ISO 9001:2015 Certified
Live Customer Support
4.5/5 on Trustpilot
100% Quality Guarantee

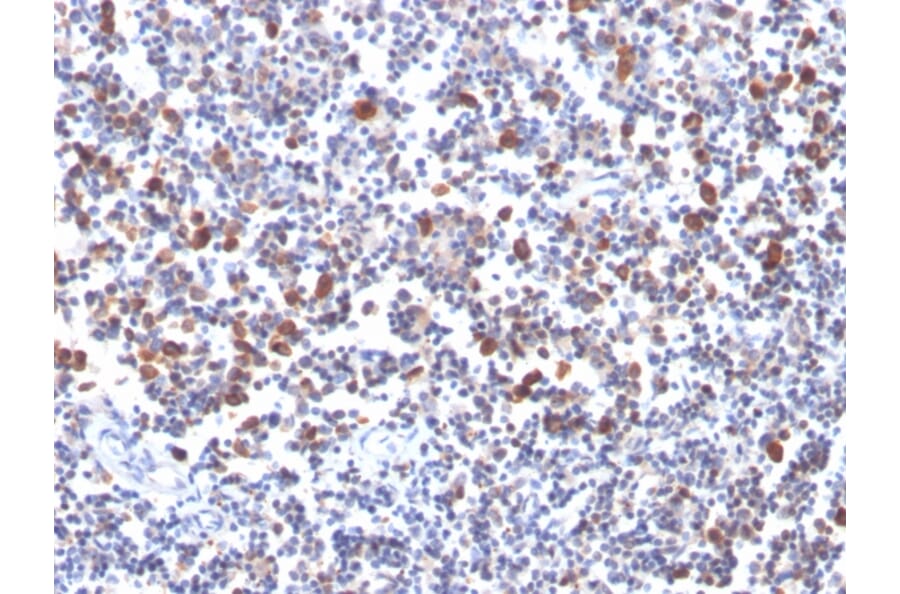
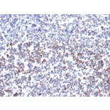
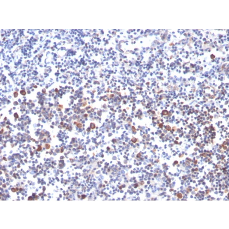
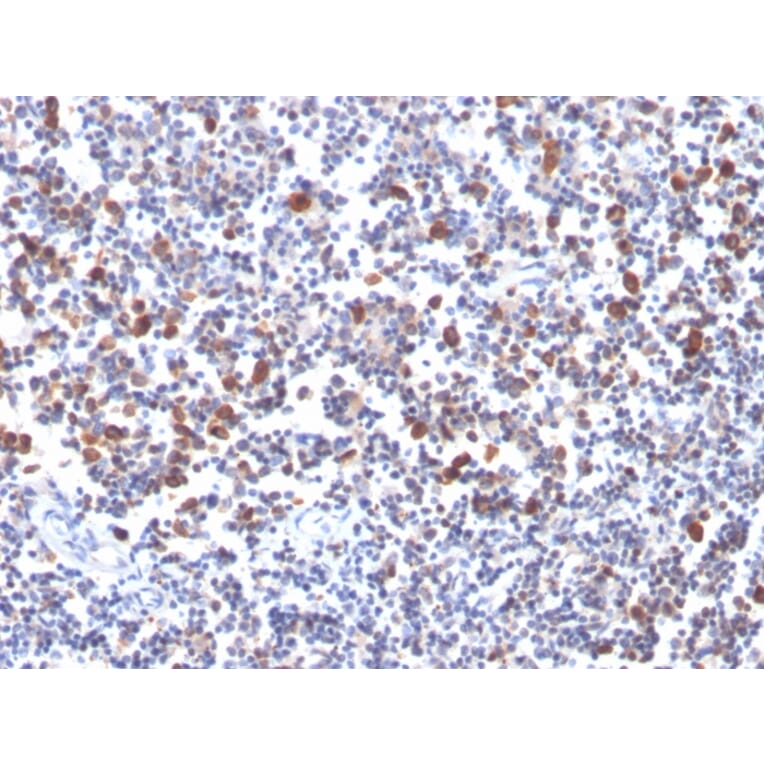
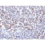
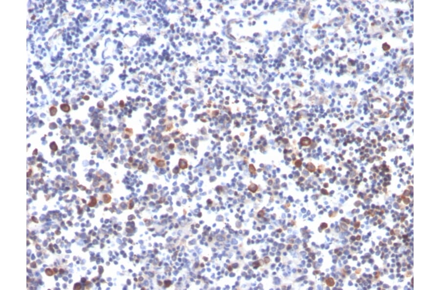
Anti-CD134 Antibody [OX40/3427] - BSA and Azide free (A253411)

