ISO 9001:2015 Certified
Live Customer Support
4.5/5 on Trustpilot
100% Quality Guarantee

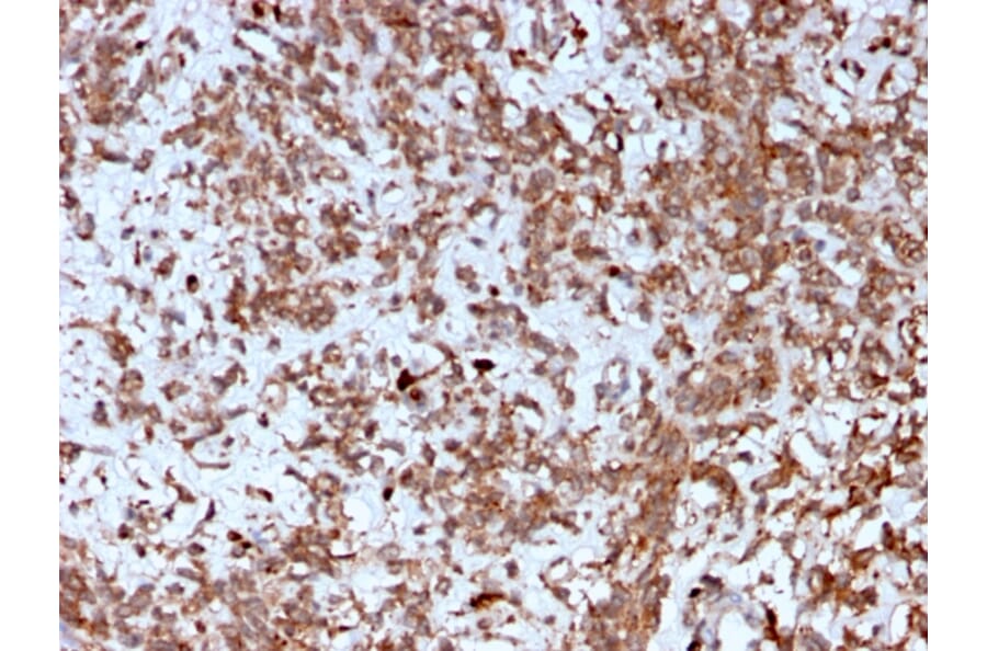
Anti-Cathepsin K Antibody [CTSK/2792] - BSA and Azide free (A251492)

Mouse monoclonal [CTSK/2792] antibody to Cathepsin K for IHC-P.

Alternative Formats and ConjugatesAlternative Formats

Shipping Information

$40
Dispatched from St. Louis, MO.
Lead Time: 5-8 business days.
Name
Anti-Cathepsin K Antibody [CTSK/2792] - BSA and Azide free
Description
Mouse monoclonal [CTSK/2792] antibody to Cathepsin K.
Specificity
The protein encoded by this gene is a lysosomal cysteine proteinase involved in bone remodeling and resorption. This protein, which is a member of the peptidase C1 protein family, is predominantly expressed in osteoclasts. However, the encoded protein is also expressed in a significant fraction of human breast cancers, where it could contribute to tumor invasiveness. Mutations in this gene are the cause of pycnodysostosis, an autosomal recessive disease characterized by osteosclerosis and short stature.
Applications
IHC-P
Dilutions
IHC-P: 1-2 µg/ml
Reactivity
Human
Immunogen
Recombinant fragment, around amino acids 163-274, of human Cathepsin K protein. The exact sequence is proprietary.
Host
Mouse
Clonality
Monoclonal
Clone ID
CTSK/2792
Isotype
IgG1
Light Chains
kappa
Conjugate

Unconjugated

Purification
Protein A/G chromatography.
Concentration
1 mg/ml
Molecular Weight
39 kDa
Product Form
Liquid
Formulation
Supplied in 10mM Phosphate Buffered Saline; without Sodium Azide and carrier free.
Storage
Shipped at 4°C. Upon delivery aliquot and store at -20°C. Avoid freeze / thaw cycles.
General Notes
This monoclonal antibody is also available in a different formulation with BSA and Sodium Azide - Anti-Cathepsin K Antibody [CTSK/2792] (A248310).
Synonyms
Cathepsin O, Cathepsin O2, Cathepsin X, CTSK, CTSO, CTSO2
Disclaimer
This product is for research use only. It is not intended for diagnostic or therapeutic use.
Publishing research using Anti-Cathepsin K Antibody [CTSK/2792] - BSA and Azide free (A251492)? Please let us know so that we can list the citation on this page.

Alternative products to Anti-Cathepsin K Antibody [CTSK/2792] - BSA and Azide free (A251492)

Proteins predicted to interact with Cathepsin K

Predicted protein interactions based upon String database. Revelancy score correlates with probability of interaction.
92.8% Relevancy Score
92.2% Relevancy Score
91.8% Relevancy Score
91.7% Relevancy Score
91.2% Relevancy Score
90.8% Relevancy Score
90.4% Relevancy Score
89.6% Relevancy Score
88.6% Relevancy Score