ISO 9001:2015 Certified
Live Customer Support
4.5/5 on Trustpilot
100% Quality Guarantee

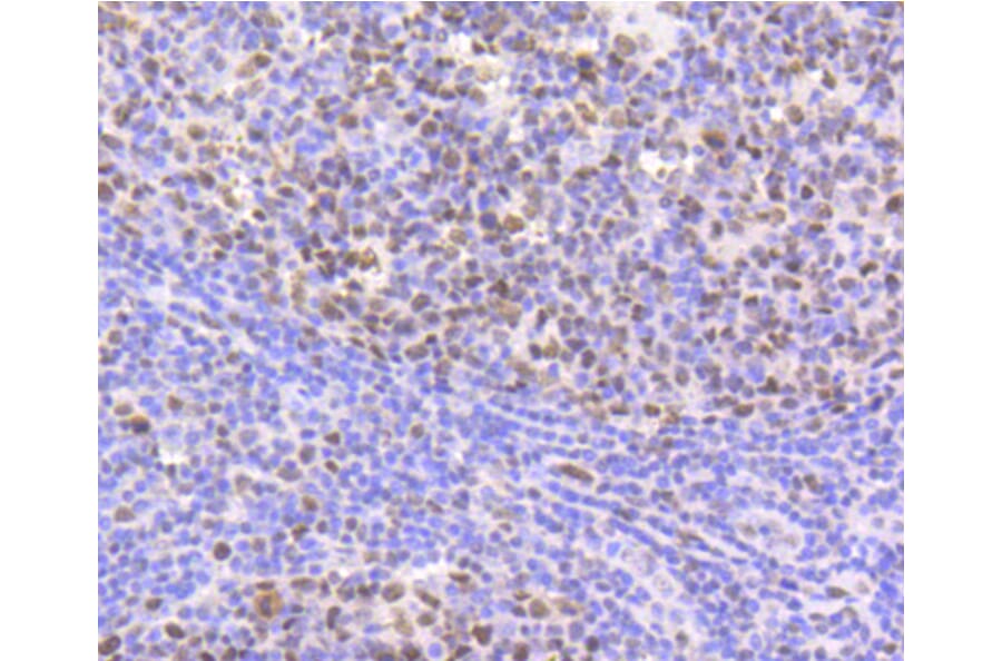
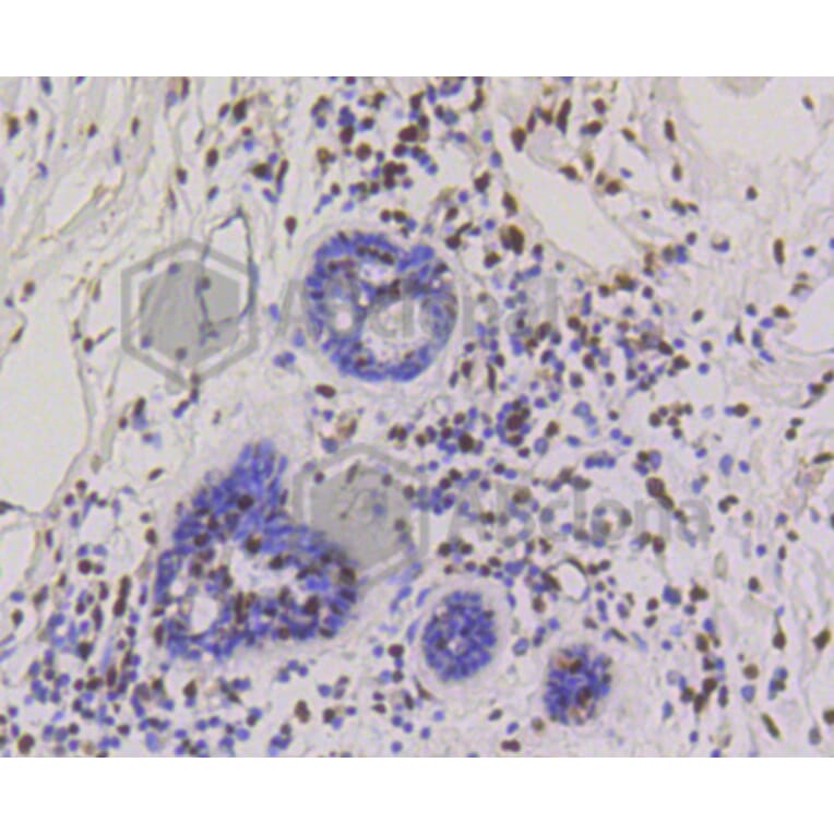
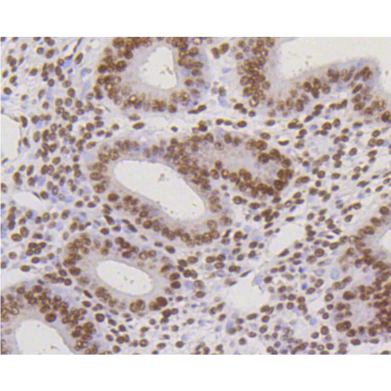
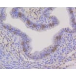
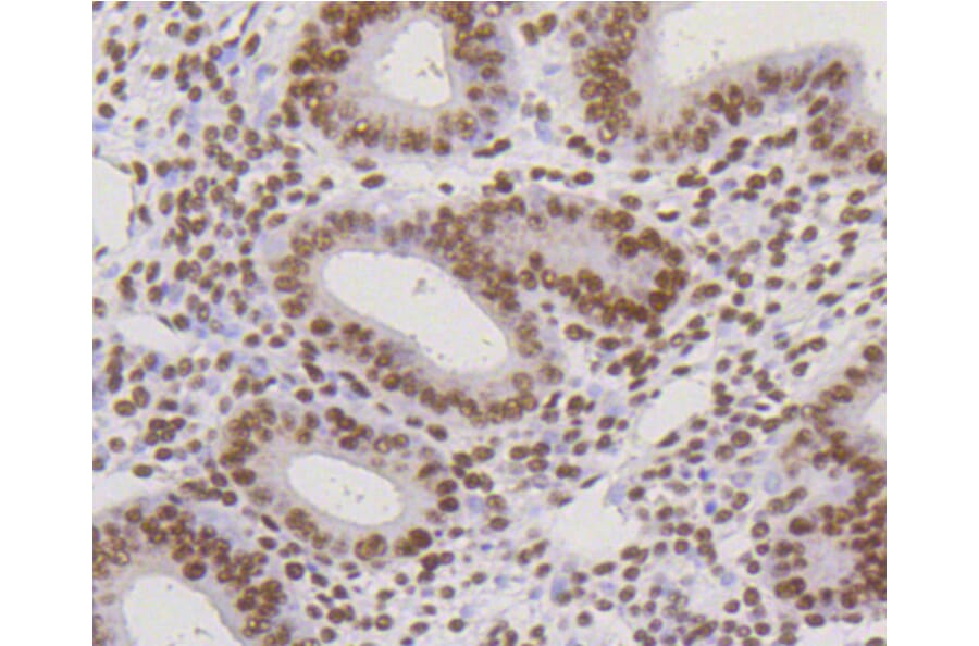
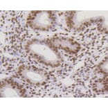
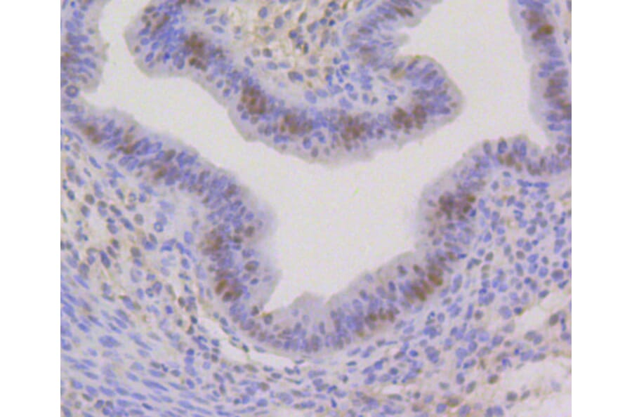
Anti-CBX5 Antibody [Assigned #A11365] (A13297)

