Primary Antibodies
Secondary Antibodies
Proteins & Peptides
ELISA Kits
About Us
Contact Us
Sign In/Register
0
ISO 9001:2015 Certified
Live Customer Support
4.5/5 on Trustpilot
100% Quality Guarantee
Home
Primary Antibodies
CD105 Antibodies
Anti-CD105 Antibody (A99692)
Anti-CD105 Antibody (A99692)
Overview
Specifications
Images
Enlarge Image
Enlarge Image
Enlarge Image
Enlarge Image
$370
Product Datasheet
Mouse monoclonal (ABT-CD105) antibody to CD105 for IHC.
100% Guarantee
Price Match Guarantee
Product Size:
50µl
100µl
Quantity:
1
2
3
4
5
6
7
8
9
10
Add To Cart
Request a Quotation
Custom or Bulk Request
Shipping Information
Freight/Packing Charges:
$40
Dispatched from St. Louis, MO.
Lead Time: 6-8 business days.
Tags:
Endothelial Stem Cell Marker
Hematopoietic Stem Cell Marker
Mesenchymal Stem Cell Marker
Specifications
Name
Anti-CD105 Antibody
Description
Mouse monoclonal (ABT-CD105) antibody to CD105.
Applications
IHC
Reactivity
Human
Immunogen
Synthetic peptide derived from human CD105.
Host
Mouse
Clonality
Monoclonal
Clone ID
ABT-CD105
Isotype
IgG
Conjugate
Unconjugated
Purification
Immunogen affinity purified.
Product Form
Liquid
Formulation
Supplied in Tris Buffered Saline with 0.5% Bovine Serum Albumin and 0.1% Kathon CG/ICP.
Synonyms
END, Endoglin, ENG
Isotype Controls
Mouse IgG (A17361)
Suitable Secondaries
Goat Anti-Mouse IgG H&L Antibody (AP) (A301438)
Goat Anti-Mouse IgG H&L Antibody (Biotin) (A301439)
Goat Anti-Mouse IgG H&L Antibody (FITC) (A301669)
Goat Anti-Mouse IgG H&L Antibody (HRP) (A301445)
See all Anti-Mouse IgG Secondaries →
Disclaimer
This product is for research use only. It is not intended for diagnostic or therapeutic use.
Scientific Validation Data
Validation Data
(4)
Enlarge Image
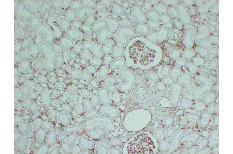
Immunohistochemistry - Anti-CD105 Antibody (A99692)
Immunohistochemical analysis of paraffin-embedded human Kidney using Anti-CD105 Antibody.
Enlarge Image
Immunohistochemistry - Anti-CD105 Antibody (A99692)
Immunohistochemical analysis of paraffin-embedded human Placenta using Anti-CD105 Antibody.
Enlarge Image
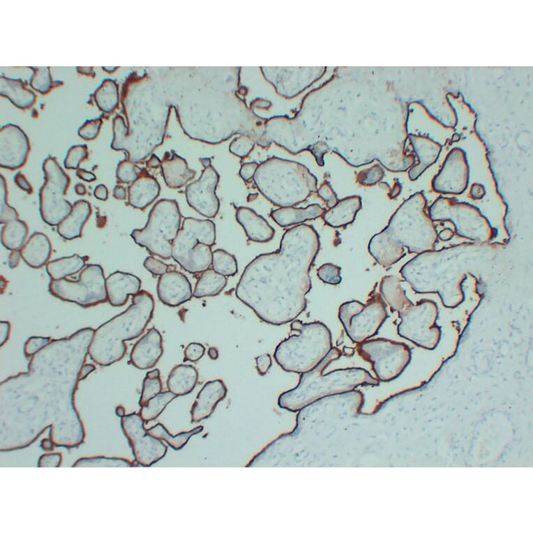
Immunohistochemistry - Anti-CD105 Antibody (A99692)
Immunohistochemical analysis of paraffin-embedded human Renal clear cell carcinoma using Anti-CD105 Antibody.
Enlarge Image
Immunohistochemistry - Anti-CD105 Antibody (A99692)
Immunohistochemical analysis of paraffin-embedded human Tonsil using Anti-CD105 Antibody.
Publishing research using Anti-CD105 Antibody (A99692)? Please
let us know
so that we can list the citation on this page.
Alternative products to Anti-CD105 Antibody (A99692)
A85494
Anti-CD105 Antibody [MEM-229]
Mouse monoclonal [MEM-229] antibody to CD105 for Flow Cytometry, WB, IHC-Fr and ICC.
(3)
A248433
Anti-CD105 Antibody [ENG/1621]
Mouse monoclonal [ENG/1621] antibody to CD105 for ELISA, Functional Studies, Flow Cytometry and IF.
(3)
A251615
Anti-CD105 Antibody [ENG/1621] - BSA and Azide free
Mouse monoclonal [ENG/1621] antibody to CD105 for ELISA, Functional Studies, Flow Cytometry and IF.
