Primary Antibodies
Secondary Antibodies
Proteins & Peptides
ELISA Kits
About Us
Contact Us
Sign In/Register
0
ISO 9001:2015 Certified
Live Customer Support
4.5/5 on Trustpilot
100% Quality Guarantee
Home
Primary Antibodies
Caspase-9 Antibodies
Anti-CASP9 (active) Antibody (A44865)
Anti-CASP9 (active) Antibody (A44865)
Overview
Specifications
Images
Enlarge Image
Enlarge Image
$430
Product Datasheet
Rabbit polyclonal antibody to CASP9 (active) for IHC.
100% Guarantee
Price Match Guarantee
Product Size:
100µl
Quantity:
1
2
3
4
5
6
7
8
9
10
Add To Cart
Request a Quotation
Custom or Bulk Request
Shipping Information
Freight/Packing Charges:
$40
Dispatched from St. Louis, MO.
Lead Time: 6-9 business days.
Specifications
Name
Anti-CASP9 (active) Antibody
Description
Rabbit polyclonal antibody to CASP9 (active)
Specificity
The antibody detects endogenous levels of total CASP9 (active) protein.
Applications
IHC
Reactivity
Human
Immunogen
Synthetic peptide corresponding to a region derived from internal residues of human caspase 9, apoptosis-related cysteine peptidase
Host
Rabbit
Clonality
Polyclonal
Conjugate
Unconjugated
Purification
Antigen affinity purification.
Concentration
2.4 mg/mL
Formulation
Supplied in PBS, pH 7.3, containing 0.05% sodium azide and 50% glycerol.
Storage
Shipped at 4°C. Upon delivery aliquot and store at -20°C. Avoid freeze/thaw cycles.
Synonyms
APAF-3, Apoptotic protease Mch-6, Apoptotic protease-activating factor 3, CASP-9, ICE-LAP6, ICE-like apoptotic protease 6, MCH6
Suitable Secondaries
Goat Anti-Rabbit IgG H&L Antibody (AP) (A294874)
Goat Anti-Rabbit IgG H&L Antibody (Biotin) (A294795)
Goat Anti-Rabbit IgG H&L Antibody (FITC) (A294887)
Goat Anti-Rabbit IgG H&L Antibody (HRP) (A294888)
See all Anti-Rabbit IgG Secondaries →
Disclaimer
This product is for research use only. It is not intended for diagnostic or therapeutic use.
Scientific Validation Data
Validation Data
(2)
Enlarge Image
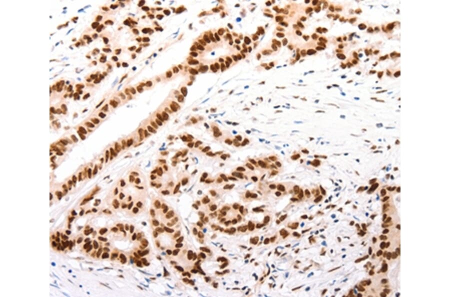
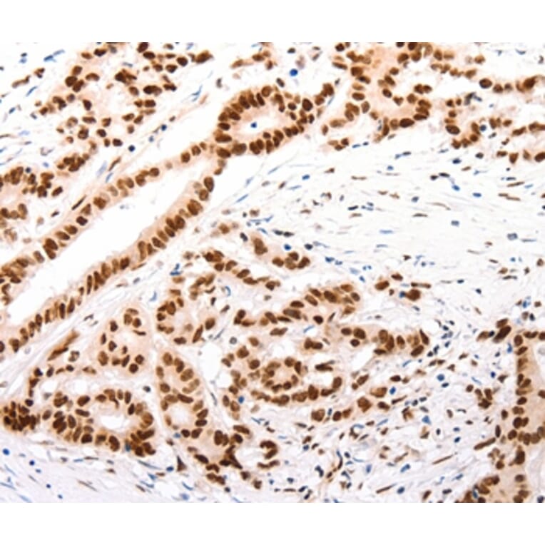
Immunohistochemistry - Anti-CASP9 (active) Antibody (A44865)
Immunohistochemical analysis of paraffin-embedded Human colon cancer tissue using #37307 at dilution 1/80.
