Primary Antibodies
Secondary Antibodies
Proteins & Peptides
ELISA Kits
About Us
Contact Us
Sign In/Register
0
ISO 9001:2015 Certified
Live Customer Support
4.5/5 on Trustpilot
100% Quality Guarantee
Home
Primary Antibodies
Macrophage Inflammatory Protein 5 Antibodies
Anti-CCL15 Antibody (A46052)
Anti-CCL15 Antibody (A46052)
Overview
Specifications
Images
Enlarge Image
$405
Rabbit polyclonal antibody to CCL15 for IHC.
100% Guarantee
Price Match Guarantee
Product Size:
100µl
Quantity:
1
2
3
4
5
6
7
8
9
10
Add To Cart
Request a Quotation
Custom or Bulk Request
Shipping Information
Freight/Packing Charges:
$40
Dispatched from St. Louis, MO.
Lead Time: 6-9 business days.
Specifications
Name
Anti-CCL15 Antibody
Description
Rabbit polyclonal antibody to CCL15
Specificity
The antibody detects endogenous levels of total CCL15 protein.
Applications
IHC
Reactivity
Human
Immunogen
Synthetic peptide corresponding to residues near the C terminal of human Chemokine (C-C motif) ligand 15
Host
Rabbit
Clonality
Polyclonal
Conjugate
Unconjugated
Purification
Antigen affinity purification.
Concentration
0.6 mg/ml
Formulation
Rabbit IgG in pH7.3 PBS, 0.05% NaN3, 50% Glycerol.
Storage
Store at -20˚C
Synonyms
C-C motif chemokine 15, Chemokine CC-2, HCC-2, Leukotactin-1, LKN-1, MIP-1 delta, MIP-5, MIP5, Mrp-2b, NCC3, SCYA15
Suitable Secondaries
Goat Anti-Rabbit IgG H&L Antibody (AP) (A294874)
Goat Anti-Rabbit IgG H&L Antibody (Biotin) (A294795)
Goat Anti-Rabbit IgG H&L Antibody (FITC) (A294887)
Goat Anti-Rabbit IgG H&L Antibody (HRP) (A294888)
See all Anti-Rabbit IgG Secondaries →
Disclaimer
This product is for research use only. It is not intended for diagnostic or therapeutic use.
Scientific Validation Data
Validation Data
(1)
Enlarge Image
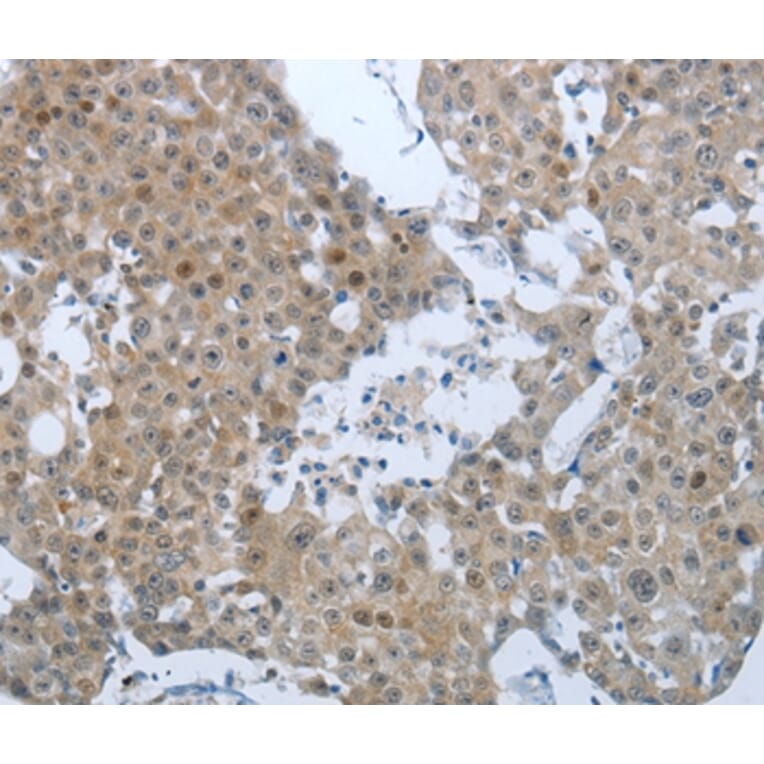
Immunohistochemistry - Anti-CCL15 Antibody (A46052)
Immunohistochemical analysis of paraffin-embedded Human breast cancer tissue using #36782 at dilution 1/25.
Publishing research using Anti-CCL15 Antibody (A46052)? Please
let us know
so that we can list the citation on this page.
Alternative products to Anti-CCL15 Antibody (A46052)
A82036
Anti-Chemokine CC-2 Antibody
Rabbit polyclonal antibody to Chemokine CC-2 for ELISA, RIA and WB.
A82035
Anti-Chemokine CC-2 Antibody
Rabbit polyclonal antibody to Chemokine CC-2 for ELISA and RIA.
A283737
Anti-Macrophage Inflammatory Protein 5 Antibody - BSA and Azide free
Goat polyclonal antibody to Macrophage Inflammatory Protein 5 for WB and ELISA.
A82034
Anti-Chemokine CC-2 Antibody
Rabbit polyclonal antibody to Chemokine CC-2 for ELISA.
A82253
Anti-Chemokine CC-2 Antibody
Chicken polyclonal antibody to Chemokine CC-2
A82036
Anti-Chemokine CC-2 Antibody
Rabbit polyclonal antibody to Chemokine CC-2 for ELISA, RIA and WB.
A82035
Anti-Chemokine CC-2 Antibody
Rabbit polyclonal antibody to Chemokine CC-2 for ELISA and RIA.
A283737
Anti-Macrophage Inflammatory Protein 5 Antibody - BSA and Azide free
Goat polyclonal antibody to Macrophage Inflammatory Protein 5 for WB and ELISA.
A82034
Anti-Chemokine CC-2 Antibody
Rabbit polyclonal antibody to Chemokine CC-2 for ELISA.
A82253
Anti-Chemokine CC-2 Antibody
Chicken polyclonal antibody to Chemokine CC-2
See all CCL15 Antibodies
Proteins predicted to interact with Macrophage Inflammatory Protein 5
Predicted protein interactions based upon String database. Revelancy score correlates with probability of interaction.
MCP 1 Antibodies
99.9% Relevancy Score
CCR1 Antibodies
99.9% Relevancy Score
CCR3 Antibodies
99.7% Relevancy Score
CCR2 Antibodies
87.7% Relevancy Score
CCR5 Antibodies
86.9% Relevancy Score
CXCR4 Antibodies
84.3% Relevancy Score
CXCR5 Antibodies
82% Relevancy Score
CXCR6 Antibodies
81.3% Relevancy Score
GNG2 Antibodies
80.4% Relevancy Score
Top