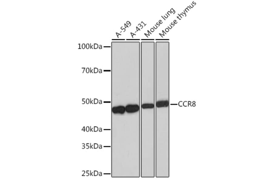
Western Blot - Anti-CCR8 Antibody [ARC0956] (A305936)
Western blot analysis of extracts of various cell lines, using Anti-CCR8 Antibody (A305936) at 1:1,000 dilution. The secondary antibody was Goat Anti-Rabbit IgG H&L Antibody (HRP) at 1:10,000 dilution. Lysates/proteins were present at 25µg per lane. The blocking buffer used was 3% non-fat dry milk in TBST. Detection was with a ECL Basic Kit. Exposure time: 60s.
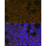
Immunofluorescence analysis of Jurkat cells using Anti-CCR8 Antibody (A305936) at a dilution of 1:100 (40x lens). DAPI was used to stain the cell nuclei (blue).
Publishing research using Anti-CCR8 Antibody [ARC0956] (A305936)? Please let us know so that we can list the citation on this page.
Alternative products to Anti-CCR8 Antibody [ARC0956] (A305936)
Recombinant human monoclonal antibody to CCR8 for use as a research grade Lanerkitug biosimilar for ELISA, Flow Cytometry, Functional Studies and in vivo Research.
Recombinant humanized monoclonal antibody to CCR8 for use as a research grade Azirkitug biosimilar for ELISA, Flow Cytometry, Functional Studies and in vivo Research.
Recombinant chimeric monoclonal antibody to CCR8 for use as a research grade Denikitug biosimilar for ELISA, Flow Cytometry, Functional Studies and in vivo Research.
Recombinant human monoclonal antibody to CCR8 for use as a research grade Cafelkibart biosimilar for ELISA, Flow Cytometry, Functional Studies and in vivo Research.
Recombinant human monoclonal antibody to CCR8 for use as a research grade imzokitug biosimilar for ELISA, Flow Cytometry, Functional Studies and in vivo Research.
Recombinant human monoclonal antibody to CCR8 for use as a research grade enzelkitug biosimilar for ELISA, Flow Cytometry, Functional Studies and in vivo Research.
Recombinant human monoclonal antibody to CCR8 for use as a research grade Anti-Human CCR8 [CM369] bi for ELISA, Flow Cytometry, Functional Studies and in vivo Research.
Recombinant human monoclonal antibody to CCR8 for use as a research grade Anti-Human CCR8 Antibody [ for ELISA, Flow Cytometry, Functional Studies and in vivo Research.
Recombinant human monoclonal antibody to CCR8 for use as a research grade Anti-Human CCR8 [BMS-98634 for ELISA, Flow Cytometry, Functional Studies and in vivo Research.
Recombinant human monoclonal antibody to CCR8 for use as a research grade GS-1811 biosimilar for ELISA, Flow Cytometry, Functional Studies and in vivo Research.
Recombinant human monoclonal antibody to CCR8 for use as a research grade FPA157 biosimilar for ELISA, Flow Cytometry, Functional Studies and in vivo Research.
Recombinant human monoclonal antibody to CCR8 for use as a research grade Lanerkitug biosimilar for ELISA, Flow Cytometry, Functional Studies and in vivo Research.
Recombinant humanized monoclonal antibody to CCR8 for use as a research grade Azirkitug biosimilar for ELISA, Flow Cytometry, Functional Studies and in vivo Research.
Recombinant chimeric monoclonal antibody to CCR8 for use as a research grade Denikitug biosimilar for ELISA, Flow Cytometry, Functional Studies and in vivo Research.
Recombinant human monoclonal antibody to CCR8 for use as a research grade Cafelkibart biosimilar for ELISA, Flow Cytometry, Functional Studies and in vivo Research.
Recombinant human monoclonal antibody to CCR8 for use as a research grade imzokitug biosimilar for ELISA, Flow Cytometry, Functional Studies and in vivo Research.
Recombinant human monoclonal antibody to CCR8 for use as a research grade enzelkitug biosimilar for ELISA, Flow Cytometry, Functional Studies and in vivo Research.
Recombinant human monoclonal antibody to CCR8 for use as a research grade Anti-Human CCR8 [CM369] bi for ELISA, Flow Cytometry, Functional Studies and in vivo Research.
Recombinant human monoclonal antibody to CCR8 for use as a research grade Anti-Human CCR8 Antibody [ for ELISA, Flow Cytometry, Functional Studies and in vivo Research.
Recombinant human monoclonal antibody to CCR8 for use as a research grade Anti-Human CCR8 [BMS-98634 for ELISA, Flow Cytometry, Functional Studies and in vivo Research.
Recombinant human monoclonal antibody to CCR8 for use as a research grade GS-1811 biosimilar for ELISA, Flow Cytometry, Functional Studies and in vivo Research.
Recombinant human monoclonal antibody to CCR8 for use as a research grade FPA157 biosimilar for ELISA, Flow Cytometry, Functional Studies and in vivo Research.