A281772
Anti-CD105 Antibody [SN6]
Mouse monoclonal [SN6] antibody to CD105 for WB, IP, Flow Cytometry and IHC-Fr.
A85500
Anti-CD105 Antibody [MEM-226]
Mouse monoclonal [MEM-226] antibody to CD105 for Flow Cytometry, IP, WB and CyTOF.
(2)
A323346
Carotuximab Biosimilar - Anti-CD105 Antibody - Low endotoxin, Azide free
Recombinant chimeric monoclonal antibody to CD105 for ELISA, FACS, Kinetics (BLI), Kinetics (SPR) and Functional Assay.
(2)
A338576
Carotuximab Biosimilar - Anti-CD105 Antibody - BSA and Azide free
Chimeric monoclonal antibody to CD105 Research grade Carotuximab biosimilar for ELISA, Flow Cytometry, Functional Studies and in vivo Research.
(2)
A251612
Anti-CD105 Antibody [ENG/1326] - BSA and Azide free
Mouse monoclonal [ENG/1326] antibody to CD105 for Flow Cytometry, IF and WB.
(2)
A248431
Anti-CD105 Antibody [ENG/1327]
Mouse monoclonal [ENG/1327] antibody to CD105 for Flow Cytometry, IF and WB.
(2)
A251613
Anti-CD105 Antibody [ENG/1327] - BSA and Azide free
Mouse monoclonal [ENG/1327] antibody to CD105 for Flow Cytometry, IF and WB.
(4)
A248432
Anti-CD105 Antibody [ENG/3269]
Mouse monoclonal [ENG/3269] antibody to CD105 for IHC-P.
(4)
A251614
Anti-CD105 Antibody [ENG/3269] - BSA and Azide free
Mouse monoclonal [ENG/3269] antibody to CD105 for IHC-P.
A85494
Anti-CD105 Antibody [MEM-229]
Mouse monoclonal [MEM-229] antibody to CD105 for Flow Cytometry, WB, IHC-Fr and ICC.
(3)
A248433
Anti-CD105 Antibody [ENG/1621]
Mouse monoclonal [ENG/1621] antibody to CD105 for ELISA, Functional Studies, Flow Cytometry and IF.
(3)
A251615
Anti-CD105 Antibody [ENG/1621] - BSA and Azide free
Mouse monoclonal [ENG/1621] antibody to CD105 for ELISA, Functional Studies, Flow Cytometry and IF.
A281772
Anti-CD105 Antibody [SN6]
Mouse monoclonal [SN6] antibody to CD105 for WB, IP, Flow Cytometry and IHC-Fr.
A85500
Anti-CD105 Antibody [MEM-226]
Mouse monoclonal [MEM-226] antibody to CD105 for Flow Cytometry, IP, WB and CyTOF.
(2)
A323346
Carotuximab Biosimilar - Anti-CD105 Antibody - Low endotoxin, Azide free
Recombinant chimeric monoclonal antibody to CD105 for ELISA, FACS, Kinetics (BLI), Kinetics (SPR) and Functional Assay.
(2)
A338576
Carotuximab Biosimilar - Anti-CD105 Antibody - BSA and Azide free
Chimeric monoclonal antibody to CD105 Research grade Carotuximab biosimilar for ELISA, Flow Cytometry, Functional Studies and in vivo Research.
(2)
A251612
Anti-CD105 Antibody [ENG/1326] - BSA and Azide free
Mouse monoclonal [ENG/1326] antibody to CD105 for Flow Cytometry, IF and WB.
(2)
A248431
Anti-CD105 Antibody [ENG/1327]
Mouse monoclonal [ENG/1327] antibody to CD105 for Flow Cytometry, IF and WB.
(2)
A251613
Anti-CD105 Antibody [ENG/1327] - BSA and Azide free
Mouse monoclonal [ENG/1327] antibody to CD105 for Flow Cytometry, IF and WB.
(4)
A248432
Anti-CD105 Antibody [ENG/3269]
Mouse monoclonal [ENG/3269] antibody to CD105 for IHC-P.
(4)
A251614
Anti-CD105 Antibody [ENG/3269] - BSA and Azide free
Mouse monoclonal [ENG/3269] antibody to CD105 for IHC-P.
See all CD105 Antibodies
Proteins predicted to interact with CD105
Predicted protein interactions based upon String database. Revelancy score correlates with probability of interaction.
ALK-1 Antibodies
99.9% Relevancy Score
TGF beta 1 Antibodies
99.8% Relevancy Score
TGFBR2 Antibodies
99.7% Relevancy Score
BMP9 Antibodies
99.6% Relevancy Score
TGF beta 3 Antibodies
99.5% Relevancy Score
BMPR2 Antibodies
97.9% Relevancy Score
BMP10 Antibodies
97.7% Relevancy Score
TGF beta Receptor I Antibodies
96.9% Relevancy Score
CD90 Antibodies
94.1% Relevancy Score
Top