ISO 9001:2015 Certified
Live Customer Support
4.5/5 on Trustpilot
100% Quality Guarantee

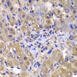
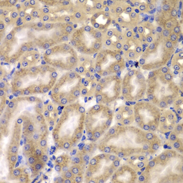
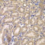
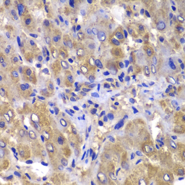
Anti-Carma 3 Antibody (A12107)

Rabbit polyclonal antibody to Carma 3 for WB, IHC and ICC/IF.

Shipping Information

$40
Dispatched from St. Louis, MO.
Lead Time: 7-10 business days.
Name
Anti-Carma 3 Antibody
Description
Rabbit polyclonal antibody to Carma 3.
Applications
WB, IHC, ICC/IF
Dilutions
WB: 1:100-1:500, IHC: 1:50-1:200, ICC/IF: 1:50-1:200
Reactivity
Human, Mouse, Rat
Immunogen
Recombinant fusion protein containing a sequence corresponding to amino acids 863-1032 of human CARD10 (NP_055365.2).
Sequence
LLDLPSSRLDFQVCPAESLSGEELCPSSAPGAPKAQPATPGLGSRIRAIQESVGKKHCLLELGARGVRELVQNEIYPIVIHVEVTEKNVREVRGLLGRPGWRDSELLRQCRGSEQVLWGLPCSWVQVPAHEWGHAEELAKVVRGRILQEQARLVWVECGSSRGCPSSSEA
Host
Rabbit
Clonality
Polyclonal
Isotype
IgG
Conjugate

Unconjugated

Purification
Affinity purification.
Concentration
Lot Specific
Molecular Weight
116 kDa
Product Form
Liquid
Formulation
Supplied in Phosphate Buffered Saline, pH 7.3, with 50% Glycerol and 0.02% Sodium Azide.
Storage
Shipped at 4°C. Upon delivery aliquot and store at -20°C. Avoid freeze/thaw cycles.
Synonyms
CARD-containing MAGUK protein 3, CARMA3, Caspase recruitment domain-containing protein 10
Disclaimer
This product is for research use only. It is not intended for diagnostic or therapeutic use.
Publishing research using Anti-Carma 3 Antibody (A12107)? Please let us know so that we can list the citation on this page.

Alternative products to Anti-Carma 3 Antibody (A12107)

Proteins predicted to interact with CARD10

Predicted protein interactions based upon String database. Revelancy score correlates with probability of interaction.
99.9% Relevancy Score
99.9% Relevancy Score
95.7% Relevancy Score
94.9% Relevancy Score
94.9% Relevancy Score
92.1% Relevancy Score
88.9% Relevancy Score
73.9% Relevancy Score
65.7% Relevancy Score