ISO 9001:2015 Certified
Live Customer Support
4.5/5 on Trustpilot
100% Quality Guarantee

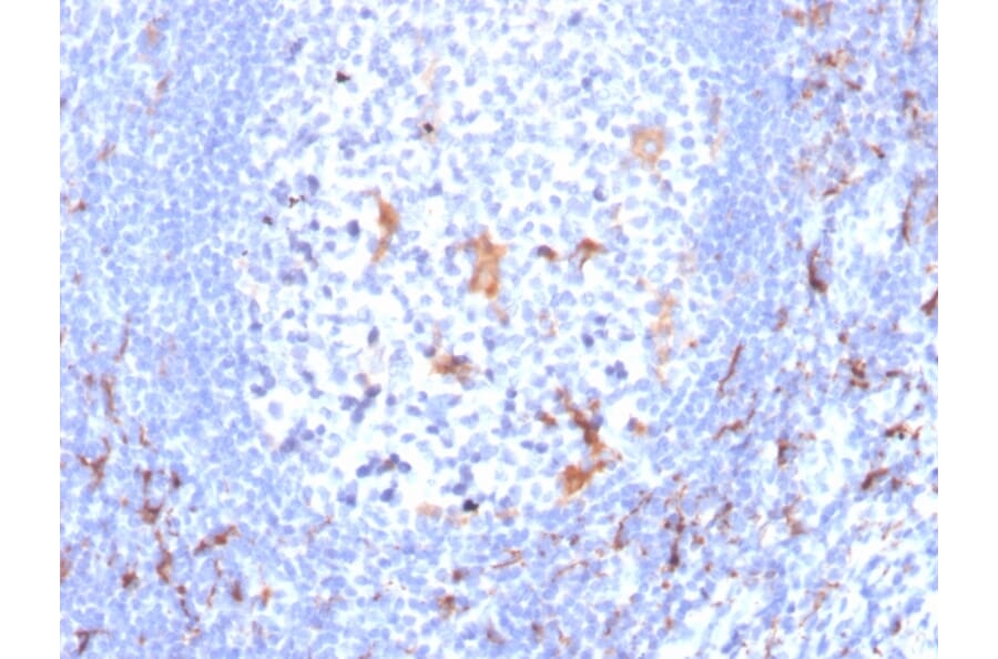
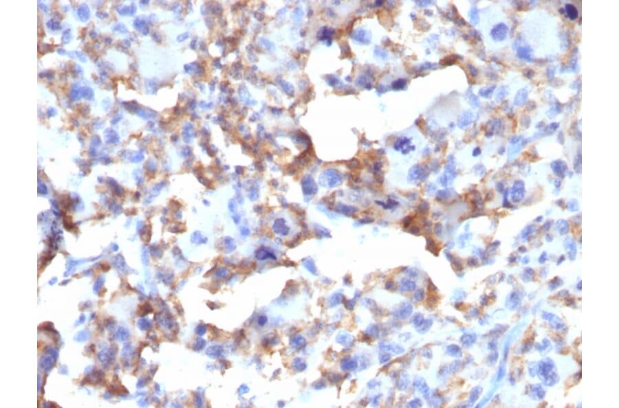
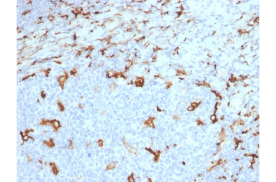
Anti-CD163 Antibody [M130/2163] - BSA and Azide free (A253785)

Mouse monoclonal [M130/2163] antibody to CD163 for IHC-P.

Alternative Formats and ConjugatesAlternative Formats

Shipping Information

$40
Dispatched from St. Louis, MO.
Lead Time: 5-8 business days.
Name
Anti-CD163 Antibody [M130/2163] - BSA and Azide free
Description
Mouse monoclonal [M130/2163] antibody to CD163.
Specificity
This antibody recognizes a protein of 140kDa, identified as CD163. It has been identified as an acute phase-regulated transmembrane protein whose function is to mediate the endocytosis of haptoglobin-hemoglobin complexes. This receptor is expressed on the surface of monocytes with low expression and on tissue macrophages, histiocytes with high expression. Staining with anti-CD163 has been helpful to distinguish synovial macrophages from synovial intimal fibroblasts in rheumatoid arthritis, where its specificity for macrophages was found to be superior to that of anti-CD68. Increased levels of CD163 were also detected in patients with microbial infections and myelomonocytic leukemias. Anti-CD163 is of considerable value for selective identification of monocytes and macrophages at a certain stage of differentiation and is suitable for diagnosing myelomonocytic or monocytic leukaemia and neoplasms of true histiocytic origin. CD163 is positive in skin (histiocytes), gut, Kupffer cells, a few alveolar macrophages, macrophages in the placenta, and in macrophages in inflamed tissues including tumor tissue.
Applications
IHC-P
Dilutions
IHC-P: 1-2 µg/ml
Reactivity
Human
Immunogen
Recombinant fragment, around amino acids 43-196, of human CD163 protein. The exact sequence is proprietary.
Host
Mouse
Clonality
Monoclonal
Clone ID
M130/2163
Isotype
IgG1
Light Chains
kappa
Conjugate

Unconjugated

Purification
Protein A/G chromatography.
Concentration
1 mg/ml
Molecular Weight
140 kDa
Product Form
Liquid
Formulation
Supplied in 10mM Phosphate Buffered Saline; without Sodium Azide and carrier free.
Storage
Shipped at 4°C. Upon delivery aliquot and store at -20°C. Avoid freeze / thaw cycles.
General Notes
This monoclonal antibody is also available in a different formulation with BSA and Sodium Azide - Anti-CD163 Antibody [M130/2163] (A250605).
Synonyms
Hemoglobin scavenger receptor, M130, Scavenger receptor cysteine-rich type 1 protein M130
Disclaimer
This product is for research use only. It is not intended for diagnostic or therapeutic use.
Publishing research using Anti-CD163 Antibody [M130/2163] - BSA and Azide free (A253785)? Please let us know so that we can list the citation on this page.

Alternative products to Anti-CD163 Antibody [M130/2163] - BSA and Azide free (A253785)

Proteins predicted to interact with CD163

Predicted protein interactions based upon String database. Revelancy score correlates with probability of interaction.
99.9% Relevancy Score
98.1% Relevancy Score
96.4% Relevancy Score
95.5% Relevancy Score
95.5% Relevancy Score
93.8% Relevancy Score
93.1% Relevancy Score
93% Relevancy Score
92.9% Relevancy Score