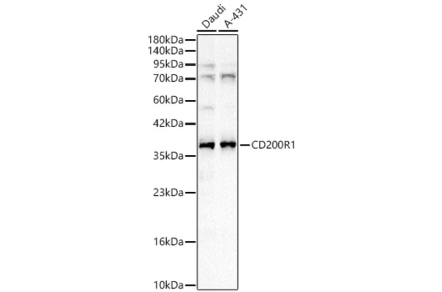
CD200R expression in various lysates analyzed by western blot. Primary antibody incubation was performed for 1 hour on 25ug protein per lane with Anti-CD200R Antibody (A329205) at a dilution of 1:1000 and detected with chemiluminescence.
Publishing research using Anti-CD200R Antibody (A329205)? Please let us know so that we can list the citation on this page.
Alternative products to Anti-CD200R Antibody (A329205)
Recombinant human monoclonal antibody to CD200R for use as a research grade Anti-Human CD200R1 Antib for ELISA, Flow Cytometry, Functional Studies and in vivo Research.
Recombinant humanized monoclonal antibody to CD200R for use as a research grade Ucenprubart biosimil for ELISA, Flow Cytometry, Functional Studies and in vivo Research.
Recombinant human monoclonal antibody to CD200R for use as a research grade I-4P biosimilar for ELISA, Flow Cytometry, Functional Studies and in vivo Research.
Recombinant human monoclonal antibody to CD200R for use as a research grade huDX182 biosimilar for ELISA, Flow Cytometry, Functional Studies and in vivo Research.
Recombinant human monoclonal antibody to CD200R for use as a research grade Anti-Human CD200R1 Antib for ELISA, Flow Cytometry, Functional Studies and in vivo Research.
Recombinant humanized monoclonal antibody to CD200R for use as a research grade Ucenprubart biosimil for ELISA, Flow Cytometry, Functional Studies and in vivo Research.
Recombinant human monoclonal antibody to CD200R for use as a research grade I-4P biosimilar for ELISA, Flow Cytometry, Functional Studies and in vivo Research.
Recombinant human monoclonal antibody to CD200R for use as a research grade huDX182 biosimilar for ELISA, Flow Cytometry, Functional Studies and in vivo Research.