ISO 9001:2015 Certified
Live Customer Support
4.5/5 on Trustpilot
100% Quality Guarantee

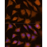
Anti-Cathepsin C Antibody (A16179)

Rabbit polyclonal antibody to Cathepsin C for ICC/IF.

Shipping Information

$40
Dispatched from St. Louis, MO.
Lead Time: 7-10 business days.
Name
Anti-Cathepsin C Antibody
Description
Rabbit polyclonal antibody to Cathepsin C.
Applications
ICC/IF
Dilutions
ICC/IF: 1:50-1:200
Reactivity
Mouse
Immunogen
Recombinant fusion protein containing a sequence corresponding to amino acids 25-134 of human CTSC (NP_001805.3).
Sequence
DTPANCTYLDLLGTWVFQVGSSGSQRDVNCSVMGPQEKKVVVYLQKLDTAYDDLGNSGHFTIIYNQGFEIVLNDYKWFAFFKYKEEGSKVTTYCNETMTGWVHDVLGRNW
Host
Rabbit
Clonality
Polyclonal
Isotype
IgG
Conjugate

Unconjugated

Purification
Affinity purification.
Concentration
Lot Specific
Molecular Weight
64 kDa
Product Form
Liquid
Formulation
Supplied in Phosphate Buffered Saline, pH 7.3, with 50% Glycerol and 0.02% Sodium Azide.
Storage
Shipped at 4°C. Upon delivery aliquot and store at -20°C. Avoid freeze/thaw cycles.
Synonyms
Cathepsin J, CPPI, CTSC, Dipeptidyl peptidase 1, Dipeptidyl peptidase I, Dipeptidyl transferase, DPP-I, DPPI
Disclaimer
This product is for research use only. It is not intended for diagnostic or therapeutic use.
Publishing research using Anti-Cathepsin C Antibody (A16179)? Please let us know so that we can list the citation on this page.

Alternative products to Anti-Cathepsin C Antibody (A16179)

Proteins predicted to interact with DPP1

Predicted protein interactions based upon String database. Revelancy score correlates with probability of interaction.
91.4% Relevancy Score
91% Relevancy Score
90.8% Relevancy Score
85.4% Relevancy Score
81.1% Relevancy Score
76.3% Relevancy Score
71.8% Relevancy Score
71.3% Relevancy Score
70.9% Relevancy Score