ISO 9001:2015 Certified
Live Customer Support
4.5/5 on Trustpilot
100% Quality Guarantee

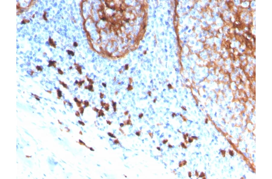
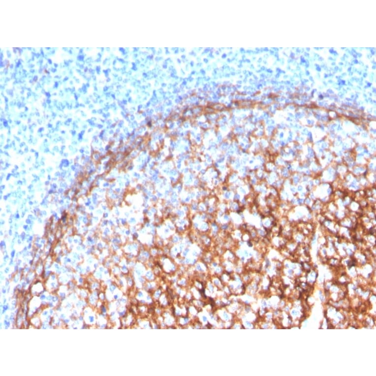
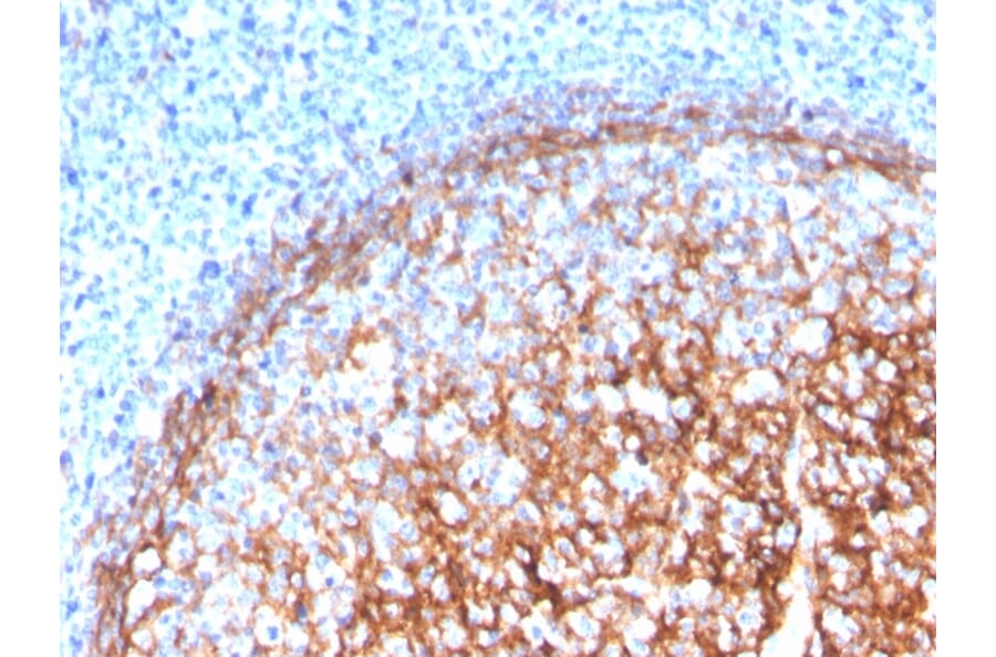
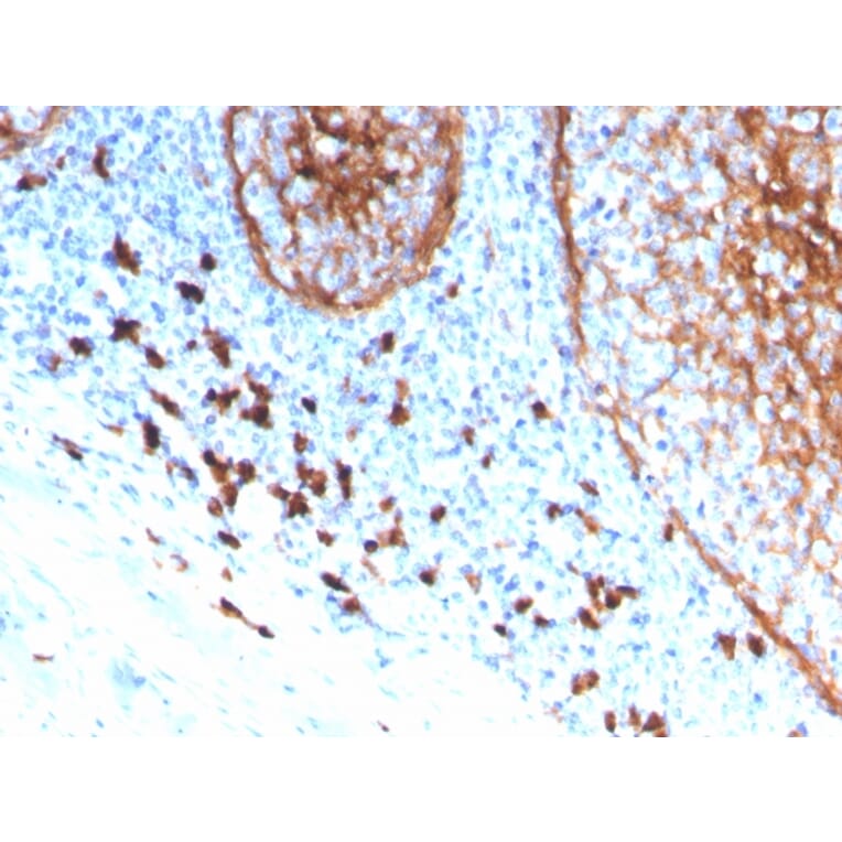
Anti-CD11b Antibody [ITGAM/3339] - BSA and Azide free (A252248)

