Primary Antibodies
Secondary Antibodies
Proteins & Peptides
ELISA Kits
About Us
Contact Us
Sign In/Register
0
ISO 9001:2015 Certified
Live Customer Support
4.5/5 on Trustpilot
100% Quality Guarantee
Home
Primary Antibodies
Calsequestrin 2 Antibodies
Anti-CASQ2 Antibody (A45972)
Anti-CASQ2 Antibody (A45972)
Overview
Specifications
Images
Enlarge Image
Enlarge Image
$430
Product Datasheet
Rabbit polyclonal antibody to CASQ2 for IHC.
100% Guarantee
Price Match Guarantee
Product Size:
100µl
Quantity:
1
2
3
4
5
6
7
8
9
10
Add To Cart
Request a Quotation
Custom or Bulk Request
Shipping Information
Freight/Packing Charges:
$40
Dispatched from St. Louis, MO.
Lead Time: 6-9 business days.
Specifications
Name
Anti-CASQ2 Antibody
Description
Rabbit polyclonal antibody to CASQ2
Specificity
The antibody detects endogenous levels of total CASQ2 protein.
Applications
IHC
Reactivity
Human
Immunogen
Fusion protein corresponding to a region derived from internal residues of human calsequestrin 2 (cardiac muscle)
Host
Rabbit
Clonality
Polyclonal
Conjugate
Unconjugated
Purification
Antigen affinity purification.
Concentration
1.4 mg/mL
Formulation
Supplied in PBS, pH 7.3, containing 0.05% sodium azide and 50% glycerol.
Storage
Shipped at 4°C. Upon delivery aliquot and store at -20°C. Avoid freeze/thaw cycles.
Synonyms
Calsequestrin, cardiac muscle isoform, Calsequestrin-2
Suitable Secondaries
Goat Anti-Rabbit IgG H&L Antibody (AP) (A294874)
Goat Anti-Rabbit IgG H&L Antibody (Biotin) (A294795)
Goat Anti-Rabbit IgG H&L Antibody (FITC) (A294887)
Goat Anti-Rabbit IgG H&L Antibody (HRP) (A294888)
See all Anti-Rabbit IgG Secondaries →
Disclaimer
This product is for research use only. It is not intended for diagnostic or therapeutic use.
Scientific Validation Data
Validation Data
(2)
Enlarge Image
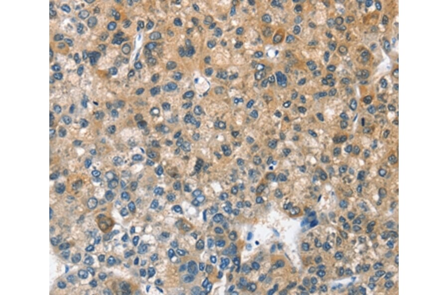
Immunohistochemistry - Anti-CASQ2 Antibody (A45972)
Immunohistochemical analysis of paraffin-embedded Human thyroid cancer tissue using #36301 at dilution 1/30.
Enlarge Image
Immunohistochemistry - Anti-CASQ2 Antibody (A45972)
Immunohistochemical analysis of paraffin-embedded Human liver cancer tissue using #36301 at dilution 1/30.
Publishing research using Anti-CASQ2 Antibody (A45972)? Please
let us know
so that we can list the citation on this page.
Alternative products to Anti-CASQ2 Antibody (A45972)
(2)
A92562
Anti-Calsequestrin 2 Antibody
Rabbit polyclonal antibody to Calsequestrin 2 for WB, IHC and ICC/IF.
A16972
Anti-CASQ2 Antibody
Rabbit polyclonal antibody to CASQ2 for WB and IHC.
(2)
A36365
Anti-Calsequestrin-2 Antibody
Rabbit polyclonal antibody to Calsequestrin-2 for WB and IHC.
A58512
Anti-Calsequestrin 2 Antibody [PAT4E10AT]
Mouse monoclonal [PAT4E10AT] antibody to Calsequestrin 2 for ELISA and WB.
(2)
A92562
Anti-Calsequestrin 2 Antibody
Rabbit polyclonal antibody to Calsequestrin 2 for WB, IHC and ICC/IF.
A16972
Anti-CASQ2 Antibody
Rabbit polyclonal antibody to CASQ2 for WB and IHC.
(2)
A36365
Anti-Calsequestrin-2 Antibody
Rabbit polyclonal antibody to Calsequestrin-2 for WB and IHC.
A58512
Anti-Calsequestrin 2 Antibody [PAT4E10AT]
Mouse monoclonal [PAT4E10AT] antibody to Calsequestrin 2 for ELISA and WB.
Proteins predicted to interact with Calsequestrin 2
Predicted protein interactions based upon String database. Revelancy score correlates with probability of interaction.
RYR2 Antibodies
99.8% Relevancy Score
Aspartate beta Hydroxylase Antibodies
99.8% Relevancy Score
RYR1 Antibodies
95.8% Relevancy Score
Calsequestrin 1 Antibodies
91.5% Relevancy Score
CaV1.2 Antibodies
77.7% Relevancy Score
Phospholamban Antibodies
77.1% Relevancy Score
Kir2.1 Antibodies
75.6% Relevancy Score
Myozenin 2 Antibodies
75.4% Relevancy Score
LDB3 Antibodies
73.1% Relevancy Score
Top