ISO 9001:2015 Certified
Live Customer Support
4.5/5 on Trustpilot
100% Quality Guarantee

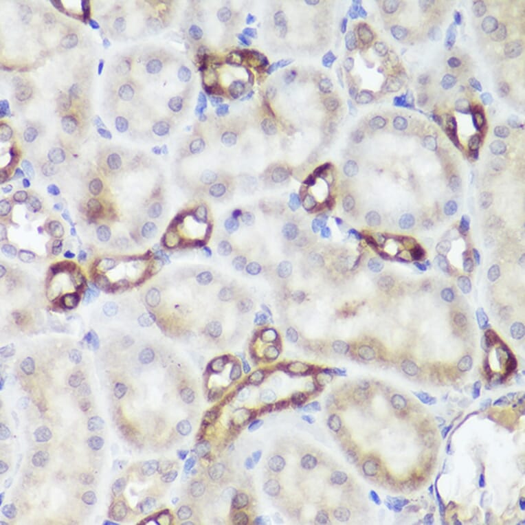
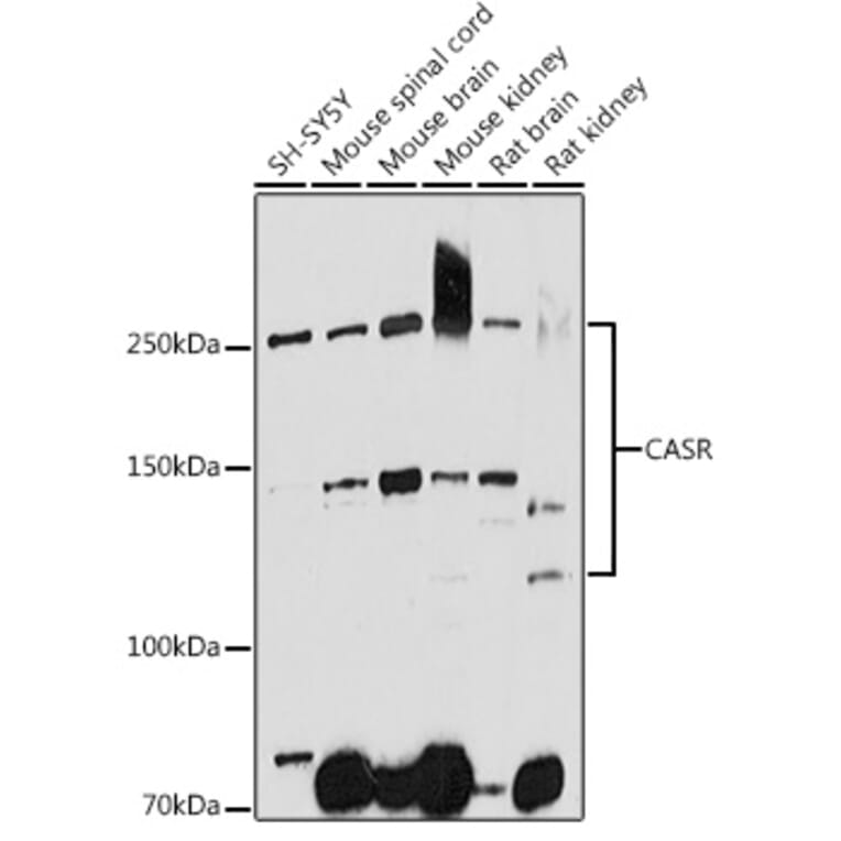
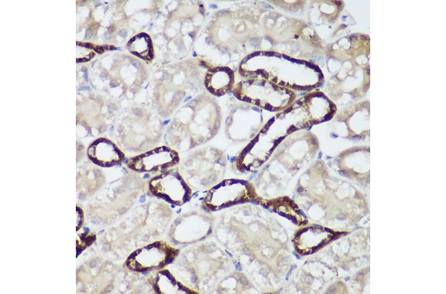
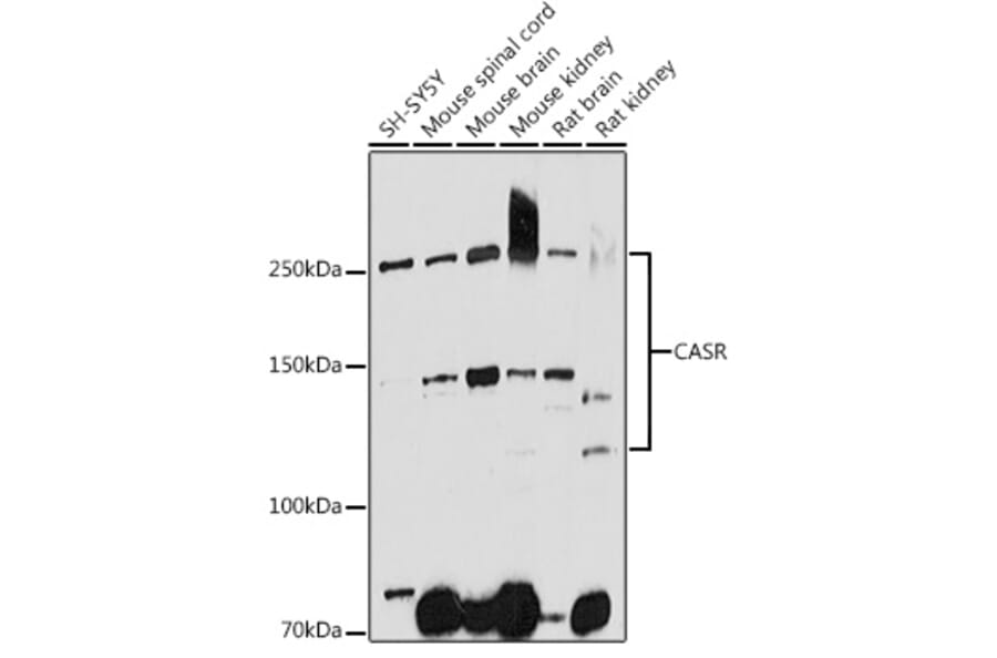
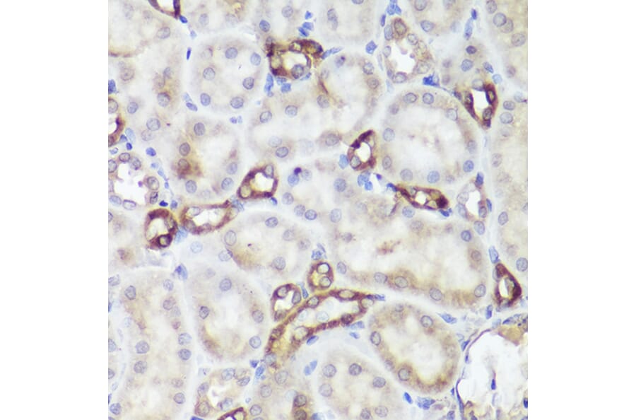
Anti-CaSR Antibody (A11447)

