ISO 9001:2015 Certified
Live Customer Support
4.5/5 on Trustpilot
100% Quality Guarantee

Anti-CASP Antibody (A83821)

Goat polyclonal antibody to CASP for ELISA, WB and IF.

Shipping Information

$40
Dispatched from St. Louis, MO.
Lead Time: 7-10 business days.
Name
Anti-CASP Antibody
Description
Goat polyclonal antibody to CASP.
Applications
ELISA, WB, IF
Dilutions
ELISA: 1:16,000, WB: 0.3-1µg/ml, IF: 10µg/ml
Reactivity
Human
Immunogen
Synthetic peptide corresponding to the N terminal region of human CASP.
Sequence
SLQRLLQHSSNGN-C
Host
Goat
Clonality
Polyclonal
Isotype
IgG
Conjugate

Unconjugated

Purification
Purified from goat serum by ammonium sulphate precipitation followed by antigen affinity chromatography using the immunizing peptide.
Concentration
500 µg/ml
Molecular Weight
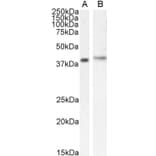
38 kDa
Predicted MW
40kDa
Product Form
Liquid
Formulation
Supplied in Tris Buffered Saline, pH 7.3, with 0.5% BSA and 0.02% Sodium Azide.
Storage
Shipped at 4°C. Upon delivery aliquot and store at -20°C. Avoid freeze/thaw cycles.
Synonyms
CUTL1, CUX1, Protein CASP
Isotype Controls
Disclaimer
This product is for research use only. It is not intended for diagnostic or therapeutic use.
Publishing research using Anti-CASP Antibody (A83821)? Please let us know so that we can list the citation on this page.

Proteins predicted to interact with CASP

Predicted protein interactions based upon String database. Revelancy score correlates with probability of interaction.
88.5% Relevancy Score
85.1% Relevancy Score
83.4% Relevancy Score
82.5% Relevancy Score
82.1% Relevancy Score
80.4% Relevancy Score
78.4% Relevancy Score
77% Relevancy Score
75.8% Relevancy Score