Primary Antibodies
Secondary Antibodies
Proteins & Peptides
ELISA Kits
About Us
Contact Us
Sign In/Register
0
ISO 9001:2015 Certified
Live Customer Support
4.5/5 on Trustpilot
100% Quality Guarantee
Home
Primary Antibodies
INCA Antibodies
Anti-CARD17 Antibody (A45555)
Anti-CARD17 Antibody (A45555)
Overview
Specifications
Images
Enlarge Image
Enlarge Image
$430
Product Datasheet
Rabbit polyclonal antibody to CARD17 for IHC.
100% Guarantee
Price Match Guarantee
Product Size:
100µl
Quantity:
1
2
3
4
5
6
7
8
9
10
Add To Cart
Request a Quotation
Custom or Bulk Request
Shipping Information
Freight/Packing Charges:
$40
Dispatched from St. Louis, MO.
Lead Time: 6-9 business days.
Specifications
Name
Anti-CARD17 Antibody
Description
Rabbit polyclonal antibody to CARD17
Specificity
The antibody detects endogenous levels of total CARD17 protein.
Applications
IHC
Reactivity
Human
Immunogen
Synthetic peptide corresponding to residues near the C terminal of human caspase recruitment domain family, member 17
Host
Rabbit
Clonality
Polyclonal
Conjugate
Unconjugated
Purification
Antigen affinity purification.
Concentration
3 mg/mL
Formulation
Supplied in PBS, pH 7.3, containing 0.05% sodium azide and 50% glycerol.
Storage
Shipped at 4°C. Upon delivery aliquot and store at -20°C. Avoid freeze/thaw cycles.
Synonyms
CARD17P, Caspase-1 inhibitor INCA, Inhibitory caspase recruitment domain protein, Putative caspase recruitment domain-containing protein 17P
Suitable Secondaries
Goat Anti-Rabbit IgG H&L Antibody (AP) (A294874)
Goat Anti-Rabbit IgG H&L Antibody (Biotin) (A294795)
Goat Anti-Rabbit IgG H&L Antibody (FITC) (A294887)
Goat Anti-Rabbit IgG H&L Antibody (HRP) (A294888)
See all Anti-Rabbit IgG Secondaries →
Disclaimer
This product is for research use only. It is not intended for diagnostic or therapeutic use.
Scientific Validation Data
Validation Data
(2)
Enlarge Image
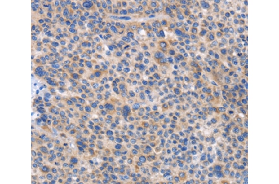
Immunohistochemistry - Anti-CARD17 Antibody (A45555)
Immunohistochemical analysis of paraffin-embedded Human thyroid cancer tissue using #37461 at dilution 1/50.
Enlarge Image
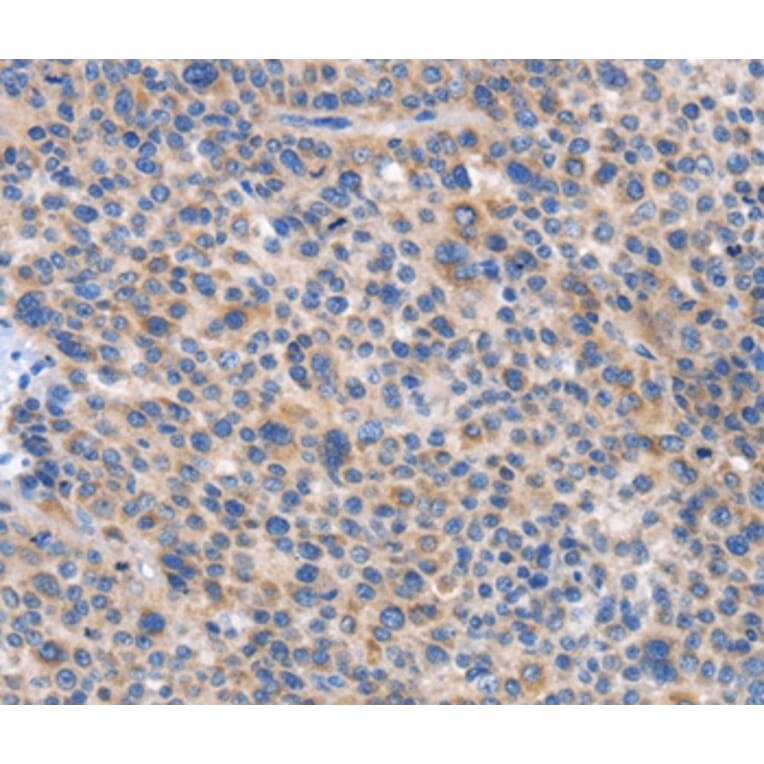
Immunohistochemistry - Anti-CARD17 Antibody (A45555)
Immunohistochemical analysis of paraffin-embedded Human liver cancer tissue using #37461 at dilution 1/50.
Publishing research using Anti-CARD17 Antibody (A45555)? Please
let us know
so that we can list the citation on this page.
Alternative products to Anti-CARD17 Antibody (A45555)
A84744
Anti-INCA Antibody
Goat polyclonal antibody to INCA for ELISA and WB.
A84744
Anti-INCA Antibody
Goat polyclonal antibody to INCA for ELISA and WB.
Proteins predicted to interact with INCA
Predicted protein interactions based upon String database. Revelancy score correlates with probability of interaction.
Caspase-1 Antibodies
97.7% Relevancy Score
COP Antibodies
90.9% Relevancy Score
ASC Antibodies
58.1% Relevancy Score
Caspase-5 Antibodies
55.8% Relevancy Score
Caspase-4 Antibodies
52.3% Relevancy Score
NLRC4 Antibodies
49% Relevancy Score
Pyrin Antibodies
45.7% Relevancy Score
APAF1 Antibodies
45.7% Relevancy Score
IL-1 beta Antibodies
44.9% Relevancy Score
Top