This product is discontinued

Anti-CBX5 Antibody [Assigned #A11365] (A13297) has been discontinued and is no longer available.

View all CBX5 Antibodies.

Name
Anti-CBX5 Antibody [Assigned #A11365]
Description
Rabbit monoclonal (#A11365) antibody to CBX5.
Applications
WB, IHC, IF, IP
Dilutions
WB: 1:500-1:2000, IHC: 1:50-1:200, IF: 1:50-1:200, IP: 1:20-1:50
Reactivity
Human, Mouse, Rat
Immunogen
Recombinant protein of human CBX5.
Host
Rabbit
Clonality
Monoclonal
Clone ID
Assigned #A11365
Isotype
IgG
Conjugate

Unconjugated

Purification
Affinity purification.
Molecular Weight
22kDa
Formulation
Supplied in Phosphate Buffered Saline, pH 7.30, with 0.02% Sodium Azide and 50% Glycerol.
Storage
Shipped at 4°C. Upon delivery aliquot and store at -20°C. Avoid freeze / thaw cycles.
Synonyms
Antigen p25, Chromobox protein homolog 5, Heterochromatin protein 1 homolog alpha, HP1A
Disclaimer
This product is for research use only. It is not intended for diagnostic or therapeutic use.

Alternative products to Anti-CBX5 Antibody [Assigned #A11365] (A13297)

Proteins predicted to interact with HP1 alpha

Predicted protein interactions based upon String database. Revelancy score correlates with probability of interaction.
99.7% Relevancy Score
98.1% Relevancy Score
97.9% Relevancy Score
97.5% Relevancy Score
94.9% Relevancy Score
93.7% Relevancy Score
93.2% Relevancy Score
93.1% Relevancy Score
92.8% Relevancy Score