Primary Antibodies
Secondary Antibodies
Proteins & Peptides
ELISA Kits
About Us
Contact Us
Sign In/Register
0
ISO 9001:2015 Certified
Live Customer Support
4.5/5 on Trustpilot
100% Quality Guarantee
Home
Primary Antibodies
Caspase-4 Antibodies
Anti-Caspase-4 Antibody (A47403)
Anti-Caspase-4 Antibody (A47403)
Overview
Specifications
Images
Enlarge Image
Enlarge Image
$780
Product Datasheet
Rabbit polyclonal antibody to Caspase-4 for ELISA, WB and IHC.
100% Guarantee
Price Match Guarantee
Product Size:
100µl
Quantity:
1
2
3
4
5
6
7
8
9
10
Add To Cart
Request a Quotation
Custom or Bulk Request
Shipping Information
Freight/Packing Charges:
$40
Dispatched from St. Louis, MO.
Lead Time: 6-9 business days.
Specifications
Name
Anti-Caspase-4 Antibody
Description
Rabbit polyclonal antibody to Caspase-4
Specificity
Depending on cell lines or tissues used, other cleavage products may be observed.
Applications
ELISA
,
WB
,
IHC
Reactivity
Human
Immunogen
Raised against a 15 amino acid peptide from near the center of human Caspase-4.
Host
Rabbit
Clonality
Polyclonal
Conjugate
Unconjugated
Purification
Affinity chromatography purified via peptide column
Formulation
Supplied in phosphate-buffered saline with 0.02% Sodium Azide.
Storage
Shipped at 4°C. Upon delivery aliquot and store at -20°C. Avoid freeze/thaw cycles.
Synonyms
CASP-4, CASP4, ICE and Ced-3 homolog 2, ICE(rel)-II, ICH-2, ICH2, Mih1, Protease TX
Suitable Secondaries
Goat Anti-Rabbit IgG H&L Antibody (AP) (A294874)
Goat Anti-Rabbit IgG H&L Antibody (Biotin) (A294795)
Goat Anti-Rabbit IgG H&L Antibody (FITC) (A294887)
Goat Anti-Rabbit IgG H&L Antibody (HRP) (A294888)
See all Anti-Rabbit IgG Secondaries →
Disclaimer
This product is for research use only. It is not intended for diagnostic or therapeutic use.
Scientific Validation Data
Validation Data
(2)
Enlarge Image
Anti-Caspase-4 Antibody (A47403)
Western blot analysis of caspase-4 in human spleen cells with caspase-4 antibody at (A) 1 and (B) 2 µg/mL.
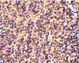
Enlarge Image
Immunohistochemistry - Anti-Caspase-4 Antibody (A47403)
Immunohistochemical staining of human spleen tissue using caspase-4 antibody at 2 µg/mL.
Publishing research using Anti-Caspase-4 Antibody (A47403)? Please
let us know
so that we can list the citation on this page.
Alternative products to Anti-Caspase-4 Antibody (A47403)
(3)
A94799
Anti-Caspase 4 (p20,cleaved Gln81) Antibody
Rabbit polyclonal antibody to Caspase 4 (p20,cleaved Gln81) for WB, IHC, IF and ELISA.
(2)
A95197
Anti-Caspase-4 Antibody
Rabbit polyclonal antibody to Caspase-4 for WB, IHC, IF and ELISA.
(3)
A34763
Anti-caspase-4 Antibody
Rabbit polyclonal antibody to caspase-4 for WB, IHC and ICC/IF.
(4)
A308619
Anti-Caspase-4 Antibody
Rabbit polyclonal antibody to Caspase-4 for WB and IHC.
(2)
A47402
Anti-Caspase-4 Antibody
Rabbit polyclonal antibody to Caspase-4 for ELISA, WB and IHC.
A83389
Anti-Caspase-4 Antibody
Goat polyclonal antibody to Caspase-4 for ELISA and WB.
(3)
A94799
Anti-Caspase 4 (p20,cleaved Gln81) Antibody
Rabbit polyclonal antibody to Caspase 4 (p20,cleaved Gln81) for WB, IHC, IF and ELISA.
(2)
A95197
Anti-Caspase-4 Antibody
Rabbit polyclonal antibody to Caspase-4 for WB, IHC, IF and ELISA.
(3)
A34763
Anti-caspase-4 Antibody
Rabbit polyclonal antibody to caspase-4 for WB, IHC and ICC/IF.
(4)
A308619
Anti-Caspase-4 Antibody
Rabbit polyclonal antibody to Caspase-4 for WB and IHC.
(2)
A47402
Anti-Caspase-4 Antibody
Rabbit polyclonal antibody to Caspase-4 for ELISA, WB and IHC.
A83389
Anti-Caspase-4 Antibody
Goat polyclonal antibody to Caspase-4 for ELISA and WB.
See all Caspase-4 Antibodies
Proteins predicted to interact with Caspase-4
Predicted protein interactions based upon String database. Revelancy score correlates with probability of interaction.
GSDMD Antibodies
99.8% Relevancy Score
Caspase-1 Antibodies
99.6% Relevancy Score
Caspase-5 Antibodies
98.8% Relevancy Score
IL-1 beta Antibodies
98.5% Relevancy Score
IL-18 Antibodies
96.7% Relevancy Score
NLRC4 Antibodies
93.9% Relevancy Score
NLRP1 Antibodies
88.7% Relevancy Score
AIM2 Antibodies
87.6% Relevancy Score
NLRP6 Antibodies
87% Relevancy Score
Top