Primary Antibodies
Secondary Antibodies
Proteins & Peptides
ELISA Kits
About Us
Contact Us
Sign In/Register
0
ISO 9001:2015 Certified
Live Customer Support
4.5/5 on Trustpilot
100% Quality Guarantee
Home
Primary Antibodies
Cyclin F Antibodies
Anti-CCNF Antibody (A38663)
Anti-CCNF Antibody (A38663)
Overview
Specifications
Images
Enlarge Image
Enlarge Image
$430
Product Datasheet
Rabbit polyclonal antibody to CCNF for WB and IHC.
100% Guarantee
Price Match Guarantee
Product Size:
100µl
Quantity:
1
2
3
4
5
6
7
8
9
10
Add To Cart
Request a Quotation
Custom or Bulk Request
Shipping Information
Freight/Packing Charges:
$40
Dispatched from St. Louis, MO.
Lead Time: 6-9 business days.
Specifications
Name
Anti-CCNF Antibody
Description
Rabbit polyclonal antibody to CCNF
Specificity
The antibody detects endogenous levels of total CCNF protein.
Applications
WB
,
IHC
Reactivity
Human
Immunogen
Fusion protein corresponding to residues near the C terminal of human cyclin F
Host
Rabbit
Clonality
Polyclonal
Conjugate
Unconjugated
Purification
Antigen affinity purification.
Concentration
1.1 mg/mL
Formulation
Supplied in PBS, pH 7.3, containing 0.05% sodium azide and 50% glycerol.
Storage
Shipped at 4°C. Upon delivery aliquot and store at -20°C. Avoid freeze/thaw cycles.
Synonyms
Cyclin-F, F-box only protein 1, FBX1, FBXO1
Suitable Secondaries
Goat Anti-Rabbit IgG H&L Antibody (AP) (A294874)
Goat Anti-Rabbit IgG H&L Antibody (Biotin) (A294795)
Goat Anti-Rabbit IgG H&L Antibody (FITC) (A294887)
Goat Anti-Rabbit IgG H&L Antibody (HRP) (A294888)
See all Anti-Rabbit IgG Secondaries →
Disclaimer
This product is for research use only. It is not intended for diagnostic or therapeutic use.
Scientific Validation Data
Validation Data
(2)
Enlarge Image
Anti-CCNF Antibody (A38663)
Gel: 10+12% SDS-PAGE Lysates (from left to right): Human lymphoma tissue Amount of lysate: 40ug per lane Primary antibody: 1/550 dilution Secondary antibody dilution: 1/8000 Exposure time: 10 seconds
Enlarge Image
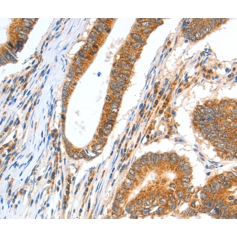
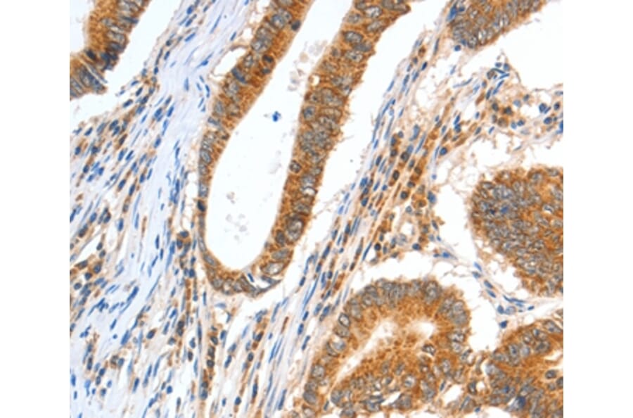
Immunohistochemistry - Anti-CCNF Antibody (A38663)
Immunohistochemical analysis of paraffin-embedded Human colon cancer tissue using #35703 at dilution 1/30.
Publishing research using Anti-CCNF Antibody (A38663)? Please
let us know
so that we can list the citation on this page.
Alternative products to Anti-CCNF Antibody (A38663)
(3)
A98718
Anti-Cyclin F Antibody
Rabbit polyclonal antibody to Cyclin F for WB, IHC, IF and ELISA.
(3)
A36688
Anti-Cyclin F Antibody
Rabbit polyclonal antibody to Cyclin F for WB and IHC.
(3)
A98718
Anti-Cyclin F Antibody
Rabbit polyclonal antibody to Cyclin F for WB, IHC, IF and ELISA.
(3)
A36688
Anti-Cyclin F Antibody
Rabbit polyclonal antibody to Cyclin F for WB and IHC.
Proteins predicted to interact with Cyclin F
Predicted protein interactions based upon String database. Revelancy score correlates with probability of interaction.
SKP1 Antibodies
99.9% Relevancy Score
CUL1 Antibodies
98.6% Relevancy Score
CP110 Antibodies
98.4% Relevancy Score
SKP2 Antibodies
94.6% Relevancy Score
beta TRCP Antibodies
92.1% Relevancy Score
PLK1 Antibodies
91.8% Relevancy Score
RBX1 Antibodies
91.7% Relevancy Score
CDK1 Antibodies
91.1% Relevancy Score
CDC20 Antibodies
91% Relevancy Score
Top