ISO 9001:2015 Certified
Live Customer Support
4.5/5 on Trustpilot
100% Quality Guarantee

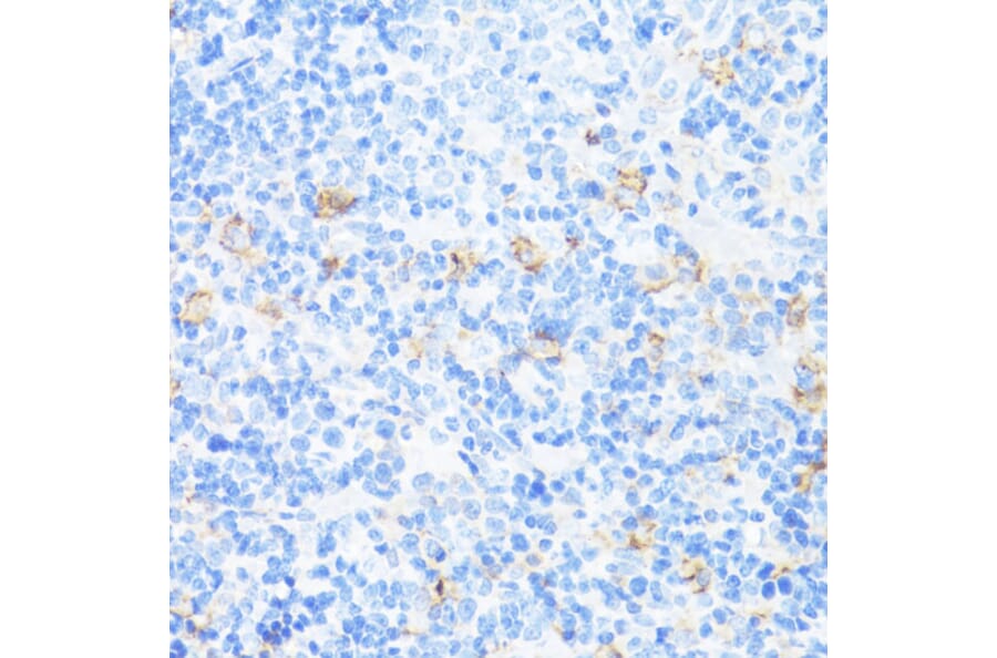
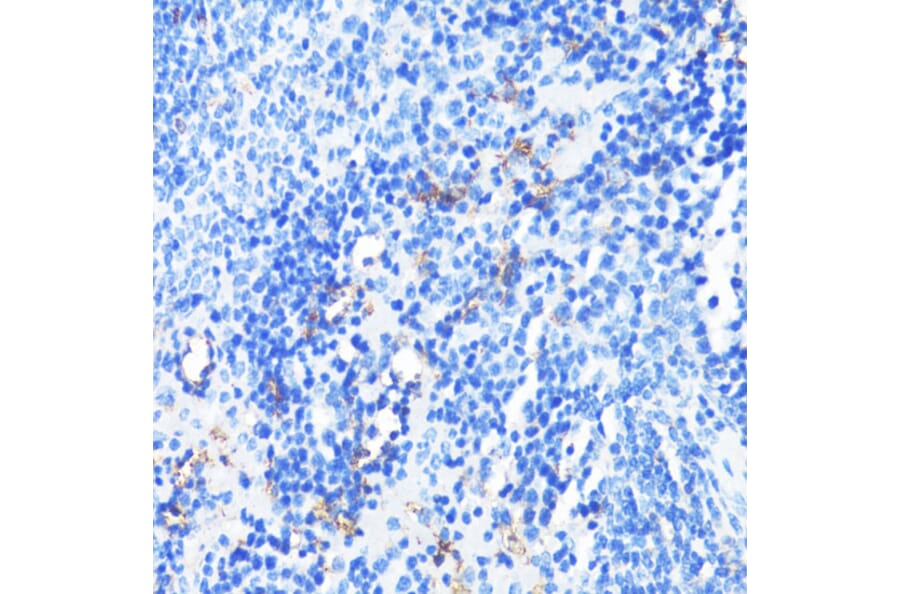
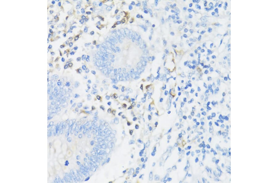
Anti-CD11a Antibody (A13570)

Rabbit polyclonal antibody to CD11a for WB, IHC and ICC/IF.

