ISO 9001:2015 Certified
Live Customer Support
4.5/5 on Trustpilot
100% Quality Guarantee

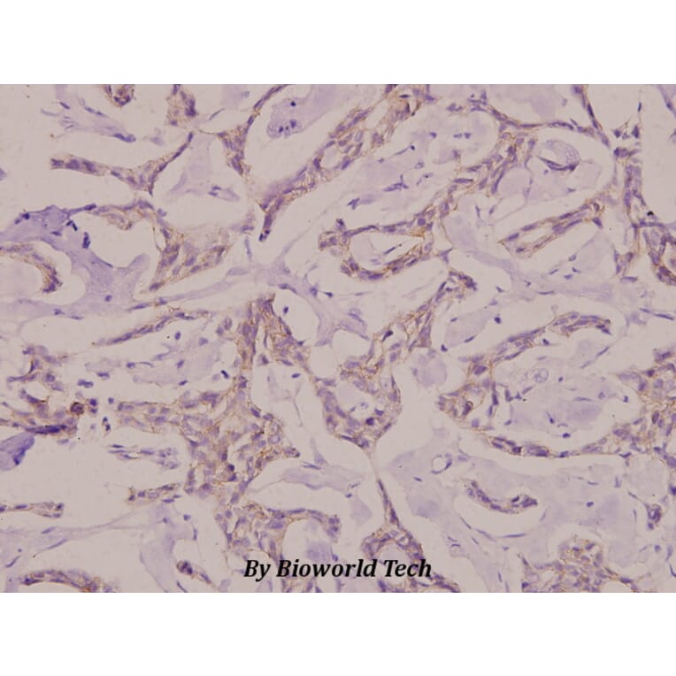
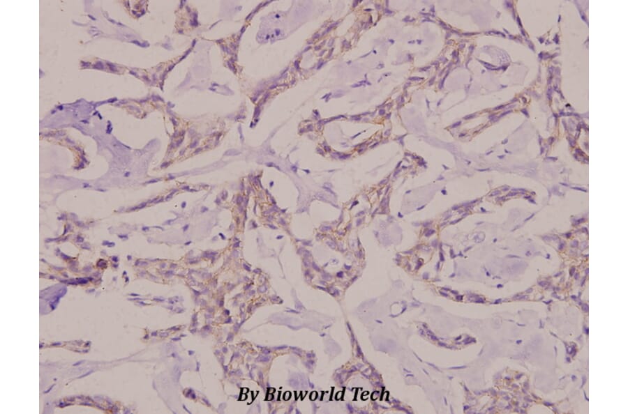
Anti-Caspase-7 p20 (D198) Antibody (A30258)

Rabbit polyclonal antibody to Caspase-7 p20 (D198) for WB and IHC.

Shipping Information

$40
Dispatched from St. Louis, MO.
Lead Time: 7-10 business days.
Name
Anti-Caspase-7 p20 (D198) Antibody
Description
Rabbit polyclonal antibody to Caspase-7 p20 (D198)
Specificity
Caspase-7 p20 (D198) pAb detects endogenous levels of the large fragment of caspase-7 resulting from cleavage at Asp198. The antibody does not cross-react with full length caspase-7 or with other caspases.
Applications
WB, IHC
Reactivity
Human, Mouse, Rat
Immunogen
Synthetic peptide, corresponding to amino acids 180-230 of Human Caspase 7.
Host
Rabbit
Clonality
Polyclonal
Conjugate

Unconjugated

Molecular Weight
~ 20 kDa
Purity
The antibody was affinity-purified from rabbit antiserum by affinity-chromatography using epitope-specific immunogen and the purity is > 95% (by SDS-PAGE).
Product Form
1mg/ml in PBS with 0.1% Sodium Azide, 50% Glycerol.
Disclaimer
This product is for research use only. It is not intended for diagnostic or therapeutic use.
Publishing research using Anti-Caspase-7 p20 (D198) Antibody (A30258)? Please let us know so that we can list the citation on this page.