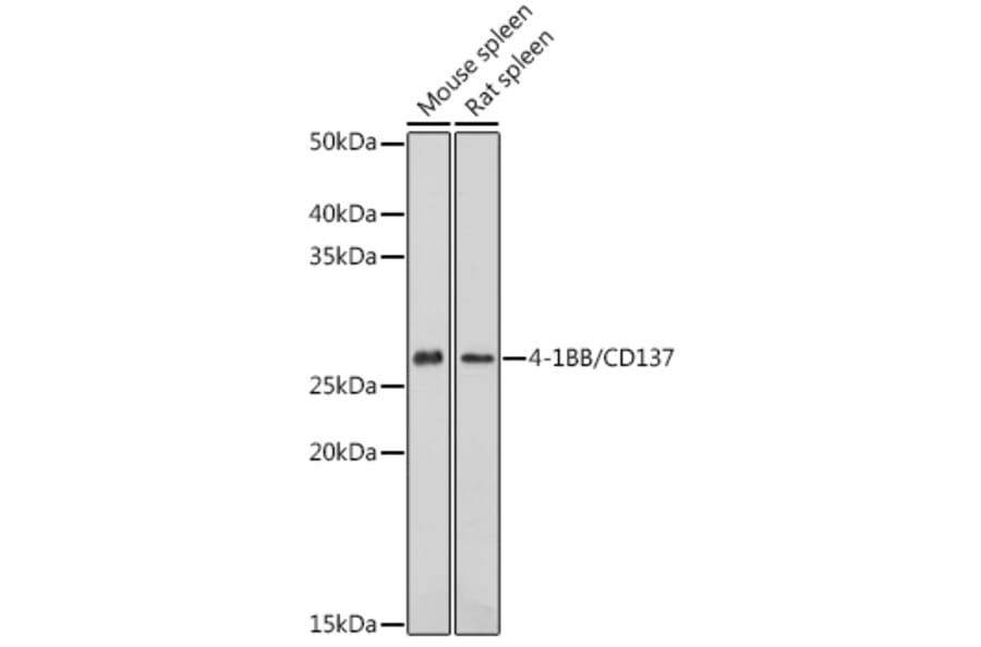
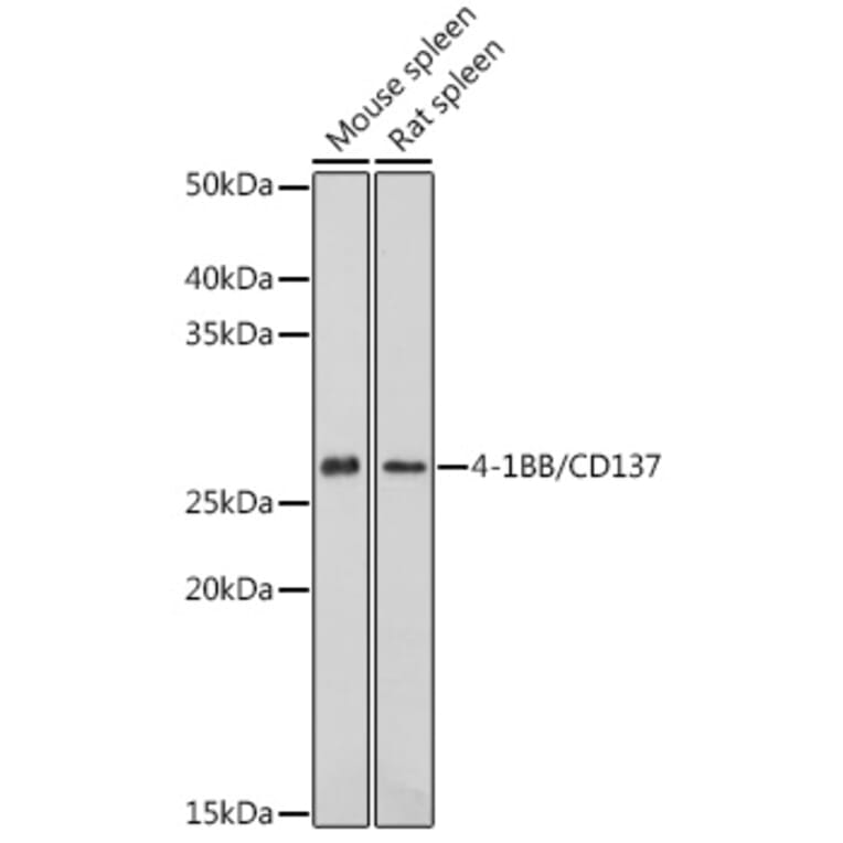
Western blot analysis of extracts of various cell lines, using Anti-CD137 Antibody (A91573) at 1:1,000 dilution. The secondary antibody was Goat Anti-Rabbit IgG H&L Antibody (HRP) at 1:10,000 dilution. Lysates/proteins were present at 25µg per lane. The blocking buffer used was 3% non-fat dry milk in TBST. Detection was with a ECL Basic Kit. Exposure time: 60s.
