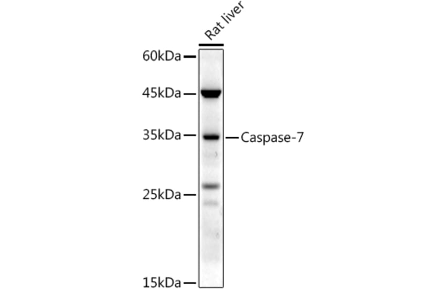
Western blot analysis of extracts of Rat liver, using Anti-Caspase-7 Antibody (A13487) at 1:500 dilution. The secondary antibody was Goat Anti-Rabbit IgG H&L Antibody (HRP) at 1:10,000 dilution. Lysates/proteins were present at 25µg per lane. The blocking buffer used was 3% non-fat dry milk in TBST. Detection was with a ECL Basic Kit. Exposure time: 90s.
Western blot analysis of extracts of Mouse liver, using Anti-Caspase-7 Antibody (A13487) at 1:1,000 dilution. The secondary antibody was Goat Anti-Rabbit IgG H&L Antibody (HRP) at 1:10,000 dilution. Lysates/proteins were present at 25µg per lane. The blocking buffer used was 3% non-fat dry milk in TBST. Detection was with a ECL Basic Kit. Exposure time: 3s.
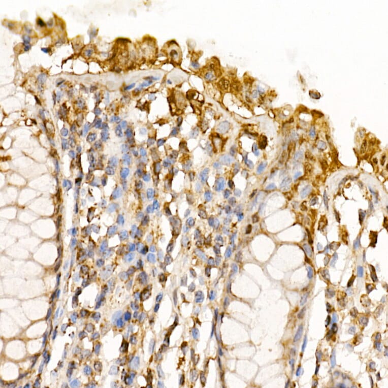
Immunohistochemistry analysis of paraffin-embedded human colon tissue using Anti-Caspase-7 Antibody (A13487) at a dilution of 1:100 (40x lens). Perform high pressure antigen retrieval with 10 mM citrate buffer pH 6.0 before commencing with IHC staining protocol.
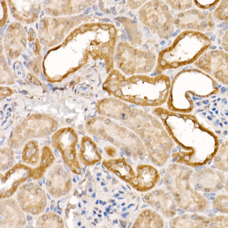
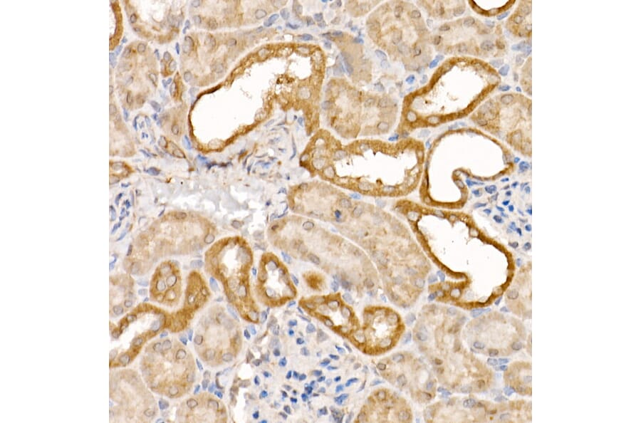
Immunohistochemistry analysis of paraffin-embedded mouse kidney using Anti-Caspase-7 Antibody (A13487) at a dilution of 1:100 (40x lens). Perform high pressure antigen retrieval with 10 mM citrate buffer pH 6.0 before commencing with IHC staining protocol.
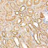
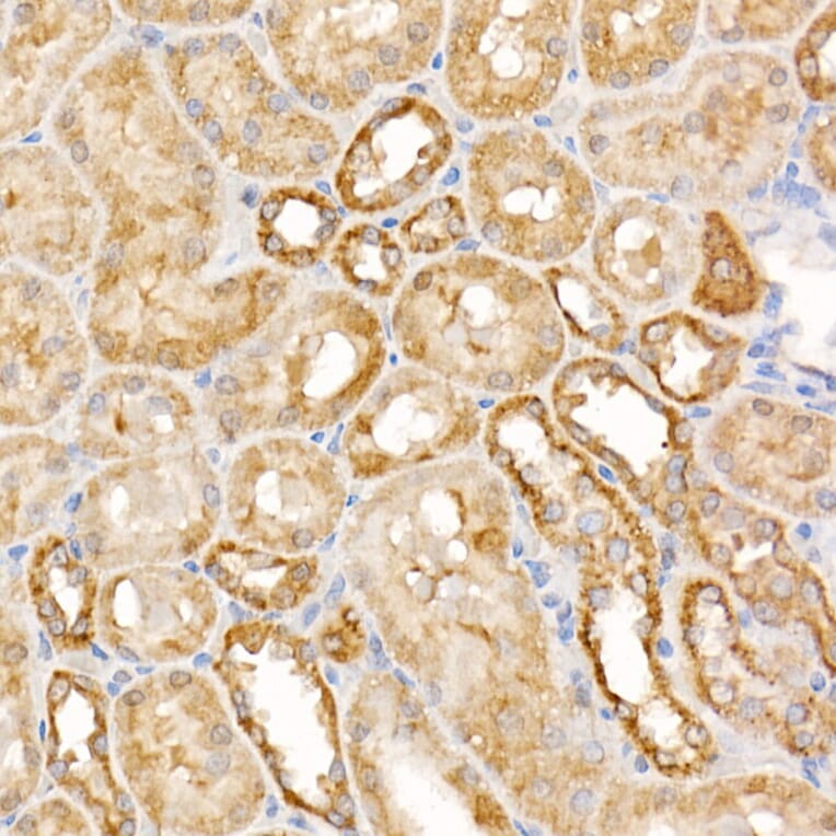
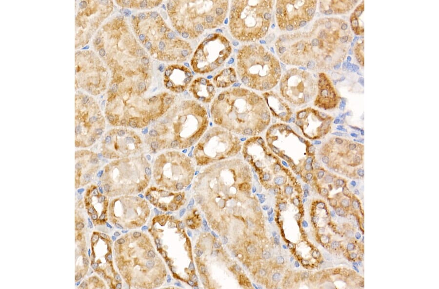
Immunohistochemistry analysis of paraffin-embedded rat kidney using Anti-Caspase-7 Antibody (A13487) at a dilution of 1:100 (40x lens). Perform high pressure antigen retrieval with 10 mM citrate buffer pH 6.0 before commencing with IHC staining protocol.
