Primary Antibodies
Secondary Antibodies
Proteins & Peptides
ELISA Kits
About Us
Contact Us
Sign In/Register
0
ISO 9001:2015 Certified
Live Customer Support
4.5/5 on Trustpilot
100% Quality Guarantee
Home
Primary Antibodies
Cyclin T1 Antibodies
Anti-CCNT1 Antibody (A46065)
Anti-CCNT1 Antibody (A46065)
Overview
Specifications
Images
Enlarge Image
Enlarge Image
$430
Product Datasheet
Rabbit polyclonal antibody to CCNT1 for IHC.
100% Guarantee
Price Match Guarantee
Product Size:
100µl
Quantity:
1
2
3
4
5
6
7
8
9
10
Add To Cart
Request a Quotation
Custom or Bulk Request
Shipping Information
Freight/Packing Charges:
$40
Dispatched from St. Louis, MO.
Lead Time: 6-9 business days.
Specifications
Name
Anti-CCNT1 Antibody
Description
Rabbit polyclonal antibody to CCNT1
Specificity
The antibody detects endogenous levels of total CCNT1 protein.
Applications
IHC
Reactivity
Human
Immunogen
Synthetic peptide corresponding to a region derived from internal residues of human cyclin T1
Host
Rabbit
Clonality
Polyclonal
Conjugate
Unconjugated
Purification
Antigen affinity purification.
Concentration
1.8 mg/mL
Formulation
Supplied in PBS, pH 7.3, containing 0.05% sodium azide and 50% glycerol.
Storage
Shipped at 4°C. Upon delivery aliquot and store at -20°C. Avoid freeze/thaw cycles.
Synonyms
Cyclin-T1, CycT1
Suitable Secondaries
Goat Anti-Rabbit IgG H&L Antibody (AP) (A294874)
Goat Anti-Rabbit IgG H&L Antibody (Biotin) (A294795)
Goat Anti-Rabbit IgG H&L Antibody (FITC) (A294887)
Goat Anti-Rabbit IgG H&L Antibody (HRP) (A294888)
See all Anti-Rabbit IgG Secondaries →
Disclaimer
This product is for research use only. It is not intended for diagnostic or therapeutic use.
Scientific Validation Data
Validation Data
(2)
Enlarge Image
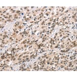
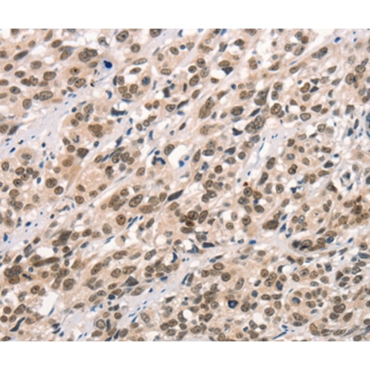
Immunohistochemistry - Anti-CCNT1 Antibody (A46065)
Immunohistochemical analysis of paraffin-embedded Human oesophagus cancer tissue using #36822 at dilution 1/20.
Enlarge Image
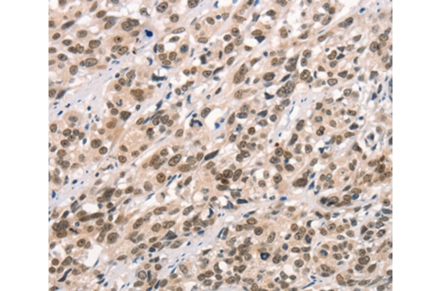
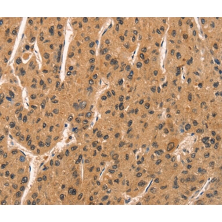
Immunohistochemistry - Anti-CCNT1 Antibody (A46065)
Immunohistochemical analysis of paraffin-embedded Human liver cancer tissue using #36822 at dilution 1/20.
Publishing research using Anti-CCNT1 Antibody (A46065)? Please
let us know
so that we can list the citation on this page.
Alternative products to Anti-CCNT1 Antibody (A46065)
A345461
Anti-Cyclin T1 Antibody [25GB150]
Recombinant rabbit monoclonal [25GB150] antibody to Cyclin T1 for WB, Flow Cytometry and ICC/IF.
A345460
Anti-Cyclin T1 Antibody [25GB6460]
Recombinant rabbit monoclonal [25GB6460] antibody to Cyclin T1 for WB.
A8992
Anti-Cyclin T1 Antibody
Rabbit polyclonal antibody to Cyclin T1 for WB.
A43313
Anti-CCNT1 Antibody
Rabbit polyclonal antibody to CCNT1 for WB.
A345461
Anti-Cyclin T1 Antibody [25GB150]
Recombinant rabbit monoclonal [25GB150] antibody to Cyclin T1 for WB, Flow Cytometry and ICC/IF.
A345460
Anti-Cyclin T1 Antibody [25GB6460]
Recombinant rabbit monoclonal [25GB6460] antibody to Cyclin T1 for WB.
A8992
Anti-Cyclin T1 Antibody
Rabbit polyclonal antibody to Cyclin T1 for WB.
A43313
Anti-CCNT1 Antibody
Rabbit polyclonal antibody to CCNT1 for WB.
Proteins predicted to interact with Cyclin T1
Predicted protein interactions based upon String database. Revelancy score correlates with probability of interaction.
AF4 Antibodies
99.9% Relevancy Score
BRD4 Antibodies
99.9% Relevancy Score
AFF4 Antibodies
99.9% Relevancy Score
ENL Antibodies
99.9% Relevancy Score
CDK9 Antibodies
99.9% Relevancy Score
HEXIM1 Antibodies
99.9% Relevancy Score
ELL Antibodies
99.8% Relevancy Score
AF9 Antibodies
99.7% Relevancy Score
LARP7 Antibodies
99.6% Relevancy Score
Top