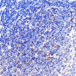
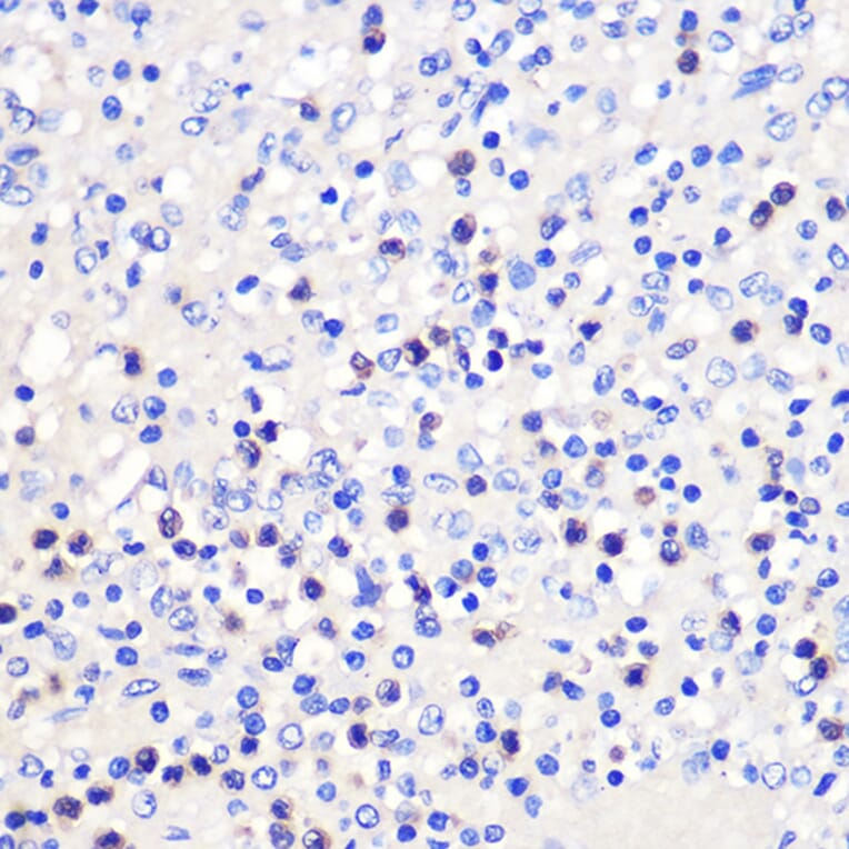
Immunohistochemistry analysis of paraffin-embedded mouse spleen using Anti-CD137 Antibody (A91573) at a dilution of 1:100 (40x lens). Perform microwave antigen retrieval with 10 mM PBS buffer pH 7.2 before commencing with IHC staining protocol.
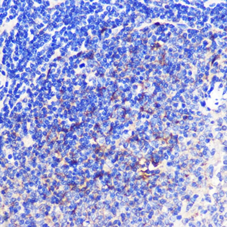
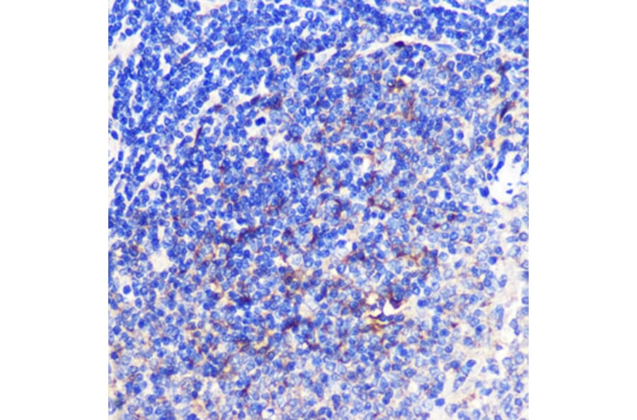
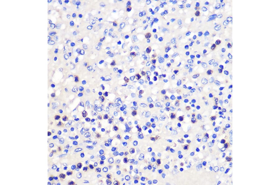
Immunohistochemistry analysis of paraffin-embedded rat spleen using Anti-CD137 Antibody (A91573) at a dilution of 1:100 (40x lens). Perform microwave antigen retrieval with 10 mM PBS buffer pH 7.2 before commencing with IHC staining protocol.