Rabbit polyclonal antibody to CaSR for WB and IHC.

Shipping Information

$40
Dispatched from St. Louis, MO.
Lead Time: 7-10 business days.
Name
Anti-CaSR Antibody
Description
Rabbit polyclonal antibody to CaSR.
Applications
WB, IHC
Dilutions
WB: 1:500-1:1,000, IHC: 1:50-1:200
Reactivity
Human, Mouse, Rat
Immunogen
Recombinant fusion protein containing a sequence corresponding to amino acids 180-536 of human CASR (NP_000379.3).
Sequence
FKSFLRTIPNDEHQATAMADIIEYFRWNWVGTIAADDDYGRPGIEKFREEAEERDICIDFSELISQYSDEEEIQHVVEVIQNSTAKVIVVFSSGPDLEPLIKEIVRRNITGKIWLASEAWASSSLIAMPQYFHVVGGTIGFALKAGQIPGFREFLKKVHPRKSVHNGFAKEFWEETFNCHLQEGAKGPLPVDTFLRGHEESGDRFSNSSTAFRPLCTGDENISSVETPYIDYTHLRISYNVYLAVYSIAHALQDIYTCLPGRGLFTNGSCADIKKVEAWQVLKHLRHLNFTNNMGEQVTFDECGDLVGNYSIINWHLSPEDGSIVFKEVGYYNVYAKKGERLFINEEKILWSGFSRE
Host
Rabbit
Clonality
Polyclonal
Isotype
IgG
Conjugate

Unconjugated

Purification
Affinity purification.
Concentration
Lot Specific
Molecular Weight
130 - 260 kDa
Product Form
Liquid
Formulation
Supplied in Phosphate Buffered Saline, pH 7.3, with 50% Glycerol and 0.05% Proclin 300.
Storage
Shipped at 4°C. Upon delivery aliquot and store at -20°C. Avoid freeze/thaw cycles.
Synonyms
CaR, Extracellular calcium-sensing receptor, GPRC2A, Parathyroid cell calcium-sensing receptor 1, PCAR1
Disclaimer
This product is for research use only. It is not intended for diagnostic or therapeutic use.
Publishing research using Anti-CaSR Antibody (A11447)? Please let us know so that we can list the citation on this page.

Alternative products to Anti-CaSR Antibody (A11447)

Proteins predicted to interact with CaSR

Predicted protein interactions based upon String database. Revelancy score correlates with probability of interaction.
97.7% Relevancy Score
96.8% Relevancy Score
95.7% Relevancy Score
95.1% Relevancy Score
94.5% Relevancy Score
93.2% Relevancy Score
91.5% Relevancy Score