Primary Antibodies
Secondary Antibodies
Proteins & Peptides
ELISA Kits
About Us
Contact Us
Sign In/Register
0
ISO 9001:2015 Certified
Live Customer Support
4.5/5 on Trustpilot
100% Quality Guarantee
Home
Primary Antibodies
CCR3 Antibodies
Anti-CCR3 Antibody (A48292)
Anti-CCR3 Antibody (A48292)
Overview
Specifications
Images
Enlarge Image
Enlarge Image
$780
Product Datasheet
Rabbit polyclonal antibody to CCR3 for ELISA, WB and IHC.
100% Guarantee
Price Match Guarantee
Product Size:
100µl
Quantity:
1
2
3
4
5
6
7
8
9
10
Add To Cart
Request a Quotation
Custom or Bulk Request
Shipping Information
Freight/Packing Charges:
$40
Dispatched from St. Louis, MO.
Lead Time: 6-9 business days.
Tags:
Basophil Marker
Eosinophil Marker
Specifications
Name
Anti-CCR3 Antibody
Description
Rabbit polyclonal antibody to CCR3
Applications
ELISA
,
WB
,
IHC
Reactivity
Human, Mouse, Rat
Immunogen
Raised against a 14 amino acid peptide from near the carboxy terminus of human CCR3.
Host
Rabbit
Clonality
Polyclonal
Conjugate
Unconjugated
Purification
Immunoaffinity purified IgG
Formulation
Supplied in phosphate-buffered saline with 0.02% Sodium Azide.
Storage
Shipped at 4°C. Upon delivery aliquot and store at -20°C. Avoid freeze/thaw cycles.
Synonyms
C C CKR3, C-C chemokine receptor type 3, CD193, CMKBR3, Eosinophil eotaxin receptor
Suitable Secondaries
Goat Anti-Rabbit IgG H&L Antibody (AP) (A294874)
Goat Anti-Rabbit IgG H&L Antibody (Biotin) (A294795)
Goat Anti-Rabbit IgG H&L Antibody (FITC) (A294887)
Goat Anti-Rabbit IgG H&L Antibody (HRP) (A294888)
See all Anti-Rabbit IgG Secondaries →
Disclaimer
This product is for research use only. It is not intended for diagnostic or therapeutic use.
Scientific Validation Data
Validation Data
(2)
Enlarge Image
Anti-CCR3 Antibody (A48292)
Western blot analysis of CCR3 in human spleen tissue lysates with CCR3 antibody at 1 (lane 1) and 2 µg/mL (lane 2), and 2 µg/mL in the presence of blocking peptide (lane 3).
Enlarge Image
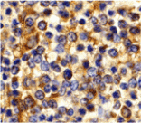
Immunohistochemistry - Anti-CCR3 Antibody (A48292)
Immunohistochemistry of CCR3 in human spleen tissue with CCR3 antibody at 10 µg/mL.
Publishing research using Anti-CCR3 Antibody (A48292)? Please
let us know
so that we can list the citation on this page.
Alternative products to Anti-CCR3 Antibody (A48292)
(3)
A309001
Anti-CCR3 Antibody
Rabbit polyclonal antibody to CCR3 for WB and IHC.
(2)
A54956
Anti-CCR3 Antibody
Rabbit polyclonal antibody to CCR3 for ELISA, IHC, IP and WB.
A282998
Anti-CCR3 Antibody
Rabbit polyclonal antibody to CCR3 for WB, IHC-P, IF and IHC-Fr.
A49636
Anti-CCR3 Antibody
Rabbit polyclonal antibody to CCR3 for ELISA and WB.
(3)
A101528
Anti-CCR3 Antibody
Rabbit polyclonal antibody to CCR3 for WB and ELISA.
A86560
Anti-CCR3 Antibody [5E8]
Mouse monoclonal [5E8] antibody to CCR3 for Flow Cytometry.
(2)
A38770
Anti-CCR3 Antibody
Rabbit polyclonal antibody to CCR3 for WB and IHC.
A334497
Anti-CCR3 Antibody
Rabbit polyclonal antibody to CCR3 for WB.
(3)
A309001
Anti-CCR3 Antibody
Rabbit polyclonal antibody to CCR3 for WB and IHC.
(2)
A54956
Anti-CCR3 Antibody
Rabbit polyclonal antibody to CCR3 for ELISA, IHC, IP and WB.
A282998
Anti-CCR3 Antibody
Rabbit polyclonal antibody to CCR3 for WB, IHC-P, IF and IHC-Fr.
A49636
Anti-CCR3 Antibody
Rabbit polyclonal antibody to CCR3 for ELISA and WB.
(3)
A101528
Anti-CCR3 Antibody
Rabbit polyclonal antibody to CCR3 for WB and ELISA.
A86560
Anti-CCR3 Antibody [5E8]
Mouse monoclonal [5E8] antibody to CCR3 for Flow Cytometry.
(2)
A38770
Anti-CCR3 Antibody
Rabbit polyclonal antibody to CCR3 for WB and IHC.
A334497
Anti-CCR3 Antibody
Rabbit polyclonal antibody to CCR3 for WB.
See all CCR3 Antibodies
Proteins predicted to interact with CCR3
Predicted protein interactions based upon String database. Revelancy score correlates with probability of interaction.
Eotaxin 3 Antibodies
99.9% Relevancy Score
MCP-3 Antibodies
99.9% Relevancy Score
RANTES Antibodies
99.9% Relevancy Score
Eotaxin Antibodies
99.9% Relevancy Score
MCP-4 Antibodies
99.9% Relevancy Score
Eotaxin 2 Antibodies
99.9% Relevancy Score
CCR5 Antibodies
99.8% Relevancy Score
CCL4 Antibodies
99.8% Relevancy Score
CCL3 Antibodies
99.8% Relevancy Score
Top