (A45444)
(2)
A98829
Anti-CARD11 Antibody
Rabbit polyclonal antibody to CARD11 for WB, IHC, IF and ELISA.
(2)
A47571
Anti-CARMA1 Antibody
Rabbit polyclonal antibody to CARMA1 for ELISA, WB and IHC.
A31905
Anti-CARD11 Antibody
Rabbit polyclonal antibody to CARD11 for WB, IHC and IF.
A41841
Anti-CARD11 Antibody
Rabbit polyclonal antibody to CARD11 for WB.
A344926
Anti-CARD11 Antibody [25GB1990]
Recombinant rabbit monoclonal [25GB1990] antibody to CARD11 for WB.
(2)
A98829
Anti-CARD11 Antibody
Rabbit polyclonal antibody to CARD11 for WB, IHC, IF and ELISA.
(2)
A47571
Anti-CARMA1 Antibody
Rabbit polyclonal antibody to CARMA1 for ELISA, WB and IHC.
A31905
Anti-CARD11 Antibody
Rabbit polyclonal antibody to CARD11 for WB, IHC and IF.
A41841
Anti-CARD11 Antibody
Rabbit polyclonal antibody to CARD11 for WB.
A344926
Anti-CARD11 Antibody [25GB1990]
Recombinant rabbit monoclonal [25GB1990] antibody to CARD11 for WB.
See all CARD11 Antibodies
Proteins predicted to interact with CARD11
Predicted protein interactions based upon String database. Revelancy score correlates with probability of interaction.
BCL10 Antibodies
99.9% Relevancy Score
MALT1 Antibodies
99.9% Relevancy Score
PKC theta Antibodies
99.8% Relevancy Score
IKK gamma Antibodies
99.8% Relevancy Score
PKC beta Antibodies
97.2% Relevancy Score
TRAF6 Antibodies
95.5% Relevancy Score
CARD10 Antibodies
94.9% Relevancy Score
IKK alpha Antibodies
92.4% Relevancy Score
TAK1 Antibodies
92.2% Relevancy Score
Top