ISO 9001:2015 Certified
Live Customer Support
4.5/5 on Trustpilot
100% Quality Guarantee

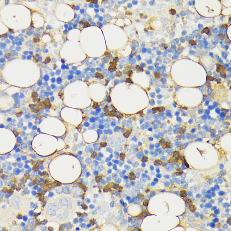
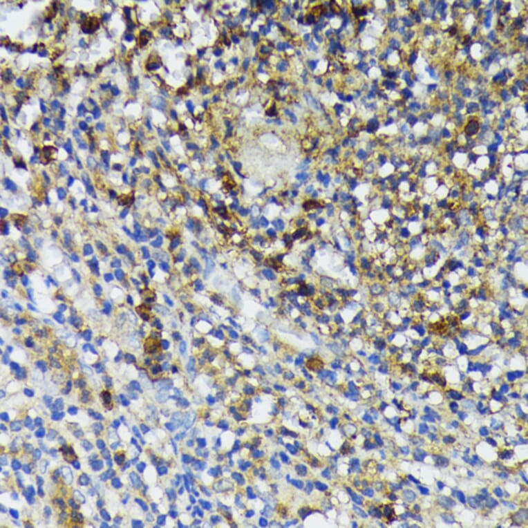
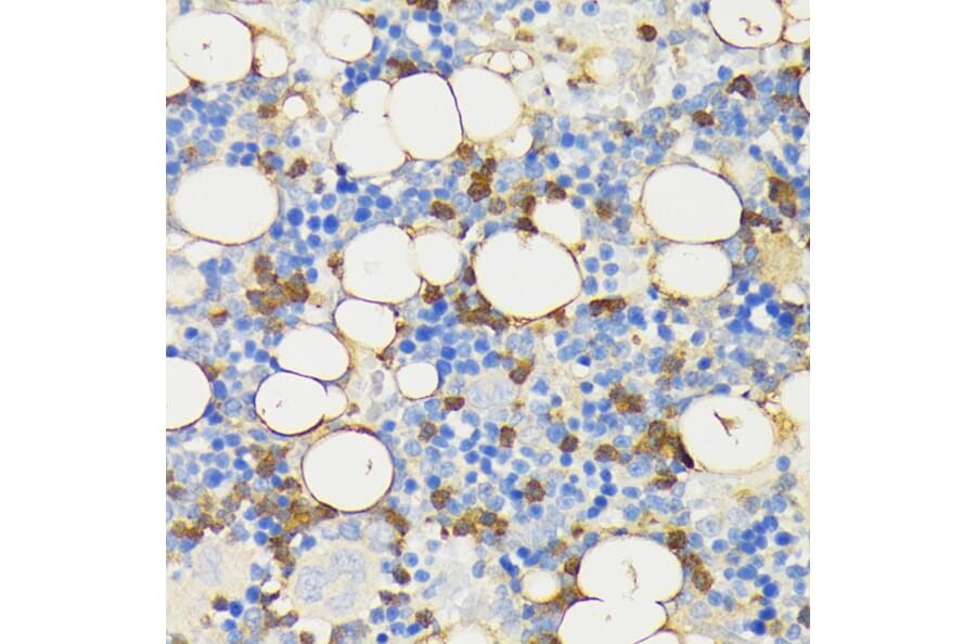
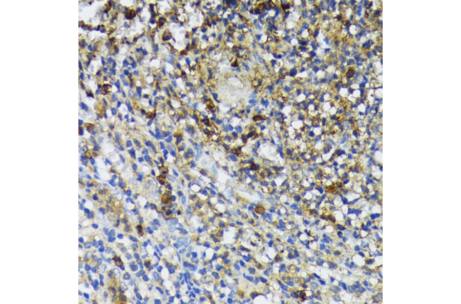
Anti-Cathelicidin / CLP Antibody (A93041)

This product is discontinued

Anti-Cathelicidin / CLP Antibody (A93041) has been discontinued and is no longer available.

View all available products.

Name
Anti-Cathelicidin / CLP Antibody
Description
Rabbit polyclonal antibody to Cathelicidin / CLP.
Applications
WB, IHC, ICC/IF
Dilutions
WB: 1:500-1:2,000, IHC: 1:50-1:200, ICC/IF: 1:50-1:200
Reactivity
Human, Rat
Immunogen
A synthetic peptide corresponding to a sequence within amino acids 100-170 of human CAMP (NP_004336.4).
Sequence
KKDGLVKRCMGTVTLNQARGSFDISCDKDNKRFALLGDFFRKSKEKIGKEFKRIVQRIKDFLRNLVPRTES
Host
Rabbit
Clonality
Polyclonal
Isotype
IgG
Conjugate

Unconjugated

Purification
Affinity purification.
Product Form
Liquid
Formulation
Supplied in Phosphate Buffered Saline, pH 7.3, with 50% Glycerol and 0.01% Thiomersal.
Storage
Shipped at 4°C. Upon delivery aliquot and store at -20°C. Avoid freeze / thaw cycles.
Disclaimer
This product is for research use only. It is not intended for diagnostic or therapeutic use.