Mouse monoclonal [OX40/3427] antibody to CD134 for ELISA and IHC-P.

Alternative Formats and ConjugatesAlternative Formats

Shipping Information

$40
Dispatched from St. Louis, MO.
Lead Time: 5-8 business days.
Name
Anti-CD134 Antibody [OX40/3427] - BSA and Azide free
Description
Mouse monoclonal [OX40/3427] antibody to CD134.
Specificity
This antibody recognizes a protein of 43kDa, identified as OX40, which is also known as CD134. OX40 is a type I integral membrane glycoprotein and member of the tumor necrosis factor/nerve growth factor receptor (TNFR/NGFR) family. It is expressed on activated T lymphocytes, hematopoietic precursor cells and fibroblasts. It functions as a T cell co-stimulatory receptor when bound by OX40 Ligand / TNFSF4 that is expressed by antigen presenting cells. OX40 thereby plays roles in T-cell activation as well as the regulation of differentiation, proliferation or apoptosis of normal and malignant lymphoid cells. OX40 is upregulated at the sites of inflammation, especially in case of multiple sclerosis and psoriatic lesions.
Applications
ELISA, IHC-P
Dilutions
IHC-P: 1-2 µg/ml
Reactivity
Human, Chimpanzee
Immunogen
Recombinant fragment. around amino acids 59-205, of human CD134 protein. The exact sequence is proprietary.
Host
Mouse
Clonality
Monoclonal
Clone ID
OX40/3427
Isotype
IgG2c
Light Chains
kappa
Conjugate

Unconjugated

Purification
Protein A/G chromatography.
Concentration
1 mg/ml
Molecular Weight
43 kDa
Product Form
Liquid
Formulation
Supplied in 10mM Phosphate Buffered Saline; without Sodium Azide and carrier free.
Storage
Shipped at 4°C. Upon delivery aliquot and store at -20°C. Avoid freeze / thaw cycles.
General Notes
This monoclonal antibody is also available in a different formulation with BSA and Sodium Azide - Anti-CD134 Antibody [OX40/3427] (A250231).
Synonyms
ACT35 antigen, OX40L receptor, TAX transcriptionally-activated glycoprotein 1 receptor, TNFRSF4, Tumor necrosis factor receptor superfamily member 4, TXGP1L
Disclaimer
This product is for research use only. It is not intended for diagnostic or therapeutic use.
Publishing research using Anti-CD134 Antibody [OX40/3427] - BSA and Azide free (A253411)? Please let us know so that we can list the citation on this page.

Alternative products to Anti-CD134 Antibody [OX40/3427] - BSA and Azide free (A253411)

Proteins predicted to interact with CD134

Predicted protein interactions based upon String database. Revelancy score correlates with probability of interaction.
99.9% Relevancy Score
99.7% Relevancy Score
99.4% Relevancy Score
99.4% Relevancy Score
99% Relevancy Score
98.6% Relevancy Score
95.9% Relevancy Score
94.2% Relevancy Score
94.1% Relevancy Score