Immunofluorescence analysis of HeLa cells using Anti-Caspase-7 Antibody (A13487) at a dilution of 1:200 (40x lens). DAPI was used to stain the cell nuclei (blue).
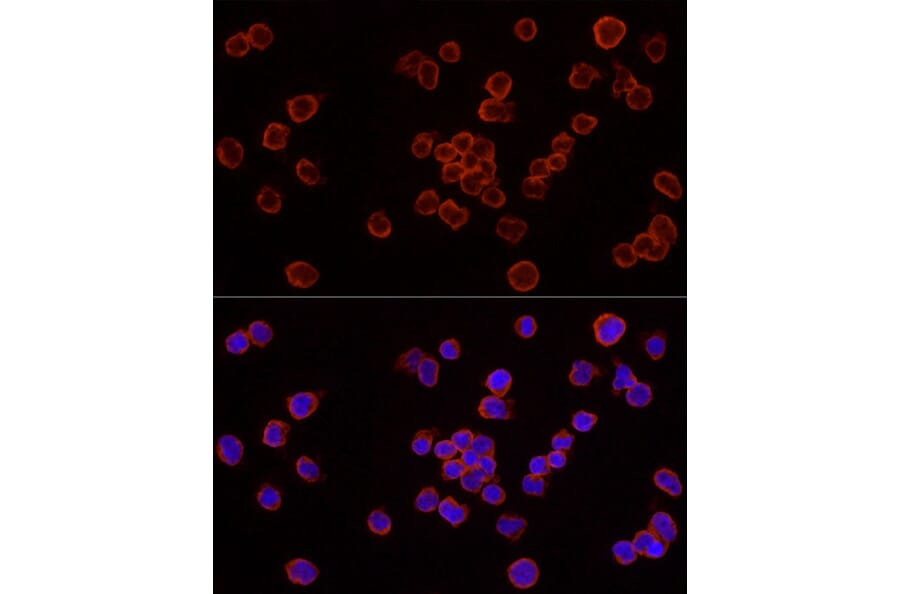
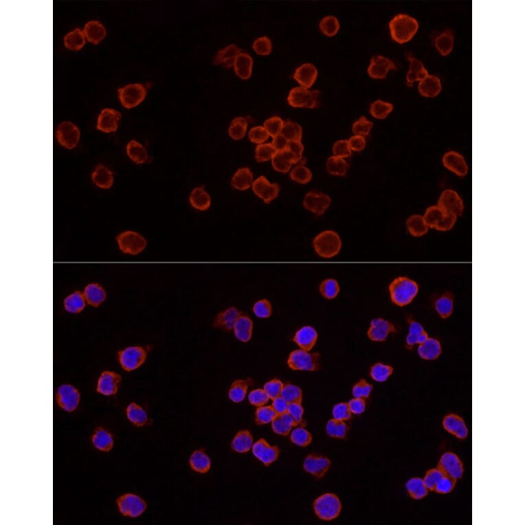
Immunofluorescence analysis of Jurkat cells using Anti-Caspase-7 Antibody (A13487) at a dilution of 1:200 (40x lens). DAPI was used to stain the cell nuclei (blue).
Immunofluorescence analysis of MCF7 cells using Anti-Caspase-7 Antibody (A13487) at a dilution of 1:200 (40x lens). DAPI was used to stain the cell nuclei (blue).
Immunofluorescence analysis of NIH/3T3 cells using Anti-Caspase-7 Antibody (A13487) at a dilution of 1:200 (40x lens). DAPI was used to stain the cell nuclei (blue).
Immunofluorescence analysis of PC-12 cells using Anti-Caspase-7 Antibody (A13487) at a dilution of 1:200 (40x lens). DAPI was used to stain the cell nuclei (blue).