Primary Antibodies
Secondary Antibodies
Proteins & Peptides
ELISA Kits
About Us
Contact Us
Sign In/Register
0
ISO 9001:2015 Certified
Live Customer Support
4.5/5 on Trustpilot
100% Quality Guarantee
Home
Primary Antibodies
Cyclin G Antibodies
Anti-CCNG1 Antibody (A39735)
Anti-CCNG1 Antibody (A39735)
Overview
Specifications
Images
Enlarge Image
Enlarge Image
$415
Rabbit polyclonal antibody to CCNG1 for WB and IF.
100% Guarantee
Price Match Guarantee
Product Size:
50µl
100µl
Quantity:
1
2
3
4
5
6
7
8
9
10
Add To Cart
Request a Quotation
Custom or Bulk Request
Shipping Information
Freight/Packing Charges:
$40
Dispatched from St. Louis, MO.
Lead Time: 6-9 business days.
Specifications
Name
Anti-CCNG1 Antibody
Description
Rabbit polyclonal antibody to CCNG1
Specificity
The antibody detects endogenous level of total CCNG1 antibody.
Applications
WB
,
IF
Dilutions
Western blotting: 1:500 - 1:2000 Immunofluorescence: 1:50 - 1:100
Reactivity
Human, Mouse, Rat
Immunogen
Recombinant protein of human CCNG1.
Host
Rabbit
Clonality
Polyclonal
Conjugate
Unconjugated
Purification
Antibodies were purified by affinity purification using immunogen.
Concentration
1 mg/ml
Formulation
Supplied at 1.0mg / mL in phosphate buffered saline (without Mg2+ and Ca2+), pH 7.4, 150mM NaCl, 0.02% sodium azide and 50% glycerol.
Storage
Store at -20˚C
Synonyms
CCNG, CYCG1, Cyclin-G, Cyclin-G1
Suitable Secondaries
Goat Anti-Rabbit IgG H&L Antibody (AP) (A294874)
Goat Anti-Rabbit IgG H&L Antibody (Biotin) (A294795)
Goat Anti-Rabbit IgG H&L Antibody (FITC) (A294887)
Goat Anti-Rabbit IgG H&L Antibody (HRP) (A294888)
See all Anti-Rabbit IgG Secondaries →
Disclaimer
This product is for research use only. It is not intended for diagnostic or therapeutic use.
Scientific Validation Data
Validation Data
(2)
Enlarge Image
Immunofluorescence - Anti-CCNG1 Antibody (A39735)
Immunofluorescence analysis of HeLa cell using CCNG1 antibody.
Enlarge Image
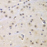
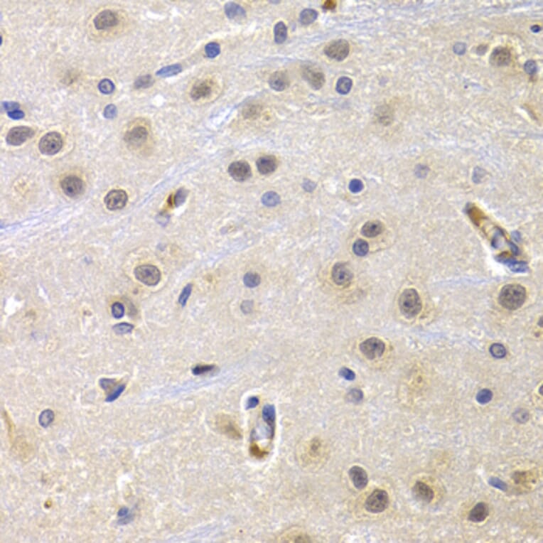
Immunohistochemistry - Anti-CCNG1 Antibody (A39735)
Immunohistochemistry of paraffin-embedded rat brain using CCNG1 antibody at dilution of 1: 200 (400x lens).
Publishing research using Anti-CCNG1 Antibody (A39735)? Please
let us know
so that we can list the citation on this page.
Alternative products to Anti-CCNG1 Antibody (A39735)
(3)
A95349
Anti-Cyclin G Antibody
Rabbit polyclonal antibody to Cyclin G for WB, IHC and ELISA.
(2)
A25117
Anti-Cyclin G (I194) Antibody
Rabbit polyclonal antibody to Cyclin G (I194) for WB and IHC.
A35732
Anti-Cyclin G Antibody
Rabbit polyclonal antibody to Cyclin G for WB, IHC and ELISA.
(2)
A36689
Anti-Cyclin G Antibody
Rabbit polyclonal antibody to Cyclin G for WB and IHC.
(2)
A89461
Anti-Cyclin G Antibody
Rabbit polyclonal antibody to Cyclin G for WB, ICC/IF and ELISA.
(3)
A38287
Anti-CCNG1 Antibody
Rabbit polyclonal antibody to CCNG1 for WB and IHC.
(3)
A95349
Anti-Cyclin G Antibody
Rabbit polyclonal antibody to Cyclin G for WB, IHC and ELISA.
(2)
A25117
Anti-Cyclin G (I194) Antibody
Rabbit polyclonal antibody to Cyclin G (I194) for WB and IHC.
A35732
Anti-Cyclin G Antibody
Rabbit polyclonal antibody to Cyclin G for WB, IHC and ELISA.
(2)
A36689
Anti-Cyclin G Antibody
Rabbit polyclonal antibody to Cyclin G for WB and IHC.
(2)
A89461
Anti-Cyclin G Antibody
Rabbit polyclonal antibody to Cyclin G for WB, ICC/IF and ELISA.
(3)
A38287
Anti-CCNG1 Antibody
Rabbit polyclonal antibody to CCNG1 for WB and IHC.
See all CCNG1 Antibodies
Proteins predicted to interact with Cyclin G
Predicted protein interactions based upon String database. Revelancy score correlates with probability of interaction.
p53 Antibodies
99.8% Relevancy Score
GAK Antibodies
96.3% Relevancy Score
MDM2 Antibodies
91.5% Relevancy Score
Cyclin G2 Antibodies
91.1% Relevancy Score
PPP2R5C Antibodies
84.9% Relevancy Score
PPP2R1A Antibodies
81.8% Relevancy Score
CDK5 Antibodies
81.7% Relevancy Score
CCNL2 Antibodies
78% Relevancy Score
CDK1 Antibodies
77.2% Relevancy Score
Top