ISO 9001:2015 Certified
Live Customer Support
4.5/5 on Trustpilot
100% Quality Guarantee

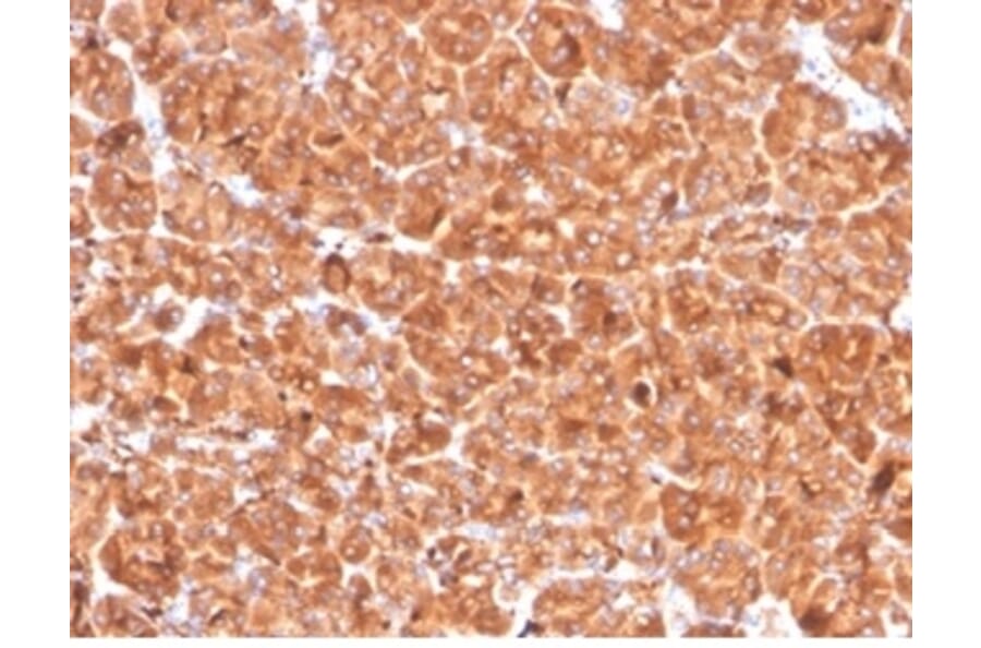
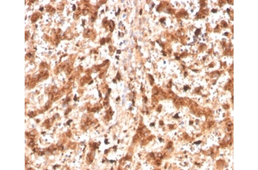
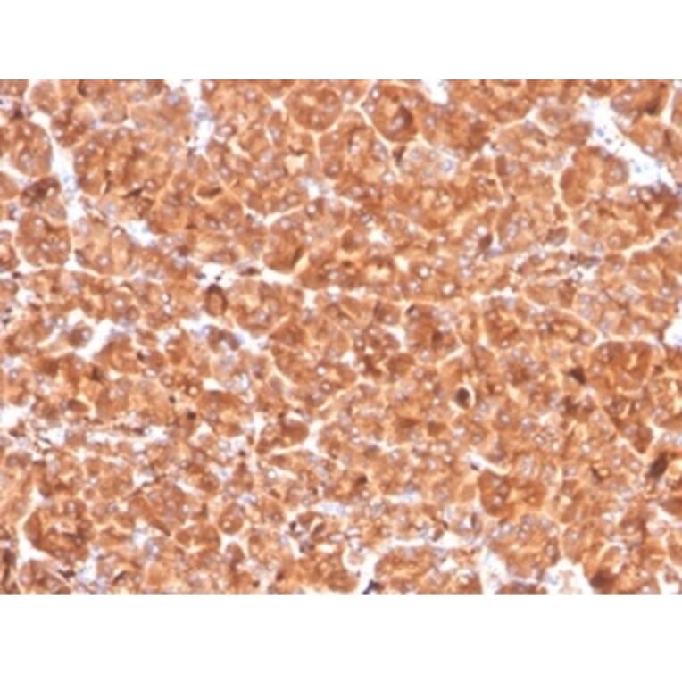
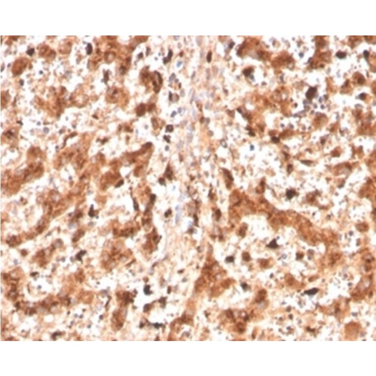
Anti-Cathepsin D Antibody [CTSD/4497] - BSA and Azide free (A278157)

Mouse monoclonal [CTSD/4497] antibody to Cathepsin D for WB and IHC-P.

Alternative Formats and ConjugatesAlternative Formats

Shipping Information

$40
Dispatched from St. Louis, MO.
Lead Time: 5-8 business days.
Name
Anti-Cathepsin D Antibody [CTSD/4497] - BSA and Azide free
Description
Mouse monoclonal [CTSD/4497] antibody to Cathepsin D.
Specificity
Cathepsin D is a ubiquitously expressed lysosomal aspartyl protease involved in the normal degradation of proteins. It is synthesized as an inactive 43kDa preprocathepsin D that is cleaved and glycosylated to form a 46kDa procathepsin D and then further cleaved to produce 28kDa and 15kDa subunits (heavy and light chains, respectively). Cathepsin D exhibits pepsin-like activity and plays a role in protein turnover and in the proteolytic activation of hormones and growth factors. Mutations in this gene play a causal role in neuronal ceroid lipofuscinosis-10 and may be involved in the pathogenesis of several other diseases, including breast cancer and possibly Alzheimer's disease.
Applications
WB, IHC-P
Dilutions
WB: 1-2 µg/ml, IHC-P: 1-2 µg/ml
Reactivity
Human
Immunogen
Purified His-tagged Cathepsin D protein.
Host
Mouse
Clonality
Monoclonal
Clone ID
CTSD/4497
Isotype
IgG1
Light Chains
kappa
Conjugate

Unconjugated

Purification
Protein A/G chromatography.
Concentration
1 mg/ml
Molecular Weight
48 kDa (Procathepsin D) / 43 kDa (preprocathepsin D) / 34 kDa (Cathepsin D) / 28 kDa (heavy chain) / 15 kDa (light chain)
Product Form
Liquid
Formulation
Supplied in 10mM Phosphate Buffered Saline; without Sodium Azide and carrier free.
Storage
Shipped at 4°C. Upon delivery aliquot and store at -20°C. Avoid freeze / thaw cycles.
General Notes
This monoclonal antibody is also available in a different formulation with BSA and Sodium Azide - Anti-Cathepsin D Antibody [CTSD/4497] (A277569).
Synonyms
CPSD, CTSD
Disclaimer
This product is for research use only. It is not intended for diagnostic or therapeutic use.
Publishing research using Anti-Cathepsin D Antibody [CTSD/4497] - BSA and Azide free (A278157)? Please let us know so that we can list the citation on this page.

Alternative products to Anti-Cathepsin D Antibody [CTSD/4497] - BSA and Azide free (A278157)

Proteins predicted to interact with Cathepsin D

Predicted protein interactions based upon String database. Revelancy score correlates with probability of interaction.
99.9% Relevancy Score
97.7% Relevancy Score
94.9% Relevancy Score
93.4% Relevancy Score
91.7% Relevancy Score
90.9% Relevancy Score
90% Relevancy Score
89.7% Relevancy Score
86.6% Relevancy Score