Enlarge Image
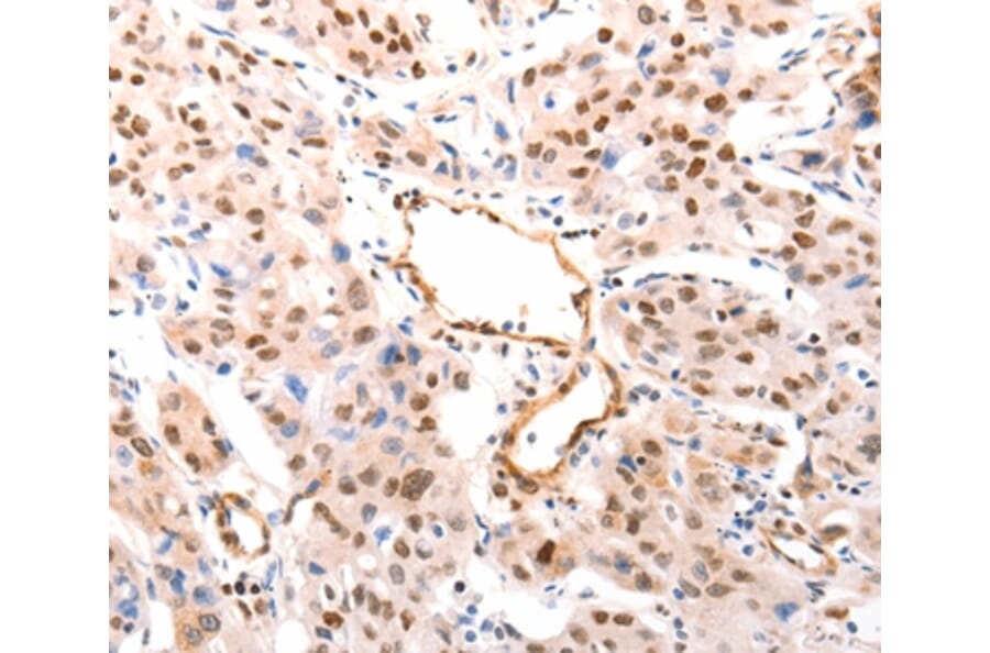
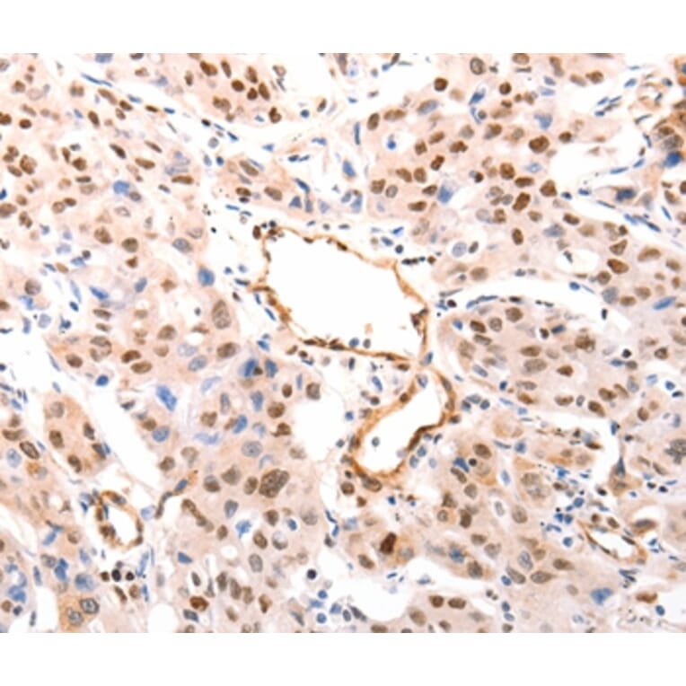
Immunohistochemistry - Anti-CASP9 (active) Antibody (A44865)
Immunohistochemical analysis of paraffin-embedded Human lung cancer tissue using #37307 at dilution 1/80.
Publishing research using Anti-CASP9 (active) Antibody (A44865)? Please
let us know
so that we can list the citation on this page.
Alternative products to Anti-CASP9 (active) Antibody (A44865)
(8)
A93518
Anti-Caspase 9 (cleaved Asp353) Antibody
Rabbit polyclonal antibody to Caspase 9 (cleaved Asp353) for IF/ICC,WB,IHC-p and ELISA.
(8)
A94478
Anti-Caspase 9 (cleaved Asp315) Antibody
Rabbit polyclonal antibody to Caspase 9 (cleaved Asp315) for WB, IHC, IF and ELISA.
(6)
A12599
Anti-Caspase-9 Antibody
Rabbit polyclonal antibody to Caspase-9 for WB, IHC and ICC/IF.
