SDS-PAGE analysis of Anti-CD19 Antibody [CD19/3116] under non-reduced and reduced conditions; showing intact IgG and intact heavy and light chains, respectively. SDS-PAGE analysis confirms the integrity and purity of the antibody.
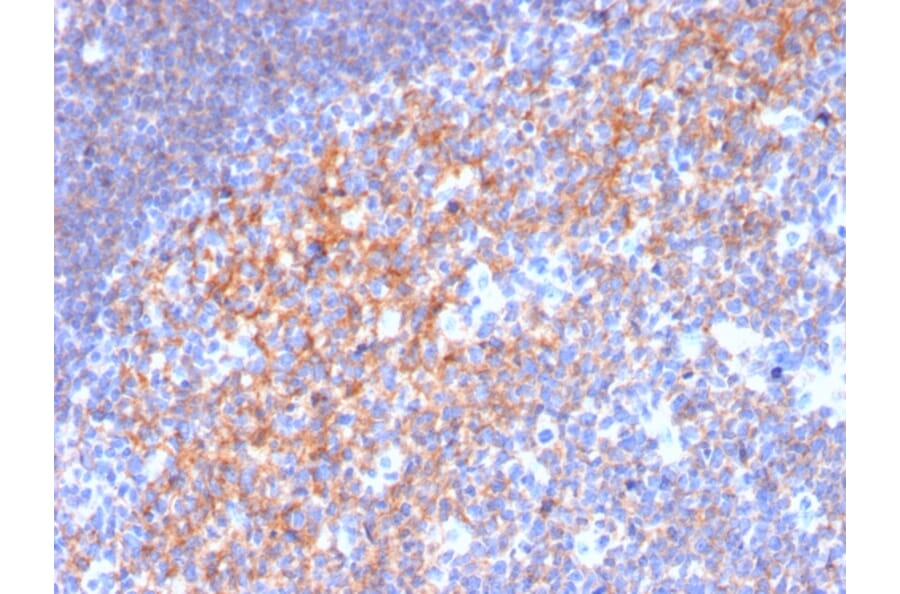
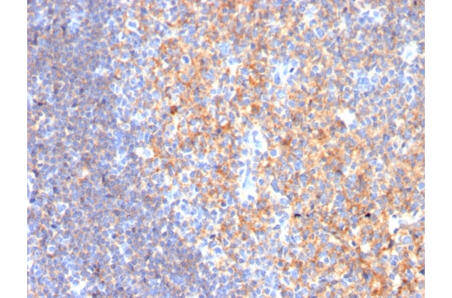
Anti-CD19 Antibody [CD19/3116] - BSA and Azide free (A253768)
Analysis of protein array containing more than 19,000 full-length human proteins using Anti-CD19 Antibody [CD19/3116]. Z-Score and S- Score: The Z-score represents the strength of a signal that a monoclonal antibody (MAb) (in combination with a fluorescently-tagged anti-IgG secondary antibody) produces when binding to a particular protein on the HuProtTM array. Z-scores are described in units of standard deviations (SD's) above the mean value of all signals generated on that array. If targets on HuProtTM are arranged in descending order of the Z-score, the S-score is the difference (also in units of SD's) between the Z-score. S-score therefore represents the relative target specificity of a MAb to its intended target; a MAb is considered to be specific to its intended target, if the MAb has an S-score of at least 2.5. For example, if a MAb binds to protein X with a Z-score of 43 and to protein Y with a Z-score of 14, then the S-score for the binding of that MAb to protein X is equal to 29.
Publishing research using Anti-CD19 Antibody [CD19/3116] - BSA and Azide free (A253768)? Please let us know so that we can list the citation on this page.
Alternative products to Anti-CD19 Antibody [CD19/3116] - BSA and Azide free (A253768)
Recombinant humanized monoclonal antibody to CD19 for use as a research grade Tafasitamab biosimilar for ELISA, Flow Cytometry, Functional Studies and in vivo Research.
Recombinant human monoclonal antibody to CD19 for use as a research grade MDX-1342 biosimilar for ELISA, Flow Cytometry, Functional Studies and in vivo Research.
Recombinant humanized monoclonal antibody to CD19 for use as a research grade Inebilizumab biosimila for ELISA, Flow Cytometry, Functional Studies and in vivo Research.
Recombinant humanized monoclonal antibody to CD19 for use as a research grade Tafasitamab biosimilar for ELISA, Flow Cytometry, Functional Studies and in vivo Research.
Recombinant human monoclonal antibody to CD19 for use as a research grade MDX-1342 biosimilar for ELISA, Flow Cytometry, Functional Studies and in vivo Research.
Recombinant humanized monoclonal antibody to CD19 for use as a research grade Inebilizumab biosimila for ELISA, Flow Cytometry, Functional Studies and in vivo Research.