Mouse monoclonal [ITGAM/3339] antibody to CD11b for IHC-P.

Alternative Formats and ConjugatesAlternative Formats

Shipping Information

$40
Dispatched from St. Louis, MO.
Lead Time: 5-8 business days.
Name
Anti-CD11b Antibody [ITGAM/3339] - BSA and Azide free
Description
Mouse monoclonal [ITGAM/3339] antibody to CD11b.
Applications
IHC-P
Dilutions
IHC-P: 1-2 µg/ml
Reactivity
Human
Immunogen
Recombinant fragment, around amino acids 941-1074, of human ITGAM protein. The exact sequence is proprietary.
Host
Mouse
Clonality
Monoclonal
Clone ID
ITGAM/3339
Isotype
IgG1
Light Chains
kappa
Conjugate

Unconjugated

Purification
Protein A/G chromatography.
Concentration
1 mg/ml
Molecular Weight
95 kDa / 170 kDa
Product Form
Liquid
Formulation
Supplied in 10mM Phosphate Buffered Saline; without Sodium Azide and carrier free.
Storage
Shipped at 4°C. Upon delivery aliquot and store at -20°C. Avoid freeze / thaw cycles.
General Notes
This monoclonal antibody is also available in a different formulation with BSA and Sodium Azide - Anti-CD11b Antibody [ITGAM/3339] (A249068).
Synonyms
CD11 antigen-like family member B, Cell surface glycoprotein MAC-1 subunit alpha, CR-3 alpha chain, CR3A, Integrin alpha-M, ITGAM, Leukocyte adhesion receptor MO1, Neutrophil adherence receptor
Disclaimer
This product is for research use only. It is not intended for diagnostic or therapeutic use.
Publishing research using Anti-CD11b Antibody [ITGAM/3339] - BSA and Azide free (A252248)? Please let us know so that we can list the citation on this page.

Most popular Anti-CD11b Antibodies

Alternative products to Anti-CD11b Antibody [ITGAM/3339] - BSA and Azide free (A252248)

Proteins predicted to interact with CD11b

Predicted protein interactions based upon String database. Revelancy score correlates with probability of interaction.
99.9% Relevancy Score
99.9% Relevancy Score
99.9% Relevancy Score
99.8% Relevancy Score
99.6% Relevancy Score
99.5% Relevancy Score
99.4% Relevancy Score
99.1% Relevancy Score
98.2% Relevancy Score