(2)
A94477
Anti-Caspase 9 (cleaved Asp330) Antibody
Rabbit polyclonal antibody to Caspase 9 (cleaved Asp330) for IF, WB, IHC and ELISA.
(6)
A14108
Anti-Caspase-9 Antibody
Rabbit polyclonal antibody to Caspase-9 for WB, IHC and ICC/IF.
(3)
A94775
Anti-Caspase 9 Antibody
Rabbit polyclonal antibody to Caspase 9 for WB, IHC, IF and ELISA.
(3)
A93473
Anti-Caspase 9 (phospho Thr125) Antibody
Rabbit polyclonal antibody to Caspase 9 (phospho Thr125) for WB, IHC, IF and ELISA.
(2)
A95118
Anti-Caspase 9 (phospho Ser196) Antibody
Rabbit polyclonal antibody to Caspase 9 (phospho Ser196) for WB, IHC, IF and ELISA.
(2)
A94476
Anti-Caspase 9 (phospho Ser144) Antibody
Rabbit polyclonal antibody to Caspase 9 (phospho Ser144) for WB, IHC, IF and ELISA.
(2)
A34301
Anti-Caspase-9 Antibody
Rabbit polyclonal antibody to Caspase-9 for WB, IHC, ICC/IF and ELISA.
(2)
A94697
Anti-Caspase 9 (phospho Tyr153) Antibody
Rabbit polyclonal antibody to Caspase 9 (phospho Tyr153) for WB, IF and ELISA.
(2)
A39732
Anti-CASP9 Antibody
Rabbit polyclonal antibody to CASP9 for WB, ICC/IF and IHC.
(8)
A93518
Anti-Caspase 9 (cleaved Asp353) Antibody
Rabbit polyclonal antibody to Caspase 9 (cleaved Asp353) for IF/ICC,WB,IHC-p and ELISA.
(8)
A94478
Anti-Caspase 9 (cleaved Asp315) Antibody
Rabbit polyclonal antibody to Caspase 9 (cleaved Asp315) for WB, IHC, IF and ELISA.
(6)
A12599
Anti-Caspase-9 Antibody
Rabbit polyclonal antibody to Caspase-9 for WB, IHC and ICC/IF.
(2)
A94477
Anti-Caspase 9 (cleaved Asp330) Antibody
Rabbit polyclonal antibody to Caspase 9 (cleaved Asp330) for IF, WB, IHC and ELISA.
(6)
A14108
Anti-Caspase-9 Antibody
Rabbit polyclonal antibody to Caspase-9 for WB, IHC and ICC/IF.
(3)
A94775
Anti-Caspase 9 Antibody
Rabbit polyclonal antibody to Caspase 9 for WB, IHC, IF and ELISA.
(3)
A93473
Anti-Caspase 9 (phospho Thr125) Antibody
Rabbit polyclonal antibody to Caspase 9 (phospho Thr125) for WB, IHC, IF and ELISA.
(2)
A95118
Anti-Caspase 9 (phospho Ser196) Antibody
Rabbit polyclonal antibody to Caspase 9 (phospho Ser196) for WB, IHC, IF and ELISA.
(2)
A94476
Anti-Caspase 9 (phospho Ser144) Antibody
Rabbit polyclonal antibody to Caspase 9 (phospho Ser144) for WB, IHC, IF and ELISA.
(2)
A34301
Anti-Caspase-9 Antibody
Rabbit polyclonal antibody to Caspase-9 for WB, IHC, ICC/IF and ELISA.
(2)
A94697
Anti-Caspase 9 (phospho Tyr153) Antibody
Rabbit polyclonal antibody to Caspase 9 (phospho Tyr153) for WB, IF and ELISA.
(2)
A39732
Anti-CASP9 Antibody
Rabbit polyclonal antibody to CASP9 for WB, ICC/IF and IHC.
See all CASP9 Antibodies
Proteins predicted to interact with Caspase-9
Predicted protein interactions based upon String database. Revelancy score correlates with probability of interaction.
Caspase-3 Antibodies
99.9% Relevancy Score
XIAP Antibodies
99.9% Relevancy Score
cIAP1 Antibodies
99.9% Relevancy Score
Cytochrome C Antibodies
99.9% Relevancy Score
APAF1 Antibodies
99.9% Relevancy Score
Livin Antibodies
99.8% Relevancy Score
cIAP2 Antibodies
99.6% Relevancy Score
BclXL Antibodies
99.2% Relevancy Score
PARP1 Antibodies
99.1% Relevancy Score
Top