Shipping Information

$40
Dispatched from St. Louis, MO.
Lead Time: 7-10 business days.
Name
Anti-CD11a Antibody
Description
Rabbit polyclonal antibody to CD11a.
Applications
WB, IHC, ICC/IF
Dilutions
WB: 1:100-1:500, IHC: 1:50-1:100, ICC/IF: 1:50-1:100
Reactivity
Human, Mouse, Rat
Immunogen
Recombinant fusion protein containing a sequence corresponding to amino acids 1-1170 of human CD11a/LFA-1A/ITGAL (P20701).
Sequence
MKDSCITVMAMALLSGFFFFAPASSYNLDVRGARSFSPPRAGRHFGYRVLQVGNGVIVGAPGEGNSTGSLYQCQSGTGHCLPVTLRGSNYTSKYLGMTLATDPTDGSILACDPGLSRTCDQNTYLSGLCYLFRQNLQGPMLQGRPGFQECIKGNVDLVFLFDGSMSLQPDEFQKILDFMKDVMKKLSNTSYQFAAVQFSTSYKTEFDFSDYVKRKDPDALLKHVKHMLLLTNTFGAINYVATEVFREELGARPDATKVLIIITDGEATDSGNIDAAKDIIRYIIGIGKHFQTKESQETLHKFASKPASEFVKILDTFEKLKDLFTELQKKIYVIEGTSKQDLTSFNMELSSSGISADLSRGHAVVGAVGAKDWAGGFLDLKADLQDDTFIGNEPLTPEVRAGYLGYTVTWLPSRQKTSLLASGAPRYQHMGRVLLFQEPQGGGHWSQVQTIHGTQIGSYFGGELCGVDVDQDGETELLLIGAPLFYGEQRGGRVFIYQRRQLGFEEVSELQGDPGYPLGRFGEAITALTDINGDGLVDVAVGAPLEEQGAVYIFNGRHGGLSPQPSQRIEGTQVLSGIQWFGRSIHGVKDLEGDGLADVAVGAESQMIVLSSRPVVDMVTLMSFSPAEIPVHEVECSYSTSNKMKEGVNITICFQIKSLIPQFQGRLVANLTYTLQLDGHRTRRRGLFPGGRHELRRNIAVTTSMSCTDFSFHFPVCVQDLISPINVSLNFSLWEEEGTPRDQRAQGKDIPPILRPSLHSETWEIPFEKNCGEDKKCEANLRVSFSPARSRALRLTAFASLSVELSLSNLEEDAYWVQLDLHFPPGLSFRKVEMLKPHSQIPVSCEELPEESRLLSRALSCNVSSPIFKAGHSVALQMMFNTLVNSSWGDSVELHANVTCNNEDSDLLEDNSATTIIPILYPINILIQDQEDSTLYVSFTPKGPKIHQVKHMYQVRIQPSIHDHNIPTLEAVVGVPQPPSEGPITHQWSVQMEPPVPCHYEDLERLPDAAEPCLPGALFRCPVVFRQEILVQVIGTLELVGEIEASSMFSLCSSLSISFNSSKHFHLYGSNASLAQVVMKVDVVYEKQMLYLYVLSGIGGLLLLLLIFIVLYKVGFFKRNLKEKMEAGRGVPNGIPAEDSEQLASGQEAGDPGCLKPLHEKDSESGGGKD
Host
Rabbit
Clonality
Polyclonal
Isotype
IgG
Conjugate

Unconjugated

Purification
Affinity purification.
Concentration
Lot Specific
Molecular Weight
180 kDa
Product Form
Liquid
Formulation
Supplied in Phosphate Buffered Saline, pH 7.3, with 50% Glycerol and 0.05% Proclin 300.
Storage
Shipped at 4°C. Upon delivery aliquot and store at -20°C. Avoid freeze/thaw cycles.
Synonyms
CD11 antigen-like family member A, Integrin alpha-L, ITGAL, Leukocyte adhesion glycoprotein LFA-1 alpha chain, Leukocyte function-associated molecule 1 alpha chain, LFA-1A
Disclaimer
This product is for research use only. It is not intended for diagnostic or therapeutic use.
Publishing research using Anti-CD11a Antibody (A13570)? Please let us know so that we can list the citation on this page.

Alternative products to Anti-CD11a Antibody (A13570)

Proteins predicted to interact with CD11a

Predicted protein interactions based upon String database. Revelancy score correlates with probability of interaction.
99.9% Relevancy Score
99.9% Relevancy Score
99.9% Relevancy Score
99.9% Relevancy Score
99.6% Relevancy Score
99.5% Relevancy Score
99.4% Relevancy Score
99.2% Relevancy Score
98.5% Relevancy Score