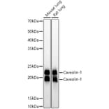
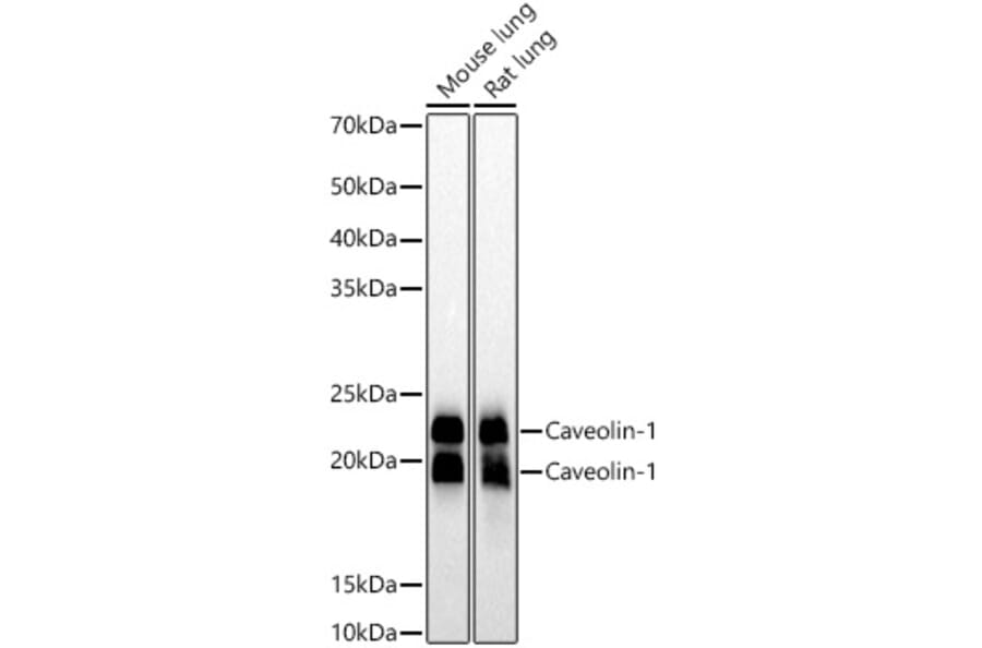
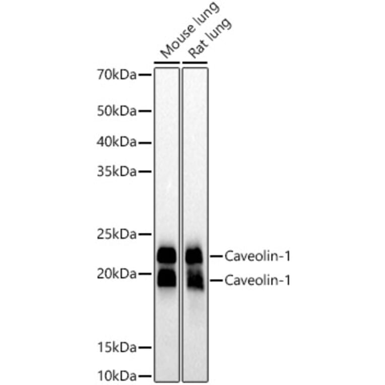
Western Blot - Anti-Caveolin 1 Antibody [ARC50848] (A307768)
Western blot analysis of various lysates, using Anti-Caveolin 1 Antibody [ARC50848] (A307768) at 1:10,000 dilution. The secondary antibody was Goat Anti-Rabbit IgG H&L Antibody (HRP) at 1:10,000 dilution. Lysates/proteins were present at 25µg per lane. The blocking buffer used was 3% non-fat dry milk in TBST. Detection was with a ECL Basic Kit. Exposure time: 10s.
Western Blot - Anti-Caveolin 1 Antibody [ARC50848] (A307768)
Western blot analysis of HeLa, using Anti-Caveolin 1 Antibody [ARC50848] (A307768) at 1:10,000 dilution. The secondary antibody was Goat Anti-Rabbit IgG H&L Antibody (HRP) at 1:10,000 dilution. Lysates/proteins were present at 25µg per lane. The blocking buffer used was 3% non-fat dry milk in TBST. Detection was with a ECL Basic Kit. Exposure time: 90s.
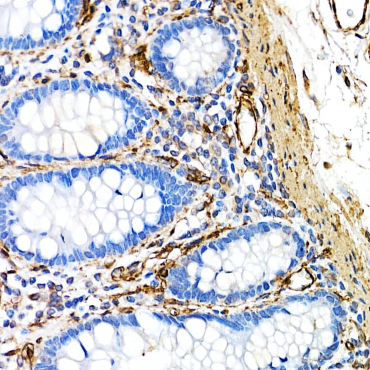
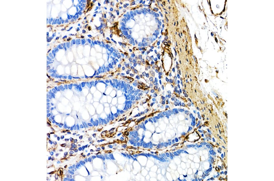
Immunohistochemistry analysis of paraffin-embedded human colon tissue using Anti-Caveolin 1 Antibody [ARC50848] (A307768) at a dilution of 1:100 (40x lens). Perform high pressure antigen retrieval with 10 mM citrate buffer pH 6.0 before commencing with IHC staining protocol.
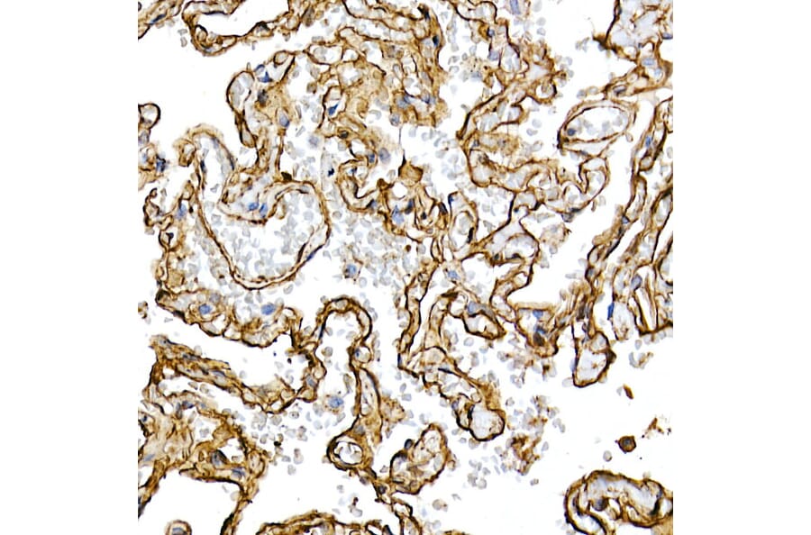
Immunohistochemistry analysis of paraffin-embedded human lung using Anti-Caveolin 1 Antibody [ARC50848] (A307768) at a dilution of 1:100 (40x lens). Perform high pressure antigen retrieval with 10 mM citrate buffer pH 6.0 before commencing with IHC staining protocol.
Immunohistochemistry analysis of paraffin-embedded human lung adenocarcinoma (negative control sample) using Anti-Caveolin 1 Antibody [ARC50848] (A307768) at a dilution of 1:100 (40x lens). Perform high pressure antigen retrieval with 10 mM citrate buffer pH 6.0 before commencing with IHC staining protocol.