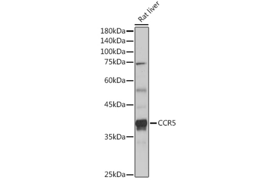
Western blot analysis of extracts of Rat liver, using Anti-CCR5 Antibody (A307104) at 1:1,000 dilution. The secondary antibody was Goat Anti-Rabbit IgG H&L Antibody (HRP) at 1:10,000 dilution. Lysates/proteins were present at 25µg per lane. The blocking buffer used was 3% non-fat dry milk in TBST. Detection was with a ECL Basic Kit. Exposure time: 10s.
Immunofluorescence analysis of Jurkat cells using Anti-CCR5 Antibody (A307104) at a dilution of 1:50 (40x lens). DAPI was used to stain the cell nuclei (blue).
Immunofluorescence analysis of THP-1 cells using Anti-CCR5 Antibody (A307104) at a dilution of 1:50 (40x lens). DAPI was used to stain the cell nuclei (blue).
Immunofluorescence analysis of mouse spleen cells using Anti-CCR5 Antibody (A307104) at a dilution of 1:100 (40x lens). DAPI was used to stain the cell nuclei (blue).
Publishing research using Anti-CCR5 Antibody (A307104)? Please let us know so that we can list the citation on this page.
Alternative products to Anti-CCR5 Antibody (A307104)
Recombinant humanized monoclonal antibody to CCR5 for use as a research grade Leronlimab biosimilar for ELISA, Flow Cytometry, Functional Studies and in vivo Research.
Recombinant human monoclonal antibody to CCR5 for use as a research grade Anti-Human CCR5 [HGS1025] for ELISA, Flow Cytometry, Functional Studies and in vivo Research.
Recombinant human monoclonal antibody to CCR5 for use as a research grade Anti-Human CCR5 [HGS101] b for ELISA, Flow Cytometry, Functional Studies and in vivo Research.
Recombinant humanized monoclonal antibody to CCR5 for use as a research grade Leronlimab biosimilar for ELISA, Flow Cytometry, Functional Studies and in vivo Research.
Recombinant human monoclonal antibody to CCR5 for use as a research grade Anti-Human CCR5 [HGS1025] for ELISA, Flow Cytometry, Functional Studies and in vivo Research.
Recombinant human monoclonal antibody to CCR5 for use as a research grade Anti-Human CCR5 [HGS101] b for ELISA, Flow Cytometry, Functional Studies and in vivo Research.