Western blot analysis of extracts of Raji cells, using Anti-CD22 Antibody (A11877) at 1:1,000 dilution. The secondary antibody was Goat Anti-Rabbit IgG H&L Antibody (HRP) at 1:10,000 dilution. Lysates/proteins were present at 25µg per lane. The blocking buffer used was 3% non-fat dry milk in TBST. Detection was with a ECL Basic Kit. Exposure time: 30s.
Western blot analysis of extracts of various cell lines, using Anti-CD22 Antibody (A11877) at 1:1,000 dilution. The secondary antibody was Goat Anti-Rabbit IgG H&L Antibody (HRP) at 1:10,000 dilution. Lysates/proteins were present at 25µg per lane. The blocking buffer used was 3% non-fat dry milk in TBST. Detection was with a ECL Basic Kit. Exposure time: 90s.
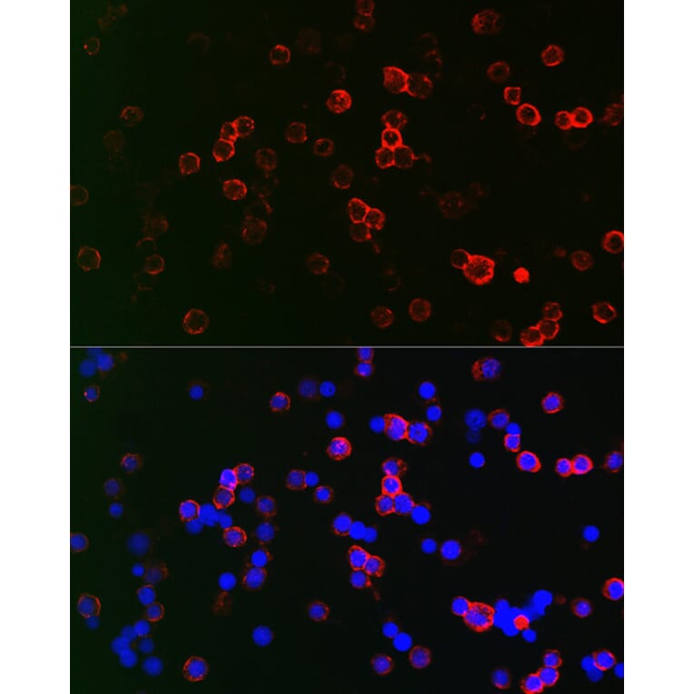
Immunofluorescence analysis of Raji cells using Anti-CD22 Antibody (A11877) at a dilution of 1:100 (40x lens). DAPI was used to stain the cell nuclei (blue).
Publishing research using Anti-CD22 Antibody (A11877)? Please let us know so that we can list the citation on this page.
Alternative products to Anti-CD22 Antibody (A11877)
Human monoclonal antibody to CD22 Research grade Anti-Human CD22 [hRFB4] biosimilar for ELISA, Flow Cytometry, Functional Studies and in vivo Research.
Human monoclonal antibody to CD22 Research grade Anti-Human CD22 [ADCT-602] biosimilar for ELISA, Flow Cytometry, Functional Studies and in vivo Research.
Human monoclonal antibody to CD22 Research grade Anti-Human CD22 [CAT-02-106] biosimilar for ELISA, Flow Cytometry, Functional Studies and in vivo Research.
Human monoclonal antibody to CD22 Research grade Anti-Human CD22 [JCAR018] biosimilar for ELISA, Flow Cytometry, Functional Studies and in vivo Research.
Human monoclonal antibody to CD22 Research grade Anti-Human CD22 [hRFB4] biosimilar for ELISA, Flow Cytometry, Functional Studies and in vivo Research.
Human monoclonal antibody to CD22 Research grade Anti-Human CD22 [ADCT-602] biosimilar for ELISA, Flow Cytometry, Functional Studies and in vivo Research.
Human monoclonal antibody to CD22 Research grade Anti-Human CD22 [CAT-02-106] biosimilar for ELISA, Flow Cytometry, Functional Studies and in vivo Research.
Human monoclonal antibody to CD22 Research grade Anti-Human CD22 [JCAR018] biosimilar for ELISA, Flow Cytometry, Functional Studies and in vivo Research.