ISO 9001:2015 Certified
Live Customer Support
4.5/5 on Trustpilot
100% Quality Guarantee

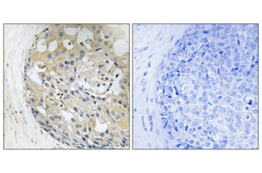
Anti-CD2 Tail-binding Antibody (A97795)

Rabbit polyclonal antibody to CD2 Tail-binding for WB, IHC, IF and ELISA.

Shipping Information

$40
Dispatched from St. Louis, MO.
Lead Time: 6-8 business days.
Name
Anti-CD2 Tail-binding Antibody
Description
Rabbit polyclonal antibody to CD2 Tail-binding.
Applications
WB, IHC, IF, ELISA
Dilutions
WB: 1:500~1:1000, ELISA: 1:40000
Reactivity
Human, Monkey
Cross Reactivity
No reported cross-reactivity.
Immunogen
Synthetic peptide derived from human CD2 Tail-binding (amino acids 101-150).
Host
Rabbit
Clonality
Polyclonal
Isotype
IgG
Conjugate

Unconjugated

Purification
Purified from rabbit serum by antigen affinity chromatography using the immunizing peptide.
Molecular Weight
37kDa
Product Form
Liquid
Formulation
Supplied in Phosphate Buffered Saline (without Mg2+ and Ca2+), pH 7.4, with 150mM NaCl, 0.02% Sodium Azide, and 50% Glycerol.
Storage
Shipped at 4°C. Upon delivery aliquot and store at -20°C. Avoid freeze / thaw cycles.
Synonyms
CD2 antigen cytoplasmic tail-binding protein 2, CD2 cytoplasmic domain-binding protein 2, CD2 tail-binding protein 2, KIAA1178, U5 snRNP 52K protein, U5-52K
Disclaimer
This product is for research use only. It is not intended for diagnostic or therapeutic use.
Publishing research using Anti-CD2 Tail-binding Antibody (A97795)? Please let us know so that we can list the citation on this page.

Alternative products to Anti-CD2 Tail-binding Antibody (A97795)

Proteins predicted to interact with CD2BP2

Predicted protein interactions based upon String database. Revelancy score correlates with probability of interaction.
99.8% Relevancy Score
99.7% Relevancy Score
99.4% Relevancy Score
99.2% Relevancy Score
98.2% Relevancy Score
98.2% Relevancy Score
96.7% Relevancy Score
95.9% Relevancy Score
94.1% Relevancy Score