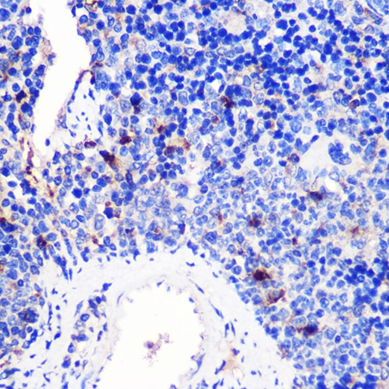
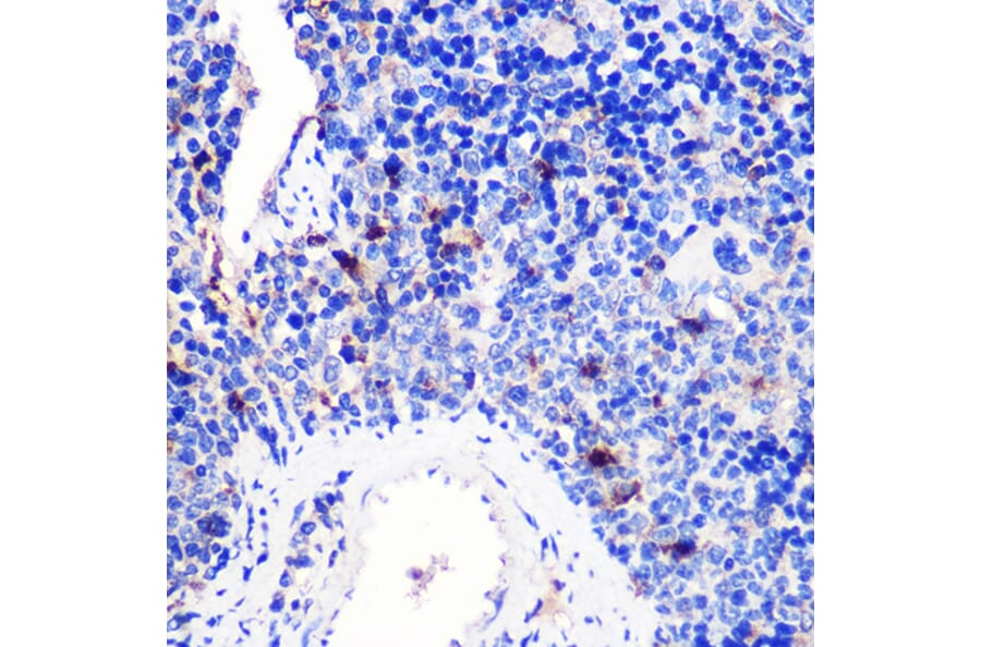
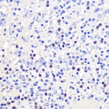
Immunohistochemistry analysis of paraffin-embedded human spleen using Anti-CD137 Antibody (A91573) at a dilution of 1:100 (40x lens). Perform microwave antigen retrieval with 10 mM PBS buffer pH 7.2 before commencing with IHC staining protocol.
Publishing research using Anti-CD137 Antibody (A91573)? Please let us know so that we can list the citation on this page.
Alternative products to Anti-CD137 Antibody (A91573)
Human monoclonal antibody to CD137 Research grade Anti-Human CD137 [AGEN 2373] biosimilar for ELISA, Flow Cytometry, Functional Studies and in vivo Research.
Human monoclonal antibody to CD137 Research grade Anti-Human CD137 [CTX-471] biosimilar for ELISA, Flow Cytometry, Functional Studies and in vivo Research.
Human monoclonal antibody to CD137 Research grade Anti-Human CD137 [YH-004] biosimilar for ELISA, Flow Cytometry, Functional Studies and in vivo Research.
Human monoclonal antibody to CD137 Research grade Anti-Human CD137 [HOT-1030] biosimilar for ELISA, Flow Cytometry, Functional Studies and in vivo Research.
Human monoclonal antibody to CD137 Research grade Anti-Human CD137 [EU101] biosimilar for ELISA, Flow Cytometry, Functional Studies and in vivo Research.
Human monoclonal antibody to CD137 Research grade Anti-Human CD137 [LVGN6051] biosimilar for ELISA, Flow Cytometry, Functional Studies and in vivo Research.
Human monoclonal antibody to CD137 Research grade Anti-Human CD137 [ADG106] biosimilar for ELISA, Flow Cytometry, Functional Studies and in vivo Research.
Human monoclonal antibody to CD137 Research grade Anti-Human CD137 [AGEN 2373] biosimilar for ELISA, Flow Cytometry, Functional Studies and in vivo Research.
Human monoclonal antibody to CD137 Research grade Anti-Human CD137 [CTX-471] biosimilar for ELISA, Flow Cytometry, Functional Studies and in vivo Research.
Human monoclonal antibody to CD137 Research grade Anti-Human CD137 [YH-004] biosimilar for ELISA, Flow Cytometry, Functional Studies and in vivo Research.
Human monoclonal antibody to CD137 Research grade Anti-Human CD137 [HOT-1030] biosimilar for ELISA, Flow Cytometry, Functional Studies and in vivo Research.
Human monoclonal antibody to CD137 Research grade Anti-Human CD137 [EU101] biosimilar for ELISA, Flow Cytometry, Functional Studies and in vivo Research.
Human monoclonal antibody to CD137 Research grade Anti-Human CD137 [LVGN6051] biosimilar for ELISA, Flow Cytometry, Functional Studies and in vivo Research.
Human monoclonal antibody to CD137 Research grade Anti-Human CD137 [ADG106] biosimilar for ELISA, Flow Cytometry, Functional Studies and in vivo Research.