ISO 9001:2015 Certified
Live Customer Support
4.5/5 on Trustpilot
100% Quality Guarantee

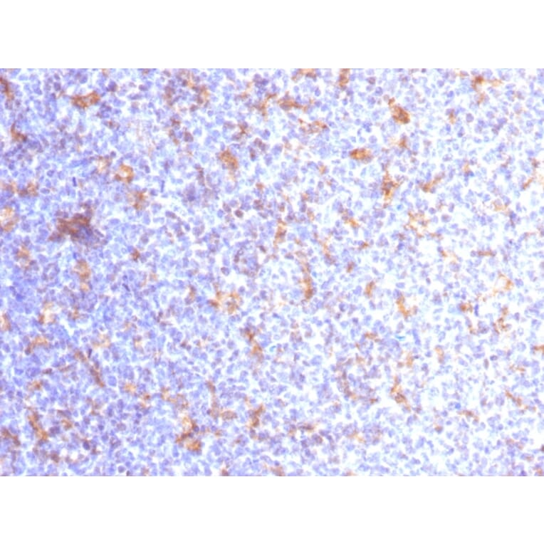
Anti-CD11c Antibody [ITGAX/1284] - BSA and Azide free (A252254)

Mouse monoclonal [ITGAX/1284] antibody to CD11c for IHC-P.

Alternative Formats and ConjugatesAlternative Formats

Shipping Information

$40
Dispatched from St. Louis, MO.
Lead Time: 5-8 business days.
Name
Anti-CD11c Antibody [ITGAX/1284] - BSA and Azide free
Description
Mouse monoclonal [ITGAX/1284] antibody to CD11c.
Specificity
This antibody recognizes a protein of 145kDa, identified as CD11c. CD11c (ITGAX), a member of the leukointegrin family, shares the same beta subunit with other members of the leukocyte adhesion molecule family, which includes CD11a (LFA-1), CD11b (MAC-1) and CD11d (ITGAD), but has a unique alpha chain. CD11c has been shown to play a role in phagocytosis, cell migration, and cytokine production by monocytes/macrophages as well as induction of T-cell proliferation by Langerhans cells. CD11c is expressed prominently on the plasma membranes of monocytes, tissue macrophages, NK cells, and most dendritic cells (DCs). A lower level of expression is also observed on neutrophils as a result of its high level of expression on most DCs. An antibody to CD11c may aid in identification of lesions with histiocytic origin. It may also been used as a marker for hairy cell leukemia in paraffin-embedded tissues.
Applications
IHC-P
Dilutions
IHC-P: 1-2 µg/ml
Reactivity
Human
Immunogen
Recombinant fragment, around amino acids 637-827, of human ITGAX protein. The exact sequence is proprietary.
Host
Mouse
Clonality
Monoclonal
Clone ID
ITGAX/1284
Isotype
IgG2b
Light Chains
kappa
Conjugate

Unconjugated

Purification
Protein A/G chromatography.
Concentration
1 mg/ml
Molecular Weight
145 kDa
Product Form
Liquid
Formulation
Supplied in 10mM Phosphate Buffered Saline; without Sodium Azide and carrier free.
Storage
Shipped at 4°C. Upon delivery aliquot and store at -20°C. Avoid freeze / thaw cycles.
General Notes
This monoclonal antibody is also available in a different formulation with BSA and Sodium Azide - Anti-CD11c Antibody [ITGAX/1284] (A249074).
Synonyms
CD11 antigen-like family member C, Integrin alpha-X, ITGAX, Leu M5, Leukocyte adhesion glycoprotein p150,95 alpha chain, Leukocyte adhesion receptor p150,95
Disclaimer
This product is for research use only. It is not intended for diagnostic or therapeutic use.
Publishing research using Anti-CD11c Antibody [ITGAX/1284] - BSA and Azide free (A252254)? Please let us know so that we can list the citation on this page.

Alternative products to Anti-CD11c Antibody [ITGAX/1284] - BSA and Azide free (A252254)

Proteins predicted to interact with CD11c

Predicted protein interactions based upon String database. Revelancy score correlates with probability of interaction.
99.9% Relevancy Score
98.2% Relevancy Score
96.9% Relevancy Score
96.4% Relevancy Score
95.1% Relevancy Score
94.9% Relevancy Score
93.9% Relevancy Score
93.8% Relevancy Score
93.6% Relevancy Score